Hepatic Artery Aneurysm-A Rare Cause of Cholestasis.

IF 1.3 4区 医学 Q4 RADIOLOGY, NUCLEAR MEDICINE & MEDICAL IMAGING
Journal of the Belgian Society of Radiology Pub Date : 2024-09-25 eCollection Date: 2024-01-01 DOI:10.5334/jbsr.3751
Sam Verrept, Wouter Van Den Eynde, Yves De Bruecker
{"title":"Hepatic Artery Aneurysm-A Rare Cause of Cholestasis.","authors":"Sam Verrept, Wouter Van Den Eynde, Yves De Bruecker","doi":"10.5334/jbsr.3751","DOIUrl":null,"url":null,"abstract":"<p><p>Hepatic artery aneurysms (HAAs) are rare vascular malformations that can arise from atherosclerosis, trauma, or iatrogenic injury. HAAs can be symptomatic and lead to serious complications. We present the case of a patient with painless jaundice caused by obstruction of the distal common bile duct by a HAA on a replaced right hepatic artery. This was further complicated with cholangitis. After endovascular stenting of the aneurysm, cholestasis decreased. <i>Learning point:</i> Hepatic artery aneurysms can cause common bile duct obstruction resulting in cholestasis.</p>","PeriodicalId":55987,"journal":{"name":"Journal of the Belgian Society of Radiology","volume":"108 1","pages":"85"},"PeriodicalIF":1.3000,"publicationDate":"2024-09-25","publicationTypes":"Journal Article","fieldsOfStudy":null,"isOpenAccess":false,"openAccessPdf":"https://www.ncbi.nlm.nih.gov/pmc/articles/PMC11428659/pdf/","citationCount":"0","resultStr":null,"platform":"Semanticscholar","paperid":null,"PeriodicalName":"Journal of the Belgian Society of Radiology","FirstCategoryId":"3","ListUrlMain":"https://doi.org/10.5334/jbsr.3751","RegionNum":4,"RegionCategory":"医学","ArticlePicture":[],"TitleCN":null,"AbstractTextCN":null,"PMCID":null,"EPubDate":"2024/1/1 0:00:00","PubModel":"eCollection","JCR":"Q4","JCRName":"RADIOLOGY, NUCLEAR MEDICINE & MEDICAL IMAGING","Score":null,"Total":0}
引用次数: 0

Abstract

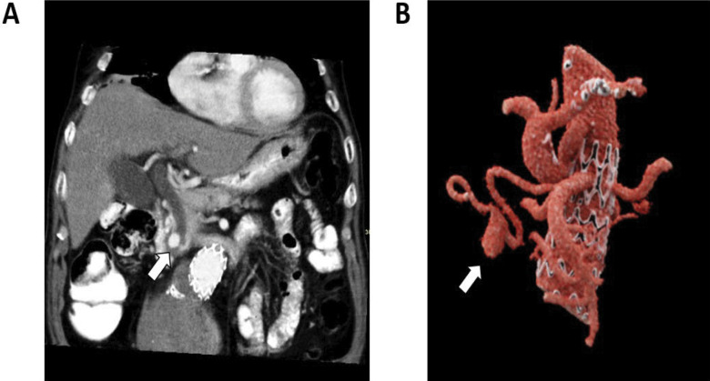
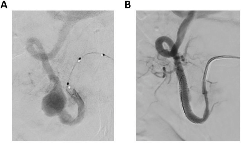
Hepatic artery aneurysms (HAAs) are rare vascular malformations that can arise from atherosclerosis, trauma, or iatrogenic injury. HAAs can be symptomatic and lead to serious complications. We present the case of a patient with painless jaundice caused by obstruction of the distal common bile duct by a HAA on a replaced right hepatic artery. This was further complicated with cholangitis. After endovascular stenting of the aneurysm, cholestasis decreased. Learning point: Hepatic artery aneurysms can cause common bile duct obstruction resulting in cholestasis.

Abstract Image

Abstract Image

Abstract Image

肝动脉瘤--胆汁淤积症的罕见病因
肝动脉瘤(HAAs)是一种罕见的血管畸形,可由动脉粥样硬化、外伤或先天性损伤引起。肝动脉瘤可能会出现症状,并导致严重的并发症。我们介绍了一例因右侧肝动脉置换的 HAA 阻塞远端胆总管而导致无痛性黄疸的患者。随后又并发了胆管炎。在对动脉瘤进行血管内支架置入术后,胆汁淤积有所缓解。学习要点:肝动脉瘤可引起胆总管阻塞,导致胆汁淤积。
本文章由计算机程序翻译,如有差异,请以英文原文为准。
求助全文
约1分钟内获得全文 求助全文
来源期刊
Journal of the Belgian Society of Radiology
Journal of the Belgian Society of Radiology Medicine-Radiology, Nuclear Medicine and Imaging
CiteScore
0.70
自引率
5.00%
发文量
96
期刊介绍: The purpose of the Journal of the Belgian Society of Radiology is the publication of articles dealing with diagnostic and interventional radiology, related imaging techniques, allied sciences, and continuing education.
×
引用
GB/T 7714-2015
复制
MLA
复制
APA
复制
导出至
BibTeX EndNote RefMan NoteFirst NoteExpress
×
提示
您的信息不完整,为了账户安全,请先补充。
现在去补充
×
提示
您因"违规操作"
具体请查看互助需知
我知道了
×
提示
确定
请完成安全验证×
copy
已复制链接
快去分享给好友吧!
我知道了
右上角分享
点击右上角分享
0
联系我们:info@booksci.cn Book学术提供免费学术资源搜索服务,方便国内外学者检索中英文文献。致力于提供最便捷和优质的服务体验。 Copyright © 2023 布克学术 All rights reserved.
京ICP备2023020795号-1
ghs 京公网安备 11010802042870号
Book学术文献互助
Book学术文献互助群
群 号:604180095
Book学术官方微信