Making Living-donor Liver Transplantation a Viable Option for Patients With Portopulmonary Hypertension.

IF 1.9 Q3 TRANSPLANTATION
Transplantation Direct Pub Date : 2024-09-25 eCollection Date: 2024-10-01 DOI:10.1097/TXD.0000000000001710
Kristen Burton, Andrew Gold, Peter Abt, Nolan Machado, Kristen Rock, Dmitri Bezinover
{"title":"Making Living-donor Liver Transplantation a Viable Option for Patients With Portopulmonary Hypertension.","authors":"Kristen Burton, Andrew Gold, Peter Abt, Nolan Machado, Kristen Rock, Dmitri Bezinover","doi":"10.1097/TXD.0000000000001710","DOIUrl":null,"url":null,"abstract":"<p><p>Liver transplantation (LT) in patients with significant portopulmonary hypertension (PoPH) is associated with an increased risk of several complications, including graft failure. Graft loss is one of the major reasons. Living donor LT (LDLT) is not routinely performed in the United States in this patient population. In addition, ethical considerations often preclude donation from healthy donors in the setting of a procedure associated with an elevated risk of recipient morbidity and mortality. However, LDLT allows LT to be performed electively, using a superior graft with an improved probability of a good outcome. The key to success in managing these patients is establishing a multidisciplinary team that follows an institutional protocol with clear evaluation and management criteria. These criteria include screening and early diagnosis as well as treatment of PoPH with the goal of optimizing pulmonary arterial hemodynamics and maintaining right ventricular function. Any protocol should include admitting the patient to the hospital a day before surgery for placement of a pulmonary artery catheter to measure and derive relevant hemodynamic variables. A multidisciplinary team should determine the fitness for a transplant a after a careful review of the most up-to-date clinical information. Finally, the team prescribes and executes a plan for optimization and safe perioperative management of the patient. In this report, we discuss our approach to the perioperative management of a patient with significant PoPH who safely underwent LDLT with an excellent postoperative outcome.</p>","PeriodicalId":23225,"journal":{"name":"Transplantation Direct","volume":"10 10","pages":"e1710"},"PeriodicalIF":1.9000,"publicationDate":"2024-09-25","publicationTypes":"Journal Article","fieldsOfStudy":null,"isOpenAccess":false,"openAccessPdf":"https://www.ncbi.nlm.nih.gov/pmc/articles/PMC11427031/pdf/","citationCount":"0","resultStr":null,"platform":"Semanticscholar","paperid":null,"PeriodicalName":"Transplantation Direct","FirstCategoryId":"1085","ListUrlMain":"https://doi.org/10.1097/TXD.0000000000001710","RegionNum":0,"RegionCategory":null,"ArticlePicture":[],"TitleCN":null,"AbstractTextCN":null,"PMCID":null,"EPubDate":"2024/10/1 0:00:00","PubModel":"eCollection","JCR":"Q3","JCRName":"TRANSPLANTATION","Score":null,"Total":0}
引用次数: 0

Abstract

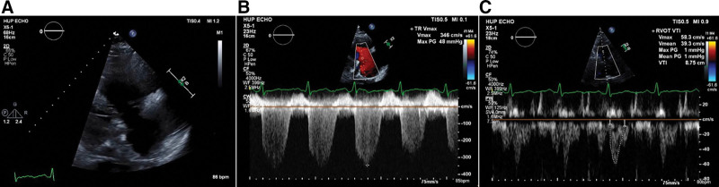
Liver transplantation (LT) in patients with significant portopulmonary hypertension (PoPH) is associated with an increased risk of several complications, including graft failure. Graft loss is one of the major reasons. Living donor LT (LDLT) is not routinely performed in the United States in this patient population. In addition, ethical considerations often preclude donation from healthy donors in the setting of a procedure associated with an elevated risk of recipient morbidity and mortality. However, LDLT allows LT to be performed electively, using a superior graft with an improved probability of a good outcome. The key to success in managing these patients is establishing a multidisciplinary team that follows an institutional protocol with clear evaluation and management criteria. These criteria include screening and early diagnosis as well as treatment of PoPH with the goal of optimizing pulmonary arterial hemodynamics and maintaining right ventricular function. Any protocol should include admitting the patient to the hospital a day before surgery for placement of a pulmonary artery catheter to measure and derive relevant hemodynamic variables. A multidisciplinary team should determine the fitness for a transplant a after a careful review of the most up-to-date clinical information. Finally, the team prescribes and executes a plan for optimization and safe perioperative management of the patient. In this report, we discuss our approach to the perioperative management of a patient with significant PoPH who safely underwent LDLT with an excellent postoperative outcome.

Abstract Image

Abstract Image

Abstract Image

让活体肝移植成为肺门高血压患者的可行选择。
患有严重门肺动脉高压(PoPH)的患者进行肝移植(LT)会增加多种并发症的风险,包括移植失败。移植物丢失是主要原因之一。在美国,活体移植(LDLT)并非此类患者的常规手术。此外,出于伦理方面的考虑,在受者发病率和死亡率风险较高的情况下,通常不允许健康捐献者进行捐献。然而,LDLT 允许选择性地进行 LT,使用更好的移植物,并提高获得良好结果的概率。成功管理这些患者的关键在于建立一个多学科团队,该团队应遵循具有明确评估和管理标准的机构协议。这些标准包括筛查、早期诊断以及治疗 PoPH,目的是优化肺动脉血流动力学并维持右心室功能。任何方案都应包括在手术前一天让患者入院,放置肺动脉导管以测量和得出相关的血流动力学变量。多学科团队应在仔细审查最新临床信息后,确定患者是否适合接受移植手术。最后,团队应制定并执行优化和安全的围手术期患者管理计划。在本报告中,我们将讨论我们对一名患有严重PoPH的患者进行围手术期管理的方法,该患者安全地接受了LDLT,术后效果极佳。
本文章由计算机程序翻译,如有差异,请以英文原文为准。
求助全文
约1分钟内获得全文 求助全文
来源期刊
Transplantation Direct
Transplantation Direct TRANSPLANTATION-
CiteScore
3.40
自引率
4.30%
发文量
193
审稿时长
8 weeks
×
引用
GB/T 7714-2015
复制
MLA
复制
APA
复制
导出至
BibTeX EndNote RefMan NoteFirst NoteExpress
×
提示
您的信息不完整,为了账户安全,请先补充。
现在去补充
×
提示
您因"违规操作"
具体请查看互助需知
我知道了
×
提示
确定
请完成安全验证×
copy
已复制链接
快去分享给好友吧!
我知道了
右上角分享
点击右上角分享
0
联系我们:info@booksci.cn Book学术提供免费学术资源搜索服务,方便国内外学者检索中英文文献。致力于提供最便捷和优质的服务体验。 Copyright © 2023 布克学术 All rights reserved.
京ICP备2023020795号-1
ghs 京公网安备 11010802042870号
Book学术文献互助
Book学术文献互助群
群 号:604180095
Book学术官方微信