Successful delivery in the setting of SDHB metastatic paraganglioma.

IF 0.7 Q4 ENDOCRINOLOGY & METABOLISM
M Majumder, M L Gild, B G Robinson
{"title":"Successful delivery in the setting of SDHB metastatic paraganglioma.","authors":"M Majumder, M L Gild, B G Robinson","doi":"10.1530/EDM-24-0016","DOIUrl":null,"url":null,"abstract":"<p><strong>Summary: </strong>Pregnancy in the setting of metastatic paraganglioma is challenging, particularly in the context of tyrosine kinase use. We describe a 26-year-old female with a background of metastatic paraganglioma harboring a pathogenic SDHB variant, requiring sunitinib, which was withheld to facilitate the safe conception and delivery of a healthy baby. She required no alpha- or beta-blockade during her pregnancy and exhibited no signs of tumor progression or symptoms throughout this period. Historically, higher rates of fetal and maternal morbidity and mortality have been experienced in the setting of pregnancy. Although limited data exist on the management of metastatic paraganglioma in pregnant patients, this case suggests that careful treatment modifications, such as temporary tyrosine kinase therapy cessation and vigilant monitoring, can result in successful pregnancies without compromising maternal or fetal well-being.</p><p><strong>Learning points: </strong>Paraganglioma in pregnancy has been associated with poor fetal and maternal morbidity and mortality. Many of the treatment modalities for metastatic paraganglioma, including tyrosine kinase inhibitors, can affect fertility or cannot be utilized in pregnancy, necessitating the temporary suspension of these treatments. This case exemplifies that careful clinical and biochemical monitoring during pregnancy is required to avoid maternal and fetal harm while balancing the risk of disease progression off treatment.</p>","PeriodicalId":37467,"journal":{"name":"Endocrinology, Diabetes and Metabolism Case Reports","volume":"2024 3","pages":""},"PeriodicalIF":0.7000,"publicationDate":"2024-09-27","publicationTypes":"Journal Article","fieldsOfStudy":null,"isOpenAccess":false,"openAccessPdf":"https://www.ncbi.nlm.nih.gov/pmc/articles/PMC11466273/pdf/","citationCount":"0","resultStr":null,"platform":"Semanticscholar","paperid":null,"PeriodicalName":"Endocrinology, Diabetes and Metabolism Case Reports","FirstCategoryId":"1085","ListUrlMain":"https://doi.org/10.1530/EDM-24-0016","RegionNum":0,"RegionCategory":null,"ArticlePicture":[],"TitleCN":null,"AbstractTextCN":null,"PMCID":null,"EPubDate":"2024/7/1 0:00:00","PubModel":"Print","JCR":"Q4","JCRName":"ENDOCRINOLOGY & METABOLISM","Score":null,"Total":0}
引用次数: 0

