Graves' Disease Associated With Pulmonary Hypertension and Cardiac Arrest.

IF 0.9
Journal of medical cases Pub Date : 2024-10-01 Epub Date: 2024-09-20 DOI:10.14740/jmc4289
Archana Rajagopal Nair, Mitra Asadi, Sheikh Arshad, Suresh P Jain, Aditya Mangla, Zoran Lasic
{"title":"Graves' Disease Associated With Pulmonary Hypertension and Cardiac Arrest.","authors":"Archana Rajagopal Nair, Mitra Asadi, Sheikh Arshad, Suresh P Jain, Aditya Mangla, Zoran Lasic","doi":"10.14740/jmc4289","DOIUrl":null,"url":null,"abstract":"<p><p>Thyrotoxicosis has been associated with several cardiac conditions including atrial fibrillation, congestive heart failure due to left ventricular dysfunction, and cardiomyopathy. However, few cases of ventricular fibrillation as a complication of thyrotoxicosis have been reported. Our case described a 45-year-old male with a history of hypertension and Graves' disease, who presented with 1 week of left-sided chest pain associated with shortness of breath on exertion and occasional palpitations. His workup revealed acute diastolic congestive heart failure secondary to thyrotoxicosis, causing pulmonary hypertension, which led to ventricular fibrillation and cardiac arrest. After being treated with methimazole and metoprolol, the patient's symptoms improved. This case underscores the significance of assertive medical interventions alongside both invasive and non-invasive cardiac procedures. Addressing thyrotoxicosis and ventricular arrhythmia in hyperthyroid patients is crucial to prevent potentially life-threatening complications.</p>","PeriodicalId":101328,"journal":{"name":"Journal of medical cases","volume":"15 10","pages":"267-271"},"PeriodicalIF":0.9000,"publicationDate":"2024-10-01","publicationTypes":"Journal Article","fieldsOfStudy":null,"isOpenAccess":false,"openAccessPdf":"https://www.ncbi.nlm.nih.gov/pmc/articles/PMC11424107/pdf/","citationCount":"0","resultStr":null,"platform":"Semanticscholar","paperid":null,"PeriodicalName":"Journal of medical cases","FirstCategoryId":"1085","ListUrlMain":"https://doi.org/10.14740/jmc4289","RegionNum":0,"RegionCategory":null,"ArticlePicture":[],"TitleCN":null,"AbstractTextCN":null,"PMCID":null,"EPubDate":"2024/9/20 0:00:00","PubModel":"Epub","JCR":"","JCRName":"","Score":null,"Total":0}
引用次数: 0

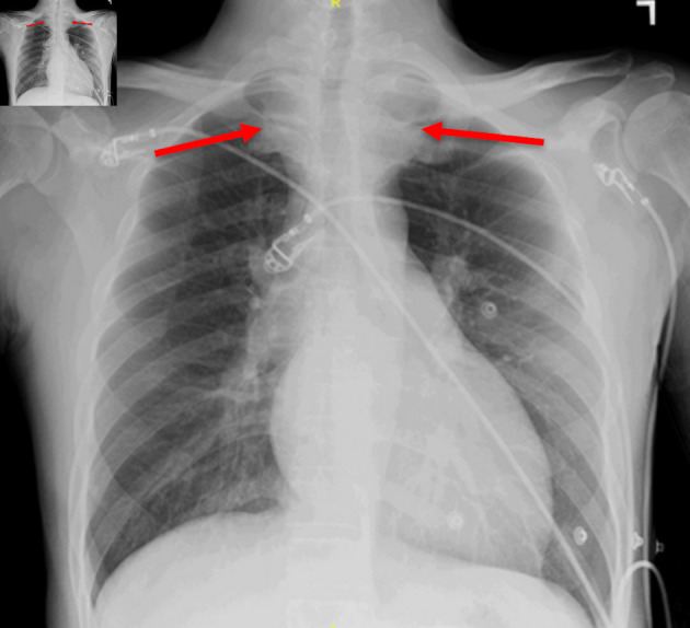
Abstract

Thyrotoxicosis has been associated with several cardiac conditions including atrial fibrillation, congestive heart failure due to left ventricular dysfunction, and cardiomyopathy. However, few cases of ventricular fibrillation as a complication of thyrotoxicosis have been reported. Our case described a 45-year-old male with a history of hypertension and Graves' disease, who presented with 1 week of left-sided chest pain associated with shortness of breath on exertion and occasional palpitations. His workup revealed acute diastolic congestive heart failure secondary to thyrotoxicosis, causing pulmonary hypertension, which led to ventricular fibrillation and cardiac arrest. After being treated with methimazole and metoprolol, the patient's symptoms improved. This case underscores the significance of assertive medical interventions alongside both invasive and non-invasive cardiac procedures. Addressing thyrotoxicosis and ventricular arrhythmia in hyperthyroid patients is crucial to prevent potentially life-threatening complications.

Abstract Image

Abstract Image

Abstract Image

与肺动脉高压和心脏骤停有关的巴塞杜氏病
甲亢与多种心脏疾病有关,包括心房颤动、左心室功能障碍导致的充血性心力衰竭和心肌病。然而,甲亢并发心室颤动的病例却鲜有报道。我们的病例描述了一名有高血压和巴塞杜氏病史的 45 岁男性,他因左侧胸痛一周,伴有用力时气短和偶尔心悸而就诊。他的检查结果显示,急性舒张性充血性心力衰竭继发于甲状腺毒症,引起肺动脉高压,导致心室颤动和心跳骤停。在接受甲巯咪唑和美托洛尔治疗后,患者的症状有所改善。这个病例强调了在进行有创和无创心脏手术的同时,采取果断的医疗干预措施的重要性。解决甲亢患者的甲状腺毒症和室性心律失常问题对于预防可能危及生命的并发症至关重要。
本文章由计算机程序翻译,如有差异,请以英文原文为准。
求助全文
约1分钟内获得全文 求助全文
来源期刊
CiteScore
1.10
自引率
0.00%
发文量
0
×
引用
GB/T 7714-2015
复制
MLA
复制
APA
复制
导出至
BibTeX EndNote RefMan NoteFirst NoteExpress
×
提示
您的信息不完整,为了账户安全,请先补充。
现在去补充
×
提示
您因"违规操作"
具体请查看互助需知
我知道了
×
提示
确定
请完成安全验证×
copy
已复制链接
快去分享给好友吧!
我知道了
右上角分享
点击右上角分享
0
联系我们:info@booksci.cn Book学术提供免费学术资源搜索服务,方便国内外学者检索中英文文献。致力于提供最便捷和优质的服务体验。 Copyright © 2023 布克学术 All rights reserved.
京ICP备2023020795号-1
ghs 京公网安备 11010802042870号
Book学术文献互助
Book学术文献互助群
群 号:604180095
Book学术官方微信