Thrombotic Microangiopathy After Long-Lasting Treatment by Gemcitabine: Description, Evolution and Treatment of a Rare Case.

IF 0.9
Journal of medical cases Pub Date : 2024-10-01 Epub Date: 2024-09-20 DOI:10.14740/jmc4253
Lise Bertin, Marion Gauthier, Fanny Boullenger, Isabelle Brocheriou, Raphaelle Chevallier, Florence Mary, Robin Dhote, Xavier Belenfant
{"title":"Thrombotic Microangiopathy After Long-Lasting Treatment by Gemcitabine: Description, Evolution and Treatment of a Rare Case.","authors":"Lise Bertin, Marion Gauthier, Fanny Boullenger, Isabelle Brocheriou, Raphaelle Chevallier, Florence Mary, Robin Dhote, Xavier Belenfant","doi":"10.14740/jmc4253","DOIUrl":null,"url":null,"abstract":"<p><p>Thrombotic microangiopathy (TMA) is an uncommon but severe complication that may occur in cancer patients under gemcitabine chemotherapy. Gemcitabine-induced thrombotic microangiopathy (G-TMA) can clinically and biologically present as atypical hemolytic uremic syndrome, with activation of the complement pathway asking the question of the use of eculizumab. We describe here the case of a patient suffering from metastatic cholangiocarcinoma treated by gemcitabine for 4 years leading to the remission of the underlying neoplasia. Despite an impressive response to therapy, she developed thrombopenia, regenerative anemia, and acute kidney injury leading to the suspicion then diagnosis based on the renal biopsy of a very late G-TMA. Spontaneous evolution after treatment interruption was favorable without dialysis requirement. However, in this case where gemcitabine is the only chemotherapy remaining for a mortal underlying condition, we discussed the re-initiation of gemcitabine under eculizumab treatment. This atypical case of TMA illustrates the importance of recognizing, even belatedly, this rare but serious complication of chemotherapy. It asks the question of rechallenging discontinued chemotherapy notably under eculizumab cover, in this population with a high risk of cancer progression.</p>","PeriodicalId":101328,"journal":{"name":"Journal of medical cases","volume":"15 10","pages":"272-277"},"PeriodicalIF":0.9000,"publicationDate":"2024-10-01","publicationTypes":"Journal Article","fieldsOfStudy":null,"isOpenAccess":false,"openAccessPdf":"https://www.ncbi.nlm.nih.gov/pmc/articles/PMC11424102/pdf/","citationCount":"0","resultStr":null,"platform":"Semanticscholar","paperid":null,"PeriodicalName":"Journal of medical cases","FirstCategoryId":"1085","ListUrlMain":"https://doi.org/10.14740/jmc4253","RegionNum":0,"RegionCategory":null,"ArticlePicture":[],"TitleCN":null,"AbstractTextCN":null,"PMCID":null,"EPubDate":"2024/9/20 0:00:00","PubModel":"Epub","JCR":"","JCRName":"","Score":null,"Total":0}
引用次数: 0

Abstract

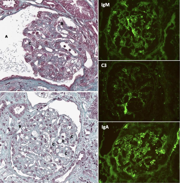
Thrombotic microangiopathy (TMA) is an uncommon but severe complication that may occur in cancer patients under gemcitabine chemotherapy. Gemcitabine-induced thrombotic microangiopathy (G-TMA) can clinically and biologically present as atypical hemolytic uremic syndrome, with activation of the complement pathway asking the question of the use of eculizumab. We describe here the case of a patient suffering from metastatic cholangiocarcinoma treated by gemcitabine for 4 years leading to the remission of the underlying neoplasia. Despite an impressive response to therapy, she developed thrombopenia, regenerative anemia, and acute kidney injury leading to the suspicion then diagnosis based on the renal biopsy of a very late G-TMA. Spontaneous evolution after treatment interruption was favorable without dialysis requirement. However, in this case where gemcitabine is the only chemotherapy remaining for a mortal underlying condition, we discussed the re-initiation of gemcitabine under eculizumab treatment. This atypical case of TMA illustrates the importance of recognizing, even belatedly, this rare but serious complication of chemotherapy. It asks the question of rechallenging discontinued chemotherapy notably under eculizumab cover, in this population with a high risk of cancer progression.

Abstract Image

吉西他滨长期治疗后的血栓性微血管病:一个罕见病例的描述、演变和治疗。
血栓性微血管病(TMA)是一种不常见但严重的并发症,可能发生在接受吉西他滨化疗的癌症患者身上。吉西他滨诱导的血栓性微血管病(G-TMA)在临床和生物学上可表现为非典型溶血性尿毒症综合征,其补体途径的激活提出了使用依库珠单抗的问题。我们在此描述了一名转移性胆管癌患者的病例,她接受吉西他滨治疗 4 年后,基础肿瘤得到缓解。尽管对治疗的反应令人印象深刻,但她还是出现了血栓性血小板减少症、再生障碍性贫血和急性肾损伤,导致怀疑并根据肾活检确诊为晚期 G-TMA。治疗中断后,病情自发好转,无需透析。然而,在这个病例中,吉西他滨是治疗致命基础疾病的唯一化疗药物,因此我们讨论了在依库珠单抗治疗下重新开始吉西他滨治疗的问题。这一非典型 TMA 病例说明,认识到这种罕见但严重的化疗并发症非常重要,即使是姗姗来迟。它提出了一个问题:在癌症进展风险较高的人群中,是否应该在依库珠单抗的治疗下重新使用已停用的化疗药物?
本文章由计算机程序翻译,如有差异,请以英文原文为准。
求助全文
约1分钟内获得全文 求助全文
来源期刊
CiteScore
1.10
自引率
0.00%
发文量
0
×
引用
GB/T 7714-2015
复制
MLA
复制
APA
复制
导出至
BibTeX EndNote RefMan NoteFirst NoteExpress
×
提示
您的信息不完整,为了账户安全,请先补充。
现在去补充
×
提示
您因"违规操作"
具体请查看互助需知
我知道了
×
提示
确定
请完成安全验证×
copy
已复制链接
快去分享给好友吧!
我知道了
右上角分享
点击右上角分享
0
联系我们:info@booksci.cn Book学术提供免费学术资源搜索服务,方便国内外学者检索中英文文献。致力于提供最便捷和优质的服务体验。 Copyright © 2023 布克学术 All rights reserved.
京ICP备2023020795号-1
ghs 京公网安备 11010802042870号
Book学术文献互助
Book学术文献互助群
群 号:604180095
Book学术官方微信