A Case Report of Hemiplegic Migraine with Mutation in the ATP1A2 Gene.

IF 1.8 4区 医学 Q3 PHARMACOLOGY & PHARMACY
Pharmacogenomics & Personalized Medicine Pub Date : 2024-09-20 eCollection Date: 2024-01-01 DOI:10.2147/PGPM.S473335
Dong-Mei Guan, Yuan-Zhuang Shan, Hao-Tian Zhao, Ying Meng, Zhong-Rui Yan, Hai-Lin Zhang
{"title":"A Case Report of Hemiplegic Migraine with Mutation in the ATP1A2 Gene.","authors":"Dong-Mei Guan, Yuan-Zhuang Shan, Hao-Tian Zhao, Ying Meng, Zhong-Rui Yan, Hai-Lin Zhang","doi":"10.2147/PGPM.S473335","DOIUrl":null,"url":null,"abstract":"<p><strong>Background: </strong>Hemiplegic migraine, a less common variant of migraine, is the focus of this paper. Within the scope of this study, we present a case of hemiplegic migraine that bears the potential for misdiagnosis, particularly as encephalitis.</p><p><strong>Brief introduction to the disease: </strong>The patient developed a right-sided headache a day prior to admission, accompanied by fever, nausea, vomiting, and left-sided limb weakness. On the fourth day, the patient experienced a grand mal epilepsy, marked by unconsciousness, leftward deviation of both eyes, limb convulsions, and foaming at the mouth. Cerebrospinal fluid analysis revealed no apparent abnormalities, Electroencephalography showed abnormal slow waves, imaging studies indicated swelling and meningeal thickening in the right cortex, and genetic testing identified a heterozygous mutation in the ATPIA2 gene. The diagnosis was hemiplegic migraine, and the patient received symptomatic supportive treatment, leading to improvement and subsequent discharge. Flunarizine and sodium valproate were prescribed post-discharge, and the patient achieved complete recovery after a one-month follow-up.</p><p><strong>Conclusion: </strong>Apart from experiencing headaches, patients with hemiplegic migraine may exhibit additional symptoms like fever, epilepsy, and hemiplegia. These manifestations warrant clinical attention, and if deemed necessary, genetic testing should be conducted, and this is an autosomal dominant pattern.</p>","PeriodicalId":56015,"journal":{"name":"Pharmacogenomics & Personalized Medicine","volume":"17 ","pages":"437-442"},"PeriodicalIF":1.8000,"publicationDate":"2024-09-20","publicationTypes":"Journal Article","fieldsOfStudy":null,"isOpenAccess":false,"openAccessPdf":"https://www.ncbi.nlm.nih.gov/pmc/articles/PMC11421430/pdf/","citationCount":"0","resultStr":null,"platform":"Semanticscholar","paperid":null,"PeriodicalName":"Pharmacogenomics & Personalized Medicine","FirstCategoryId":"3","ListUrlMain":"https://doi.org/10.2147/PGPM.S473335","RegionNum":4,"RegionCategory":"医学","ArticlePicture":[],"TitleCN":null,"AbstractTextCN":null,"PMCID":null,"EPubDate":"2024/1/1 0:00:00","PubModel":"eCollection","JCR":"Q3","JCRName":"PHARMACOLOGY & PHARMACY","Score":null,"Total":0}
引用次数: 0

Abstract

Background: Hemiplegic migraine, a less common variant of migraine, is the focus of this paper. Within the scope of this study, we present a case of hemiplegic migraine that bears the potential for misdiagnosis, particularly as encephalitis.

