Effect of inulin from dahlia tubers (Dahlia variabilis) extract on insulitis severity and insulin expression in diabetic rats.

IF 2.5 Q2 MEDICINE, GENERAL & INTERNAL
BioMedicine-Taiwan Pub Date : 2024-09-01 eCollection Date: 2024-01-01 DOI:10.37796/2211-8039.1460
Ismawati, Saryono, Mukhyarjon, Ilhami Romus, Veni D Putri, Sri Yanti, Fitri Dyna, Nada I Adesti
{"title":"Effect of inulin from dahlia tubers (<i>Dahlia variabilis</i>) extract on insulitis severity and insulin expression in diabetic rats.","authors":"Ismawati, Saryono, Mukhyarjon, Ilhami Romus, Veni D Putri, Sri Yanti, Fitri Dyna, Nada I Adesti","doi":"10.37796/2211-8039.1460","DOIUrl":null,"url":null,"abstract":"<p><strong>Background: </strong>Dahlia (<i>Dahlia variabilis</i>), a widely cultivated ornamental plant in Indonesia, is known to contain 84.08% inulin in its tubers. Numerous studies have demonstrated the antidiabetic potential of inulin from various plant sources. However, most of the research is in the form of a mixture of inulin with other active substances, and no one has analyzed the effects of inulin derived from dahlia tubers. This study examines the effect of inulin from dahlia tuber extract on blood glucose levels, serum insulin expression, pancreatic tissue insulin expression, homeostatic model assessment of insulin resistance (HOMA-IR), and the extent of insulitis in diabetic rats.</p><p><strong>Methods: </strong>In this experimental study, 20 male Wistar rats were randomly allocated to five groups. Group I served as the control, Group II as the STZ-induced diabetic group, Group III as the STZ-induced diabetic group treated with inulin (0.5 g/kgBW), Group IV as the STZ induced diabetic group treated with inulin (1.0 g/kgBW), and Group V as the STZ-induced diabetic group treated with inulin (1.5 g/kgBW). The inulin was administered for 21 days. The degree of insulitis was evaluated using a scoring system, serum insulin concentration via ELISA, and insulin expression in the pancreas through immunohistochemistry.</p><p><strong>Results: </strong>Administration of inulin from dahlia tubers significantly reduced serum glucose concentrations in diabetic rats. Notably, only inulin extracts at doses of 1 g/kgBW and 1.5 g/kgBW showed a significant reduction in insulitis and HOMA-IR index in diabetic rats, while the 0.5 g/kgBW inulin extract reduced insulitis without affecting HOMA-IR. Inulin extract administration did not affect insulin expression in serum or pancreatic tissue.</p><p><strong>Conclusions: </strong>Inulin from dahlia tuber can exert antidiabetic properties by improving insulin resistance and insulitis. These studies suggest the great potential of dahlia tubers as the source of inulin for prebiotic functional foods.</p>","PeriodicalId":51650,"journal":{"name":"BioMedicine-Taiwan","volume":"14 3","pages":"31-39"},"PeriodicalIF":2.5000,"publicationDate":"2024-09-01","publicationTypes":"Journal Article","fieldsOfStudy":null,"isOpenAccess":false,"openAccessPdf":"https://www.ncbi.nlm.nih.gov/pmc/articles/PMC11460570/pdf/","citationCount":"0","resultStr":null,"platform":"Semanticscholar","paperid":null,"PeriodicalName":"BioMedicine-Taiwan","FirstCategoryId":"1085","ListUrlMain":"https://doi.org/10.37796/2211-8039.1460","RegionNum":0,"RegionCategory":null,"ArticlePicture":[],"TitleCN":null,"AbstractTextCN":null,"PMCID":null,"EPubDate":"2024/1/1 0:00:00","PubModel":"eCollection","JCR":"Q2","JCRName":"MEDICINE, GENERAL & INTERNAL","Score":null,"Total":0}
引用次数: 0

Abstract

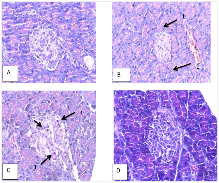
Background: Dahlia (Dahlia variabilis), a widely cultivated ornamental plant in Indonesia, is known to contain 84.08% inulin in its tubers. Numerous studies have demonstrated the antidiabetic potential of inulin from various plant sources. However, most of the research is in the form of a mixture of inulin with other active substances, and no one has analyzed the effects of inulin derived from dahlia tubers. This study examines the effect of inulin from dahlia tuber extract on blood glucose levels, serum insulin expression, pancreatic tissue insulin expression, homeostatic model assessment of insulin resistance (HOMA-IR), and the extent of insulitis in diabetic rats.