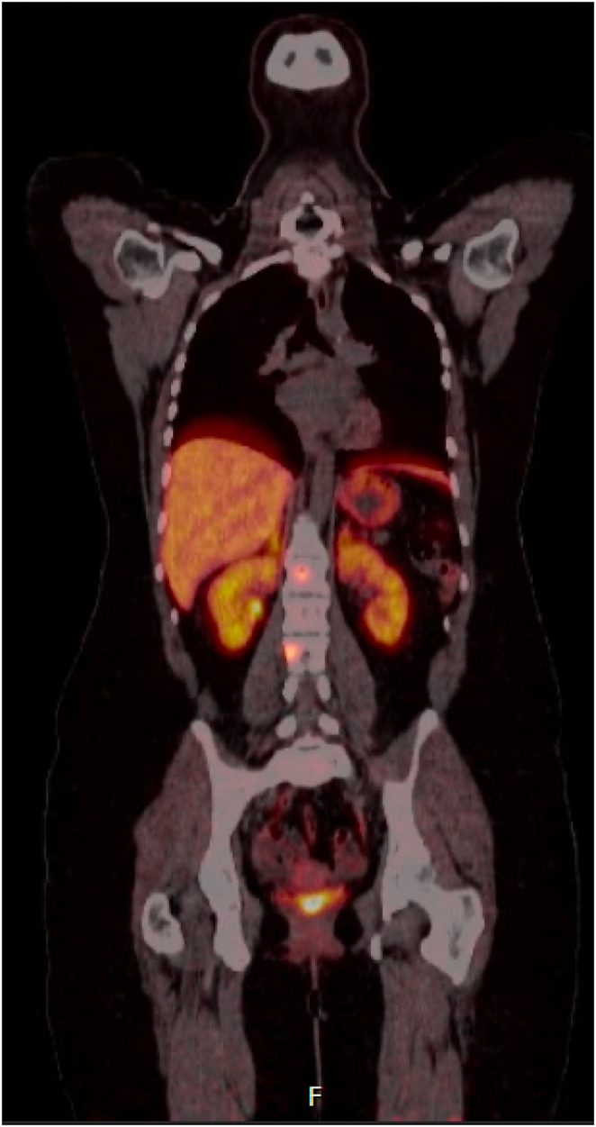
Abstract

Summary: Pregnancy in the setting of metastatic paraganglioma is challenging, particularly in the context of tyrosine kinase use. We describe a 26-year-old female with a background of metastatic paraganglioma harboring a pathogenic SDHB variant, requiring sunitinib, which was withheld to facilitate the safe conception and delivery of a healthy baby. She required no alpha- or beta-blockade during her pregnancy and exhibited no signs of tumor progression or symptoms throughout this period. Historically, higher rates of fetal and maternal morbidity and mortality have been experienced in the setting of pregnancy. Although limited data exist on the management of metastatic paraganglioma in pregnant patients, this case suggests that careful treatment modifications, such as temporary tyrosine kinase therapy cessation and vigilant monitoring, can result in successful pregnancies without compromising maternal or fetal well-being.

Learning points: Paraganglioma in pregnancy has been associated with poor fetal and maternal morbidity and mortality. Many of the treatment modalities for metastatic paraganglioma, including tyrosine kinase inhibitors, can affect fertility or cannot be utilized in pregnancy, necessitating the temporary suspension of these treatments. This case exemplifies that careful clinical and biochemical monitoring during pregnancy is required to avoid maternal and fetal harm while balancing the risk of disease progression off treatment.

Abstract Image

Abstract Image

Abstract Image

在 SDHB 转移性副神经节瘤的情况下成功分娩。
摘要:在患有转移性副神经管瘤的情况下怀孕具有挑战性,尤其是在使用酪氨酸激酶的情况下。我们描述了一名 26 岁女性的情况,她患有转移性副神经管瘤,并携带致病性 SDHB 变异,需要服用舒尼替尼,但为了安全受孕和分娩一个健康的婴儿,她没有服用舒尼替尼。她在怀孕期间无需使用α-或β-受体阻滞剂,也没有出现肿瘤进展的迹象或症状。从历史上看,妊娠期的胎儿和产妇发病率和死亡率都较高。虽然有关妊娠患者转移性副神经管瘤治疗的数据有限,但该病例表明,谨慎的治疗调整,如暂时停止酪氨酸激酶治疗和警惕性监测,可以在不损害母体或胎儿健康的情况下成功怀孕:学习要点:妊娠期副神经节瘤与胎儿和孕产妇的发病率和死亡率有关。许多治疗转移性副神经管瘤的方法,包括酪氨酸激酶抑制剂,都会影响生育能力,或者不能在妊娠期使用,因此必须暂时中止这些治疗。本病例说明,在妊娠期间需要仔细监测临床和生化指标,以避免对母体和胎儿造成伤害,同时平衡治疗后疾病进展的风险。
本文章由计算机程序翻译,如有差异,请以英文原文为准。
求助全文
约1分钟内获得全文 求助全文
来源期刊
CiteScore
1.50
自引率
0.00%
发文量
142
审稿时长
9 weeks
期刊介绍: Endocrinology, Diabetes & Metabolism Case Reports publishes case reports on common and rare conditions in all areas of clinical endocrinology, diabetes and metabolism. Articles should include clear learning points which readers can use to inform medical education or clinical practice. The types of cases of interest to Endocrinology, Diabetes & Metabolism Case Reports include: -Insight into disease pathogenesis or mechanism of therapy - Novel diagnostic procedure - Novel treatment - Unique/unexpected symptoms or presentations of a disease - New disease or syndrome: presentations/diagnosis/management - Unusual effects of medical treatment - Error in diagnosis/pitfalls and caveats
×
引用
GB/T 7714-2015
复制
MLA
复制
APA
复制
导出至
BibTeX EndNote RefMan NoteFirst NoteExpress
×
提示
您的信息不完整,为了账户安全,请先补充。
现在去补充
×
提示
您因"违规操作"
具体请查看互助需知
我知道了
×
提示
确定
请完成安全验证×
copy
已复制链接
快去分享给好友吧!
我知道了
右上角分享
点击右上角分享
0
联系我们:info@booksci.cn Book学术提供免费学术资源搜索服务,方便国内外学者检索中英文文献。致力于提供最便捷和优质的服务体验。 Copyright © 2023 布克学术 All rights reserved.
京ICP备2023020795号-1
ghs 京公网安备 11010802042870号
Book学术文献互助
Book学术文献互助群
群 号:604180095
Book学术官方微信