Hypertrophic nonunion management with distraction osteogenesis: a scoping review of the literature.

Benjamin J Rouse, Gerard A Sheridan, Brian J Page, Austin T Fragomen, S Robert Rozbruch
{"title":"Hypertrophic nonunion management with distraction osteogenesis: a scoping review of the literature.","authors":"Benjamin J Rouse, Gerard A Sheridan, Brian J Page, Austin T Fragomen, S Robert Rozbruch","doi":"10.1097/OI9.0000000000000342","DOIUrl":null,"url":null,"abstract":"<p><strong>Introduction: </strong>Traditionally, stiff hypertrophic nonunions have been managed with open preparation of the nonunion site, which is then secured with internal fixation. Alternative surgical options are available including distraction osteogenesis with an external fixator. There is currently a limited amount of literature pertaining to the use of distraction osteogenesis in the management of hypertrophic nonunion. The aim of this systematic review was to collate and assess the effectiveness of distraction osteogenesis (DO) in the management of hypertrophic nonunions and to evaluate the complications that are commonly reported in the literature.</p><p><strong>Methods: </strong>We searched for articles pertaining to the treatment of hypertrophic nonunion using distraction osteogenesis. Several electronic bibliographic databases and clinical trial registries were searched using the MeSH terms \"hypertrophic non-union,\" \"distraction osteogenesis,\" \"stiff non-union,\" and \"External Fixation\" in various combinations to return the maximal number of studies for review. We performed a systematic review and identified a total of 11 studies eligible for review.</p><p><strong>Results: </strong>The review of the literature demonstrated that this technique is highly effective in achieving bony union with minimal complications. The most common complication is mild superficial pin site infections, usually managed with oral antibiotics and effective wound hygiene. Other complications reported were deep pin tract infections, broken hardware, and deformity recurrence due to collapse of regenerate bone.</p><p><strong>Conclusion: </strong>The use of distraction osteogenesis with external fixator devices is an effective and safe method for producing bony union in hypertrophic nonunions. There were minimal associated complications.</p>","PeriodicalId":74381,"journal":{"name":"OTA international : the open access journal of orthopaedic trauma","volume":"7 4","pages":"e342"},"PeriodicalIF":0.0000,"publicationDate":"2024-09-18","publicationTypes":"Journal Article","fieldsOfStudy":null,"isOpenAccess":false,"openAccessPdf":"https://www.ncbi.nlm.nih.gov/pmc/articles/PMC11410321/pdf/","citationCount":"0","resultStr":null,"platform":"Semanticscholar","paperid":null,"PeriodicalName":"OTA international : the open access journal of orthopaedic trauma","FirstCategoryId":"1085","ListUrlMain":"https://doi.org/10.1097/OI9.0000000000000342","RegionNum":0,"RegionCategory":null,"ArticlePicture":[],"TitleCN":null,"AbstractTextCN":null,"PMCID":null,"EPubDate":"2024/12/1 0:00:00","PubModel":"eCollection","JCR":"","JCRName":"","Score":null,"Total":0}
引用次数: 0

Abstract

Introduction: Traditionally, stiff hypertrophic nonunions have been managed with open preparation of the nonunion site, which is then secured with internal fixation. Alternative surgical options are available including distraction osteogenesis with an external fixator. There is currently a limited amount of literature pertaining to the use of distraction osteogenesis in the management of hypertrophic nonunion. The aim of this systematic review was to collate and assess the effectiveness of distraction osteogenesis (DO) in the management of hypertrophic nonunions and to evaluate the complications that are commonly reported in the literature.

Methods: We searched for articles pertaining to the treatment of hypertrophic nonunion using distraction osteogenesis. Several electronic bibliographic databases and clinical trial registries were searched using the MeSH terms "hypertrophic non-union," "distraction osteogenesis," "stiff non-union," and "External Fixation" in various combinations to return the maximal number of studies for review. We performed a systematic review and identified a total of 11 studies eligible for review.

Results: The review of the literature demonstrated that this technique is highly effective in achieving bony union with minimal complications. The most common complication is mild superficial pin site infections, usually managed with oral antibiotics and effective wound hygiene. Other complications reported were deep pin tract infections, broken hardware, and deformity recurrence due to collapse of regenerate bone.

Conclusion: The use of distraction osteogenesis with external fixator devices is an effective and safe method for producing bony union in hypertrophic nonunions. There were minimal associated complications.

