Collapse and Occlusion of Balloon-Expandable Covered Stent in the Right Common Iliac Arteries Due to External Stress.

IF 0.6 Q4 PERIPHERAL VASCULAR DISEASE
Annals of vascular diseases Pub Date : 2024-09-25 Epub Date: 2024-07-06 DOI:10.3400/avd.cr.24-00038
Seimei Go, Taira Kobayashi, Taiichi Takasaki, Shinya Takahashi
{"title":"Collapse and Occlusion of Balloon-Expandable Covered Stent in the Right Common Iliac Arteries Due to External Stress.","authors":"Seimei Go, Taira Kobayashi, Taiichi Takasaki, Shinya Takahashi","doi":"10.3400/avd.cr.24-00038","DOIUrl":null,"url":null,"abstract":"<p><p>The patient previously underwent surgery for cervical cancer. She reported intermittent claudication, and computed tomography (CT) revealed total occlusion of the left iliac artery. We conducted endovascular treatment (EVT) using balloon-expandable covered stents (BECS). The patient underwent colostomy closure after EVT. The patient reported intermittent claudication beginning the day after the procedure. The CT showed a collapse of the distal side of the stent implanted in the right common iliac artery, accompanied by localized thrombo-occlusion. During open surgery, metal hooks typically affect the iliac artery; force transmission through the tissue may indirectly compress the iliac artery, leading to BECS failure.</p>","PeriodicalId":7995,"journal":{"name":"Annals of vascular diseases","volume":"17 3","pages":"313-316"},"PeriodicalIF":0.6000,"publicationDate":"2024-09-25","publicationTypes":"Journal Article","fieldsOfStudy":null,"isOpenAccess":false,"openAccessPdf":"https://www.ncbi.nlm.nih.gov/pmc/articles/PMC11444825/pdf/","citationCount":"0","resultStr":null,"platform":"Semanticscholar","paperid":null,"PeriodicalName":"Annals of vascular diseases","FirstCategoryId":"1085","ListUrlMain":"https://doi.org/10.3400/avd.cr.24-00038","RegionNum":0,"RegionCategory":null,"ArticlePicture":[],"TitleCN":null,"AbstractTextCN":null,"PMCID":null,"EPubDate":"2024/7/6 0:00:00","PubModel":"Epub","JCR":"Q4","JCRName":"PERIPHERAL VASCULAR DISEASE","Score":null,"Total":0}
引用次数: 0

Abstract

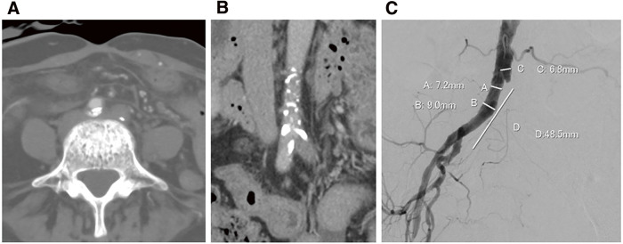
The patient previously underwent surgery for cervical cancer. She reported intermittent claudication, and computed tomography (CT) revealed total occlusion of the left iliac artery. We conducted endovascular treatment (EVT) using balloon-expandable covered stents (BECS). The patient underwent colostomy closure after EVT. The patient reported intermittent claudication beginning the day after the procedure. The CT showed a collapse of the distal side of the stent implanted in the right common iliac artery, accompanied by localized thrombo-occlusion. During open surgery, metal hooks typically affect the iliac artery; force transmission through the tissue may indirectly compress the iliac artery, leading to BECS failure.

Abstract Image

Abstract Image

Abstract Image

外部压力导致右髂总动脉球囊扩张型带盖支架塌陷和闭塞。
患者曾接受过宫颈癌手术。她报告出现间歇性跛行,计算机断层扫描(CT)显示左侧髂动脉完全闭塞。我们使用球囊扩张覆盖支架(BECS)进行了血管内治疗(EVT)。EVT 后,患者接受了结肠造口术。术后第二天,患者出现间歇性跛行。CT 显示,植入右侧髂总动脉的支架远端塌陷,并伴有局部血栓闭塞。在开放手术中,金属钩通常会影响髂动脉;通过组织传递的力可能会间接压迫髂动脉,导致 BECS 失灵。
本文章由计算机程序翻译,如有差异,请以英文原文为准。
求助全文
约1分钟内获得全文 求助全文
来源期刊
Annals of vascular diseases
Annals of vascular diseases PERIPHERAL VASCULAR DISEASE-
自引率
0.00%
发文量
41
×
引用
GB/T 7714-2015
复制
MLA
复制
APA
复制
导出至
BibTeX EndNote RefMan NoteFirst NoteExpress
×
提示
您的信息不完整,为了账户安全,请先补充。
现在去补充
×
提示
您因"违规操作"
具体请查看互助需知
我知道了
×
提示
确定
请完成安全验证×
copy
已复制链接
快去分享给好友吧!
我知道了
右上角分享
点击右上角分享
0
联系我们:info@booksci.cn Book学术提供免费学术资源搜索服务,方便国内外学者检索中英文文献。致力于提供最便捷和优质的服务体验。 Copyright © 2023 布克学术 All rights reserved.
京ICP备2023020795号-1
ghs 京公网安备 11010802042870号
Book学术文献互助
Book学术文献互助群
群 号:604180095
Book学术官方微信