Congenital Abnormalities Causing Hematocolpos: A Pictorial Essay.

IF 1.3 4区 医学 Q4 RADIOLOGY, NUCLEAR MEDICINE & MEDICAL IMAGING
Journal of the Belgian Society of Radiology Pub Date : 2024-09-24 eCollection Date: 2024-01-01 DOI:10.5334/jbsr.3660
Louise Dorthu, Denis Danthine
{"title":"Congenital Abnormalities Causing Hematocolpos: A Pictorial Essay.","authors":"Louise Dorthu, Denis Danthine","doi":"10.5334/jbsr.3660","DOIUrl":null,"url":null,"abstract":"<p><p>Hematocolpos, characterized by the accumulation of menstrual blood in the vagina, is a rare condition often misdiagnosed due to its uncommon occurrence and non-specific symptoms. Main causes include imperforate hymen, obstructed hemivagina with ipsilateral renal anomaly (OHVIRA), congenital lower vaginal atresia, and complete transverse vaginal septum. Without early diagnosis and treatment, complications such as tubal adhesion, pelvic endometriosis, and infertility can occur. This article reviews the differential diagnosis and treatment of hematocolpos.</p>","PeriodicalId":55987,"journal":{"name":"Journal of the Belgian Society of Radiology","volume":"108 1","pages":"84"},"PeriodicalIF":1.3000,"publicationDate":"2024-09-24","publicationTypes":"Journal Article","fieldsOfStudy":null,"isOpenAccess":false,"openAccessPdf":"https://www.ncbi.nlm.nih.gov/pmc/articles/PMC11428662/pdf/","citationCount":"0","resultStr":null,"platform":"Semanticscholar","paperid":null,"PeriodicalName":"Journal of the Belgian Society of Radiology","FirstCategoryId":"3","ListUrlMain":"https://doi.org/10.5334/jbsr.3660","RegionNum":4,"RegionCategory":"医学","ArticlePicture":[],"TitleCN":null,"AbstractTextCN":null,"PMCID":null,"EPubDate":"2024/1/1 0:00:00","PubModel":"eCollection","JCR":"Q4","JCRName":"RADIOLOGY, NUCLEAR MEDICINE & MEDICAL IMAGING","Score":null,"Total":0}
引用次数: 0

Abstract

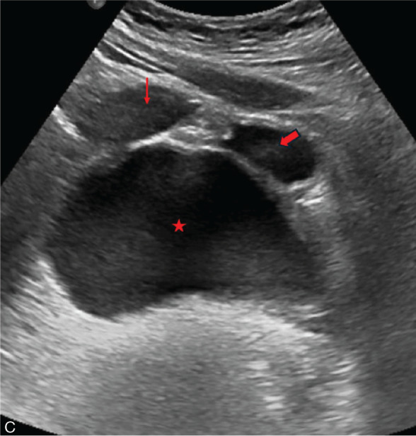
Hematocolpos, characterized by the accumulation of menstrual blood in the vagina, is a rare condition often misdiagnosed due to its uncommon occurrence and non-specific symptoms. Main causes include imperforate hymen, obstructed hemivagina with ipsilateral renal anomaly (OHVIRA), congenital lower vaginal atresia, and complete transverse vaginal septum. Without early diagnosis and treatment, complications such as tubal adhesion, pelvic endometriosis, and infertility can occur. This article reviews the differential diagnosis and treatment of hematocolpos.

Abstract Image

Abstract Image

Abstract Image

先天性畸形导致小肠结肠炎:图文并茂的论文。
阴道积血(Hematocolpos)是一种罕见的疾病,其特征是经血在阴道内积聚,由于其发生率不高且无特异性症状,常常被误诊。主要原因包括处女膜无孔、同侧肾脏异常的半阴道梗阻(OHVIRA)、先天性阴道下段闭锁和阴道完全横隔。如果不及早诊断和治疗,可能会出现输卵管粘连、盆腔子宫内膜异位症和不孕症等并发症。本文回顾了血性结肠炎的鉴别诊断和治疗。
本文章由计算机程序翻译,如有差异,请以英文原文为准。
求助全文
约1分钟内获得全文 求助全文
来源期刊
Journal of the Belgian Society of Radiology
Journal of the Belgian Society of Radiology Medicine-Radiology, Nuclear Medicine and Imaging
CiteScore
0.70
自引率
5.00%
发文量
96
期刊介绍: The purpose of the Journal of the Belgian Society of Radiology is the publication of articles dealing with diagnostic and interventional radiology, related imaging techniques, allied sciences, and continuing education.
×
引用
GB/T 7714-2015
复制
MLA
复制
APA
复制
导出至
BibTeX EndNote RefMan NoteFirst NoteExpress
×
提示
您的信息不完整,为了账户安全,请先补充。
现在去补充
×
提示
您因"违规操作"
具体请查看互助需知
我知道了
×
提示
确定
请完成安全验证×
copy
已复制链接
快去分享给好友吧!
我知道了
右上角分享
点击右上角分享
0
联系我们:info@booksci.cn Book学术提供免费学术资源搜索服务,方便国内外学者检索中英文文献。致力于提供最便捷和优质的服务体验。 Copyright © 2023 布克学术 All rights reserved.
京ICP备2023020795号-1
ghs 京公网安备 11010802042870号
Book学术文献互助
Book学术文献互助群
群 号:604180095
Book学术官方微信