Methods: In this experimental study, 20 male Wistar rats were randomly allocated to five groups. Group I served as the control, Group II as the STZ-induced diabetic group, Group III as the STZ-induced diabetic group treated with inulin (0.5 g/kgBW), Group IV as the STZ induced diabetic group treated with inulin (1.0 g/kgBW), and Group V as the STZ-induced diabetic group treated with inulin (1.5 g/kgBW). The inulin was administered for 21 days. The degree of insulitis was evaluated using a scoring system, serum insulin concentration via ELISA, and insulin expression in the pancreas through immunohistochemistry.

Results: Administration of inulin from dahlia tubers significantly reduced serum glucose concentrations in diabetic rats. Notably, only inulin extracts at doses of 1 g/kgBW and 1.5 g/kgBW showed a significant reduction in insulitis and HOMA-IR index in diabetic rats, while the 0.5 g/kgBW inulin extract reduced insulitis without affecting HOMA-IR. Inulin extract administration did not affect insulin expression in serum or pancreatic tissue.

Conclusions: Inulin from dahlia tuber can exert antidiabetic properties by improving insulin resistance and insulitis. These studies suggest the great potential of dahlia tubers as the source of inulin for prebiotic functional foods.

Abstract Image

Abstract Image

Abstract Image

大丽花块茎(Dahlia variabilis)提取物中的菊粉对糖尿病大鼠胰岛炎严重程度和胰岛素表达的影响
背景:大丽花(Dahlia variabilis)是印度尼西亚广泛种植的一种观赏植物,其块茎中含有 84.08% 的菊粉。大量研究表明,各种植物来源的菊粉具有抗糖尿病的潜力。然而,大多数研究都是以菊粉与其他活性物质混合的形式进行的,还没有人分析过从大丽花块茎中提取的菊粉的作用。本研究探讨了大丽花块茎提取物中的菊粉对糖尿病大鼠血糖水平、血清胰岛素表达、胰腺组织胰岛素表达、胰岛素抵抗的稳态模型评估(HOMA-IR)以及胰岛炎程度的影响:在这项实验研究中,20 只雄性 Wistar 大鼠被随机分为五组。第一组为对照组,第二组为 STZ 诱导的糖尿病组,第三组为菊粉(0.5 克/千克体重)诱导的 STZ 诱导的糖尿病组,第四组为菊粉(1.0 克/千克体重)诱导的 STZ 诱导的糖尿病组,第五组为菊粉(1.5 克/千克体重)诱导的 STZ 诱导的糖尿病组。胰岛素用药 21 天。通过评分系统评估胰岛炎的程度,通过酶联免疫吸附试验评估血清胰岛素浓度,通过免疫组化技术评估胰岛素在胰腺中的表达:结果:从大丽花块茎中提取的菊粉能显著降低糖尿病大鼠的血清葡萄糖浓度。值得注意的是,只有剂量为 1 克/千克体重和 1.5 克/千克体重的菊粉提取物能明显减轻糖尿病大鼠的胰岛炎和 HOMA-IR 指数,而 0.5 克/千克体重的菊粉提取物能减轻胰岛炎,但不影响 HOMA-IR。服用菊粉提取物不会影响血清或胰腺组织中的胰岛素表达:结论:从大丽花块茎中提取的菊粉可通过改善胰岛素抵抗和胰岛炎发挥抗糖尿病作用。这些研究表明,大丽花块茎作为益生元功能食品的菊粉来源具有巨大潜力。
本文章由计算机程序翻译,如有差异,请以英文原文为准。
求助全文
约1分钟内获得全文 求助全文
来源期刊
BioMedicine-Taiwan
BioMedicine-Taiwan MEDICINE, GENERAL & INTERNAL-
CiteScore
2.80
自引率
5.90%
发文量
21
审稿时长
24 weeks
×
引用
GB/T 7714-2015
复制
MLA
复制
APA
复制
导出至
BibTeX EndNote RefMan NoteFirst NoteExpress
×
提示
您的信息不完整,为了账户安全,请先补充。
现在去补充
×
提示
您因"违规操作"
具体请查看互助需知
我知道了
×
提示
确定
请完成安全验证×
copy
已复制链接
快去分享给好友吧!
我知道了
右上角分享
点击右上角分享
0
联系我们:info@booksci.cn Book学术提供免费学术资源搜索服务,方便国内外学者检索中英文文献。致力于提供最便捷和优质的服务体验。 Copyright © 2023 布克学术 All rights reserved.
京ICP备2023020795号-1
ghs 京公网安备 11010802042870号
Book学术文献互助
Book学术文献互助群
群 号:604180095
Book学术官方微信