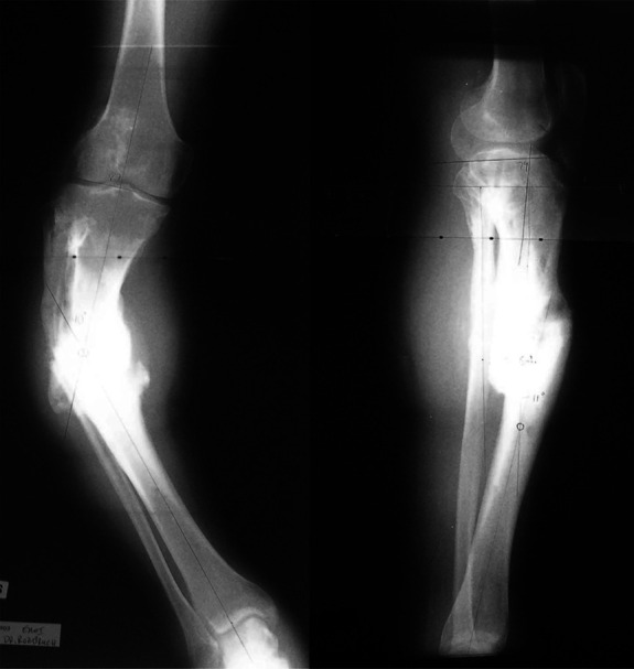
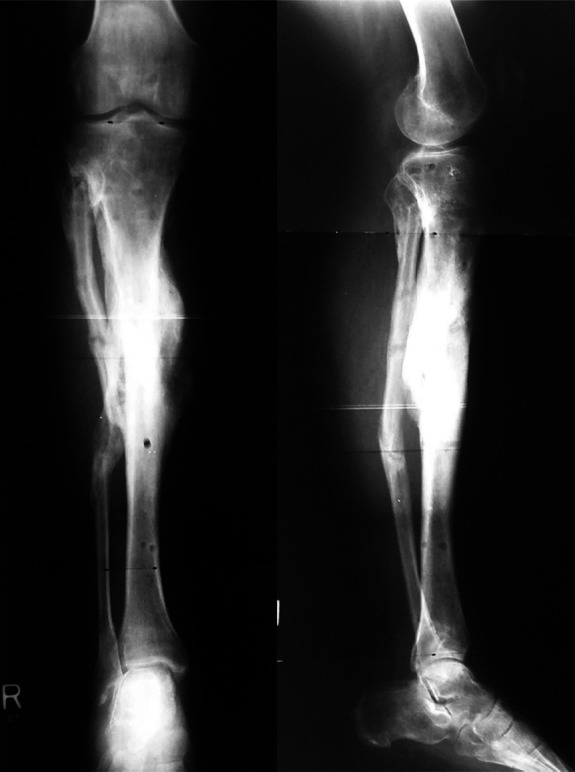
Abstract Image

Abstract Image

Abstract Image

用牵张成骨法治疗肥大性非椎体髁退变:文献综述。
简介:传统上,僵硬肥大性骨不连的治疗方法是对骨不连部位进行开放性准备,然后用内固定固定。其他手术方法包括使用外固定器进行牵引成骨。目前有关牵张成骨术治疗肥大性骨不连的文献数量有限。本系统性综述旨在整理和评估牵张成骨术(DO)在治疗肥厚性骨不连中的有效性,并评估文献中常见的并发症:我们搜索了有关使用牵张成骨法治疗肥大性骨折的文章。我们使用 MeSH 术语 "肥大性骨不连"、"牵张成骨"、"僵硬性骨不连 "和 "外固定 "的不同组合检索了多个电子文献数据库和临床试验登记处,以获得最多的研究综述。我们进行了系统性回顾,共确定了 11 项符合回顾条件的研究:文献综述显示,该技术在实现骨性结合方面非常有效,且并发症极少。最常见的并发症是轻微的浅表针脚部位感染,通常通过口服抗生素和有效的伤口卫生处理。其他并发症包括深部针道感染、硬件断裂以及再生骨塌陷导致的畸形复发:结论:使用外固定器牵引成骨是一种有效、安全的方法,可使肥大性非椎体畸形患者的骨结合。相关并发症极少。
本文章由计算机程序翻译,如有差异,请以英文原文为准。
求助全文
约1分钟内获得全文 求助全文
来源期刊
自引率
0.00%
发文量
0
审稿时长
4 weeks
×
引用
GB/T 7714-2015
复制
MLA
复制
APA
复制
导出至
BibTeX EndNote RefMan NoteFirst NoteExpress
×
提示
您的信息不完整,为了账户安全,请先补充。
现在去补充
×
提示
您因"违规操作"
具体请查看互助需知
我知道了
×
提示
确定
请完成安全验证×
copy
已复制链接
快去分享给好友吧!
我知道了
右上角分享
点击右上角分享
0
联系我们:info@booksci.cn Book学术提供免费学术资源搜索服务,方便国内外学者检索中英文文献。致力于提供最便捷和优质的服务体验。 Copyright © 2023 布克学术 All rights reserved.
京ICP备2023020795号-1
ghs 京公网安备 11010802042870号
Book学术文献互助
Book学术文献互助群
群 号:604180095
Book学术官方微信