Alpha-Fetoprotein-Producing Hepatoid Adenocarcinoma of the Stomach.

IF 0.9
Journal of medical cases Pub Date : 2024-10-01 Epub Date: 2024-09-20 DOI:10.14740/jmc4263
Lefika Bathobakae, Mohamed Elagami, Anas Mahmoud, Jaydev Kesrani, Ruhin Yuridullah, Gabriel Melki, Amer Akmal, Yana Cavanagh, Walid Baddoura
{"title":"Alpha-Fetoprotein-Producing Hepatoid Adenocarcinoma of the Stomach.","authors":"Lefika Bathobakae, Mohamed Elagami, Anas Mahmoud, Jaydev Kesrani, Ruhin Yuridullah, Gabriel Melki, Amer Akmal, Yana Cavanagh, Walid Baddoura","doi":"10.14740/jmc4263","DOIUrl":null,"url":null,"abstract":"<p><p>Hepatoid adenocarcinoma of the stomach (HAS) is a rare type of gastric cancer with unique clinicopathological features. HAS has a poor prognosis because of early liver, lung, and lymph node metastasis. Owing to its rarity and malignant potential, data on its pathophysiology and management are scarce. Herein, we describe a case of alpha-fetoprotein-producing HAS (AFP-HAS) with metastases to the liver, lungs, and spine. The patient presented with a 3-month history of epigastric pain and intractable emesis, initially thought to be gastroparesis given her uncontrolled diabetes mellitus. Contrast-enhanced computerized tomography (CECT) of the abdomen and pelvis revealed thickening of the gastric wall with hepatic metastases. Upper endoscopy revealed a fungating gastric mass, and the histopathology confirmed AFP-HAS. The patient did not tolerate palliative chemotherapy and died 6 months after her gastric cancer diagnosis.</p>","PeriodicalId":101328,"journal":{"name":"Journal of medical cases","volume":"15 10","pages":"304-309"},"PeriodicalIF":0.9000,"publicationDate":"2024-10-01","publicationTypes":"Journal Article","fieldsOfStudy":null,"isOpenAccess":false,"openAccessPdf":"https://www.ncbi.nlm.nih.gov/pmc/articles/PMC11424106/pdf/","citationCount":"0","resultStr":null,"platform":"Semanticscholar","paperid":null,"PeriodicalName":"Journal of medical cases","FirstCategoryId":"1085","ListUrlMain":"https://doi.org/10.14740/jmc4263","RegionNum":0,"RegionCategory":null,"ArticlePicture":[],"TitleCN":null,"AbstractTextCN":null,"PMCID":null,"EPubDate":"2024/9/20 0:00:00","PubModel":"Epub","JCR":"","JCRName":"","Score":null,"Total":0}
引用次数: 0

Abstract

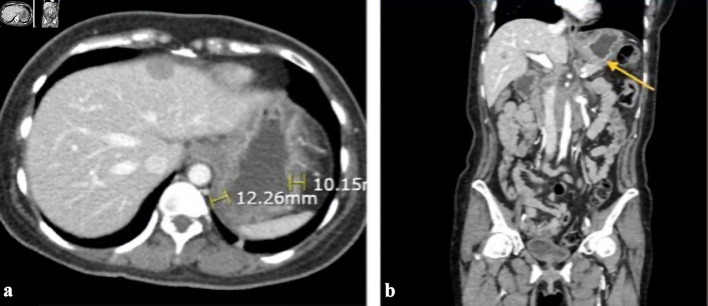
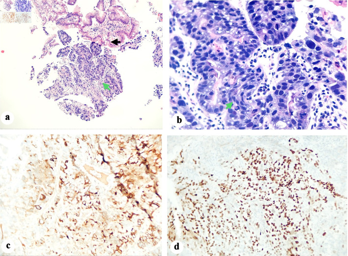
Hepatoid adenocarcinoma of the stomach (HAS) is a rare type of gastric cancer with unique clinicopathological features. HAS has a poor prognosis because of early liver, lung, and lymph node metastasis. Owing to its rarity and malignant potential, data on its pathophysiology and management are scarce. Herein, we describe a case of alpha-fetoprotein-producing HAS (AFP-HAS) with metastases to the liver, lungs, and spine. The patient presented with a 3-month history of epigastric pain and intractable emesis, initially thought to be gastroparesis given her uncontrolled diabetes mellitus. Contrast-enhanced computerized tomography (CECT) of the abdomen and pelvis revealed thickening of the gastric wall with hepatic metastases. Upper endoscopy revealed a fungating gastric mass, and the histopathology confirmed AFP-HAS. The patient did not tolerate palliative chemotherapy and died 6 months after her gastric cancer diagnosis.

Abstract Image

Abstract Image

Abstract Image

产生甲胎蛋白的胃肝样腺癌
胃肝样腺癌(HAS)是一种罕见的胃癌,具有独特的临床病理特征。由于肝、肺和淋巴结的早期转移,HAS 的预后较差。由于其罕见性和恶性潜能,有关其病理生理学和治疗的数据很少。在此,我们描述了一例甲胎蛋白生成HAS(AFP-HAS)并发肝、肺和脊柱转移的病例。患者有3个月的上腹痛和顽固性呕吐病史,由于其糖尿病未得到控制,最初被认为是胃痉挛。腹部和盆腔的对比增强计算机断层扫描(CECT)显示胃壁增厚并伴有肝转移。上消化道内镜检查发现了一个发霉的胃肿块,组织病理学证实了AFP-HAS。患者不能耐受姑息化疗,在确诊胃癌6个月后死亡。
本文章由计算机程序翻译,如有差异,请以英文原文为准。
求助全文
约1分钟内获得全文 求助全文
来源期刊
CiteScore
1.10
自引率
0.00%
发文量
0
×
引用
GB/T 7714-2015
复制
MLA
复制
APA
复制
导出至
BibTeX EndNote RefMan NoteFirst NoteExpress
×
提示
您的信息不完整,为了账户安全,请先补充。
现在去补充
×
提示
您因"违规操作"
具体请查看互助需知
我知道了
×
提示
确定
请完成安全验证×
copy
已复制链接
快去分享给好友吧!
我知道了
右上角分享
点击右上角分享
0
联系我们:info@booksci.cn Book学术提供免费学术资源搜索服务,方便国内外学者检索中英文文献。致力于提供最便捷和优质的服务体验。 Copyright © 2023 布克学术 All rights reserved.
京ICP备2023020795号-1
ghs 京公网安备 11010802042870号
Book学术文献互助
Book学术文献互助群
群 号:604180095
Book学术官方微信