Orogastric Tube Fracture and Ingestion in a Patient With Hyperacute Delirium: A Unique and Potentially Catastrophic Complication.

IF 0.9
Journal of medical cases Pub Date : 2024-10-01 Epub Date: 2024-09-20 DOI:10.14740/jmc4295
Lefika Bathobakae, Shaimaa Elshaarawy, Rammy Bashir, Phenyo Phuu, Gabriel Melki, Bassam Hajjar
{"title":"Orogastric Tube Fracture and Ingestion in a Patient With Hyperacute Delirium: A Unique and Potentially Catastrophic Complication.","authors":"Lefika Bathobakae, Shaimaa Elshaarawy, Rammy Bashir, Phenyo Phuu, Gabriel Melki, Bassam Hajjar","doi":"10.14740/jmc4295","DOIUrl":null,"url":null,"abstract":"<p><p>Orogastric tubes (OGTs) are frequently used to administer feeds and medications to critically ill patients. They are inserted blindly, with a low first-pass success rate and frequent benign complications. OGT fractures and ingestion are exceedingly rare, with only two cases reported to date. Herein, we describe a rare case of OGT transection and ingestion in a male patient admitted for hyperacute delirium and complicated pneumonia. The OGT remnant was retrieved using an endoscope without any complications. Clinicians must be aware of this rare but potentially catastrophic complication of OGT use. OGTs must be inspected in the same manner as endotracheal tubes to ensure patient safety.</p>","PeriodicalId":101328,"journal":{"name":"Journal of medical cases","volume":"15 10","pages":"283-286"},"PeriodicalIF":0.9000,"publicationDate":"2024-10-01","publicationTypes":"Journal Article","fieldsOfStudy":null,"isOpenAccess":false,"openAccessPdf":"https://www.ncbi.nlm.nih.gov/pmc/articles/PMC11424104/pdf/","citationCount":"0","resultStr":null,"platform":"Semanticscholar","paperid":null,"PeriodicalName":"Journal of medical cases","FirstCategoryId":"1085","ListUrlMain":"https://doi.org/10.14740/jmc4295","RegionNum":0,"RegionCategory":null,"ArticlePicture":[],"TitleCN":null,"AbstractTextCN":null,"PMCID":null,"EPubDate":"2024/9/20 0:00:00","PubModel":"Epub","JCR":"","JCRName":"","Score":null,"Total":0}
引用次数: 0

Abstract

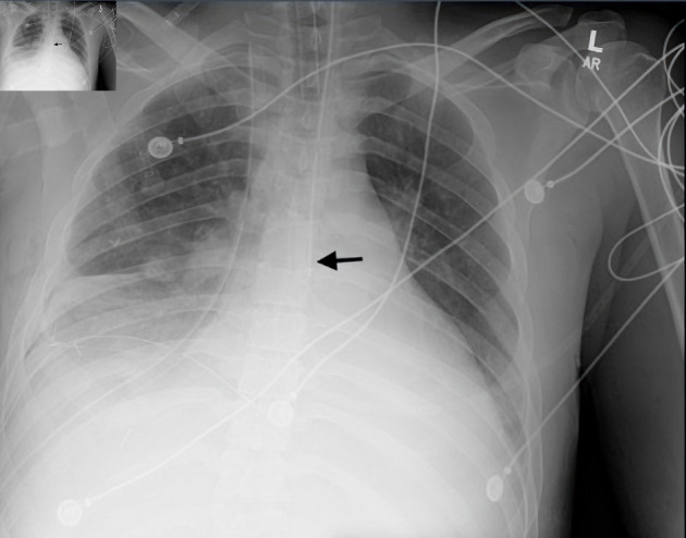
Orogastric tubes (OGTs) are frequently used to administer feeds and medications to critically ill patients. They are inserted blindly, with a low first-pass success rate and frequent benign complications. OGT fractures and ingestion are exceedingly rare, with only two cases reported to date. Herein, we describe a rare case of OGT transection and ingestion in a male patient admitted for hyperacute delirium and complicated pneumonia. The OGT remnant was retrieved using an endoscope without any complications. Clinicians must be aware of this rare but potentially catastrophic complication of OGT use. OGTs must be inspected in the same manner as endotracheal tubes to ensure patient safety.

Abstract Image

Abstract Image

超急性谵妄患者逆胃管断裂和吞咽:一种独特的潜在灾难性并发症。
胃食管(OGT)经常被用于给危重病人喂食和用药。它们是盲插的,一次成功率很低,而且经常出现良性并发症。OGT 骨折和误食极为罕见,迄今仅有两例报道。在此,我们描述了一例因急性谵妄和并发肺炎入院的男性患者发生 OGT 横断和误食的罕见病例。我们使用内窥镜取回了 OGT 残留物,未发生任何并发症。临床医生必须警惕这种罕见但可能造成灾难性后果的 OGT 使用并发症。必须像检查气管导管一样检查 OGT,以确保患者安全。
本文章由计算机程序翻译,如有差异,请以英文原文为准。
求助全文
约1分钟内获得全文 求助全文
来源期刊
CiteScore
1.10
自引率
0.00%
发文量
0
×
引用
GB/T 7714-2015
复制
MLA
复制
APA
复制
导出至
BibTeX EndNote RefMan NoteFirst NoteExpress
×
提示
您的信息不完整,为了账户安全,请先补充。
现在去补充
×
提示
您因"违规操作"
具体请查看互助需知
我知道了
×
提示
确定
请完成安全验证×
copy
已复制链接
快去分享给好友吧!
我知道了
右上角分享
点击右上角分享
0
联系我们:info@booksci.cn Book学术提供免费学术资源搜索服务,方便国内外学者检索中英文文献。致力于提供最便捷和优质的服务体验。 Copyright © 2023 布克学术 All rights reserved.
京ICP备2023020795号-1
ghs 京公网安备 11010802042870号
Book学术文献互助
Book学术文献互助群
群 号:604180095
Book学术官方微信