Vulvar Lymphangioma Arising in the Setting of May-Thurner Syndrome.

Case Reports in Vascular Medicine Pub Date : 2024-09-18 eCollection Date: 2024-01-01 DOI:10.1155/2024/9761009
Surekha Bantumilli, Ian Flyke, Muthu Kumar Sakthivel, Christine E Bookhout
{"title":"Vulvar Lymphangioma Arising in the Setting of May-Thurner Syndrome.","authors":"Surekha Bantumilli, Ian Flyke, Muthu Kumar Sakthivel, Christine E Bookhout","doi":"10.1155/2024/9761009","DOIUrl":null,"url":null,"abstract":"<p><p>This case report describes an instance of vulvar lymphangioma occurring in the setting of May-Thurner syndrome (MTS), an association between two vascular conditions that we do not believe has been previously reported. Lymphangioma, also known as lymphatic malformation, is a benign lesion typified by dilatation of endothelial-lined lymphatic channels involving the skin and subcutis, which can occur either as a congenital abnormality or as a result of acquired damage to lymphatic channels. Lymphangioma is a rare lesion in the vulva. MTS, also known as iliac vein compression syndrome or Cockett's syndrome, is a condition of left iliac vein obstruction due to overriding the right common iliac artery which can lead to iliofemoral deep vein thrombosis. In this report, we describe the case of a 29-year-old woman with MTS diagnosed at 7 years of age with poor lymphatic drainage and pelvic pain requiring left iliac vein stenting. She presented with left vulvar discomfort and chronic lower extremity edema and was found to have warty vulvar masses, with histopathological examination showing lymphangioma of the vulva. We believe that this is the first report of vulvar lymphangioma recognized in the setting of MTS, and we will discuss the clinical features, etiology, and possible pathophysiologic association between these two entities.</p>","PeriodicalId":9632,"journal":{"name":"Case Reports in Vascular Medicine","volume":"2024 ","pages":"9761009"},"PeriodicalIF":0.0000,"publicationDate":"2024-09-18","publicationTypes":"Journal Article","fieldsOfStudy":null,"isOpenAccess":false,"openAccessPdf":"https://www.ncbi.nlm.nih.gov/pmc/articles/PMC11424864/pdf/","citationCount":"0","resultStr":null,"platform":"Semanticscholar","paperid":null,"PeriodicalName":"Case Reports in Vascular Medicine","FirstCategoryId":"1085","ListUrlMain":"https://doi.org/10.1155/2024/9761009","RegionNum":0,"RegionCategory":null,"ArticlePicture":[],"TitleCN":null,"AbstractTextCN":null,"PMCID":null,"EPubDate":"2024/1/1 0:00:00","PubModel":"eCollection","JCR":"","JCRName":"","Score":null,"Total":0}
引用次数: 0

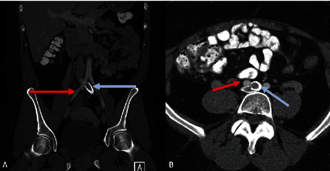
Abstract

This case report describes an instance of vulvar lymphangioma occurring in the setting of May-Thurner syndrome (MTS), an association between two vascular conditions that we do not believe has been previously reported. Lymphangioma, also known as lymphatic malformation, is a benign lesion typified by dilatation of endothelial-lined lymphatic channels involving the skin and subcutis, which can occur either as a congenital abnormality or as a result of acquired damage to lymphatic channels. Lymphangioma is a rare lesion in the vulva. MTS, also known as iliac vein compression syndrome or Cockett's syndrome, is a condition of left iliac vein obstruction due to overriding the right common iliac artery which can lead to iliofemoral deep vein thrombosis. In this report, we describe the case of a 29-year-old woman with MTS diagnosed at 7 years of age with poor lymphatic drainage and pelvic pain requiring left iliac vein stenting. She presented with left vulvar discomfort and chronic lower extremity edema and was found to have warty vulvar masses, with histopathological examination showing lymphangioma of the vulva. We believe that this is the first report of vulvar lymphangioma recognized in the setting of MTS, and we will discuss the clinical features, etiology, and possible pathophysiologic association between these two entities.

Abstract Image

Abstract Image

Abstract Image

梅-特纳综合征背景下出现的外阴淋巴管瘤
本病例报告描述了一例在梅-特纳综合征(MTS)的情况下发生的外阴淋巴管瘤,我们认为这两种血管疾病之间的关联以前从未报道过。淋巴管瘤又称淋巴畸形,是一种良性病变,其特征是内皮衬里淋巴管扩张,累及皮肤和皮下组织。淋巴管瘤是一种罕见的外阴病变。MTS又称髂静脉压迫综合征或科克特综合征,是由于右侧髂总动脉压迫左侧髂静脉导致左侧髂静脉阻塞的一种病症,可导致髂股深静脉血栓形成。在本报告中,我们描述了一例 29 岁女性 MTS 患者的病例,她在 7 岁时被诊断为淋巴引流不畅和盆腔疼痛,需要进行左髂静脉支架植入术。她出现左侧外阴不适和慢性下肢水肿,被发现有疣状外阴肿块,组织病理学检查显示为外阴淋巴管瘤。我们认为这是第一例在 MTS 的情况下发现外阴淋巴管瘤的报告,我们将讨论这两种实体的临床特征、病因和可能的病理生理关联。
本文章由计算机程序翻译,如有差异,请以英文原文为准。
求助全文
约1分钟内获得全文 求助全文
来源期刊
自引率
0.00%
发文量
21
审稿时长
15 weeks
×
引用
GB/T 7714-2015
复制
MLA
复制
APA
复制
导出至
BibTeX EndNote RefMan NoteFirst NoteExpress
×
提示
您的信息不完整,为了账户安全,请先补充。
现在去补充
×
提示
您因"违规操作"
具体请查看互助需知
我知道了
×
提示
确定
请完成安全验证×
copy
已复制链接
快去分享给好友吧!
我知道了
右上角分享
点击右上角分享
0
联系我们:info@booksci.cn Book学术提供免费学术资源搜索服务,方便国内外学者检索中英文文献。致力于提供最便捷和优质的服务体验。 Copyright © 2023 布克学术 All rights reserved.
京ICP备2023020795号-1
ghs 京公网安备 11010802042870号
Book学术文献互助
Book学术文献互助群
群 号:604180095
Book学术官方微信