Controversies in the clinical management of chronic pulmonary aspergillosis.

IF 3.4 Q2 RESPIRATORY SYSTEM
Breathe Pub Date : 2024-10-01 DOI:10.1183/20734735.0234-2023
Xinxin Hu, Kathryn Hulme, Liana Brien, Sonya Natasha Hutabarat, Zinta Harrington
{"title":"Controversies in the clinical management of chronic pulmonary aspergillosis.","authors":"Xinxin Hu, Kathryn Hulme, Liana Brien, Sonya Natasha Hutabarat, Zinta Harrington","doi":"10.1183/20734735.0234-2023","DOIUrl":null,"url":null,"abstract":"<p><p>Chronic pulmonary aspergillosis has a range of manifestations from indolent nodules to semi-invasive infection. Patients may be asymptomatic or have chronic symptoms such as cough and weight loss or present with life-threatening haemoptysis. The physician can choose from a range of available therapies including medical therapy with antifungals, minimally invasive therapy with intracavitary antifungal therapy and surgery involving open thoracotomy or video-assisted thoracoscopic surgery. The patients with the most severe forms of pulmonary infection may not be surgical candidates due to their underlying pulmonary condition. The management of haemoptysis can include tranexamic acid, bronchial artery embolisation, antifungals or surgery. There are few controlled studies to inform clinicians managing complex cases, so a multidisciplinary approach may be helpful.</p>","PeriodicalId":9292,"journal":{"name":"Breathe","volume":"20 3","pages":"230234"},"PeriodicalIF":3.4000,"publicationDate":"2024-10-01","publicationTypes":"Journal Article","fieldsOfStudy":null,"isOpenAccess":false,"openAccessPdf":"https://www.ncbi.nlm.nih.gov/pmc/articles/PMC11444495/pdf/","citationCount":"0","resultStr":null,"platform":"Semanticscholar","paperid":null,"PeriodicalName":"Breathe","FirstCategoryId":"1085","ListUrlMain":"https://doi.org/10.1183/20734735.0234-2023","RegionNum":0,"RegionCategory":null,"ArticlePicture":[],"TitleCN":null,"AbstractTextCN":null,"PMCID":null,"EPubDate":"","PubModel":"","JCR":"Q2","JCRName":"RESPIRATORY SYSTEM","Score":null,"Total":0}
引用次数: 0

Abstract

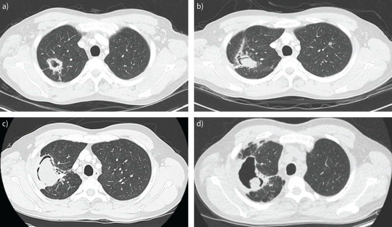
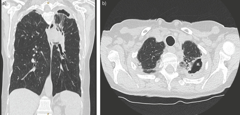
Chronic pulmonary aspergillosis has a range of manifestations from indolent nodules to semi-invasive infection. Patients may be asymptomatic or have chronic symptoms such as cough and weight loss or present with life-threatening haemoptysis. The physician can choose from a range of available therapies including medical therapy with antifungals, minimally invasive therapy with intracavitary antifungal therapy and surgery involving open thoracotomy or video-assisted thoracoscopic surgery. The patients with the most severe forms of pulmonary infection may not be surgical candidates due to their underlying pulmonary condition. The management of haemoptysis can include tranexamic acid, bronchial artery embolisation, antifungals or surgery. There are few controlled studies to inform clinicians managing complex cases, so a multidisciplinary approach may be helpful.

Abstract Image

Abstract Image

Abstract Image

慢性肺曲霉菌病临床治疗中的争议。
慢性肺曲霉菌病有一系列表现,从无症状结节到半浸润性感染。患者可能没有症状,或有咳嗽、体重减轻等慢性症状,或出现危及生命的咯血。医生可以选择一系列可用的疗法,包括使用抗真菌药物的内科疗法、使用腔内抗真菌疗法的微创疗法以及涉及开胸手术或视频辅助胸腔镜手术的外科疗法。肺部感染最严重的患者可能因其潜在的肺部疾病而不适合手术治疗。治疗咯血的方法包括氨甲环酸、支气管动脉栓塞、抗真菌药物或手术。很少有对照研究可为临床医生处理复杂病例提供参考,因此采用多学科方法可能会有所帮助。
本文章由计算机程序翻译,如有差异,请以英文原文为准。
求助全文
约1分钟内获得全文 求助全文
来源期刊
Breathe
Breathe RESPIRATORY SYSTEM-
CiteScore
2.90
自引率
5.00%
发文量
51
审稿时长
12 weeks
×
引用
GB/T 7714-2015
复制
MLA
复制
APA
复制
导出至
BibTeX EndNote RefMan NoteFirst NoteExpress
×
提示
您的信息不完整,为了账户安全,请先补充。
现在去补充
×
提示
您因"违规操作"
具体请查看互助需知
我知道了
×
提示
确定
请完成安全验证×
copy
已复制链接
快去分享给好友吧!
我知道了
右上角分享
点击右上角分享
0
联系我们:info@booksci.cn Book学术提供免费学术资源搜索服务,方便国内外学者检索中英文文献。致力于提供最便捷和优质的服务体验。 Copyright © 2023 布克学术 All rights reserved.
京ICP备2023020795号-1
ghs 京公网安备 11010802042870号
Book学术文献互助
Book学术文献互助群
群 号:604180095
Book学术官方微信