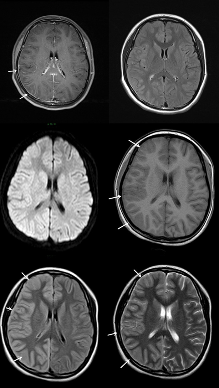
Brief introduction to the disease: The patient developed a right-sided headache a day prior to admission, accompanied by fever, nausea, vomiting, and left-sided limb weakness. On the fourth day, the patient experienced a grand mal epilepsy, marked by unconsciousness, leftward deviation of both eyes, limb convulsions, and foaming at the mouth. Cerebrospinal fluid analysis revealed no apparent abnormalities, Electroencephalography showed abnormal slow waves, imaging studies indicated swelling and meningeal thickening in the right cortex, and genetic testing identified a heterozygous mutation in the ATPIA2 gene. The diagnosis was hemiplegic migraine, and the patient received symptomatic supportive treatment, leading to improvement and subsequent discharge. Flunarizine and sodium valproate were prescribed post-discharge, and the patient achieved complete recovery after a one-month follow-up.

Conclusion: Apart from experiencing headaches, patients with hemiplegic migraine may exhibit additional symptoms like fever, epilepsy, and hemiplegia. These manifestations warrant clinical attention, and if deemed necessary, genetic testing should be conducted, and this is an autosomal dominant pattern.

Abstract Image

ATP1A2 基因突变导致偏瘫性偏头痛的病例报告。
背景:偏瘫型偏头痛是偏头痛的一种较少见的变异型,是本文的研究重点。在本研究范围内,我们介绍了一例偏瘫型偏头痛病例,该病例有可能被误诊,尤其是被误诊为脑炎:患者入院前一天出现右侧头痛,伴有发热、恶心、呕吐和左侧肢体无力。第四天,患者出现癫痫大发作,表现为意识不清、双眼左斜、四肢抽搐和口吐白沫。脑脊液分析未发现明显异常,脑电图显示异常慢波,影像学检查显示右侧皮质肿胀和脑膜增厚,基因检测发现 ATPIA2 基因有杂合突变。诊断结果为偏瘫性偏头痛,患者接受了对症支持治疗,病情有所好转,随后出院。出院后患者接受了氟桂利嗪和丙戊酸钠治疗,随访一个月后完全康复:结论:偏瘫性偏头痛患者除头痛外,还可能出现发热、癫痫和偏瘫等其他症状。这些表现值得临床关注,如有必要,应进行基因检测,这是一种常染色体显性遗传模式。
本文章由计算机程序翻译,如有差异,请以英文原文为准。
求助全文
约1分钟内获得全文 求助全文
来源期刊
Pharmacogenomics & Personalized Medicine
Pharmacogenomics & Personalized Medicine Biochemistry, Genetics and Molecular Biology-Molecular Medicine
CiteScore
3.30
自引率
5.30%
发文量
110
审稿时长
16 weeks
期刊介绍: Pharmacogenomics and Personalized Medicine is an international, peer-reviewed, open-access journal characterizing the influence of genotype on pharmacology leading to the development of personalized treatment programs and individualized drug selection for improved safety, efficacy and sustainability. In particular, emphasis will be given to: Genomic and proteomic profiling Genetics and drug metabolism Targeted drug identification and discovery Optimizing drug selection & dosage based on patient''s genetic profile Drug related morbidity & mortality intervention Advanced disease screening and targeted therapeutic intervention Genetic based vaccine development Patient satisfaction and preference Health economic evaluations Practical and organizational issues in the development and implementation of personalized medicine programs.
×
引用
GB/T 7714-2015
复制
MLA
复制
APA
复制
导出至
BibTeX EndNote RefMan NoteFirst NoteExpress
×
提示
您的信息不完整,为了账户安全,请先补充。
现在去补充
×
提示
您因"违规操作"
具体请查看互助需知
我知道了
×
提示
确定
请完成安全验证×
copy
已复制链接
快去分享给好友吧!
我知道了
右上角分享
点击右上角分享
0
联系我们:info@booksci.cn Book学术提供免费学术资源搜索服务,方便国内外学者检索中英文文献。致力于提供最便捷和优质的服务体验。 Copyright © 2023 布克学术 All rights reserved.
京ICP备2023020795号-1
ghs 京公网安备 11010802042870号
Book学术文献互助
Book学术文献互助群
群 号:604180095
Book学术官方微信