Clinicopathologic features, demographics, disease burden, and therapeutics in alopecic sarcoidosis: a case series and systematic review.

IF 3.1 Q2 Medicine
International Journal of Women''s Dermatology Pub Date : 2024-09-13 eCollection Date: 2024-10-01 DOI:10.1097/JW9.0000000000000181
Chinemelum Obijiofor, Michelle Sikora, Ata S Moshiri, Mariam Alam, Kristen I Lo Sicco, Sotonye Imadojemu, Avrom S Caplan
{"title":"Clinicopathologic features, demographics, disease burden, and therapeutics in alopecic sarcoidosis: a case series and systematic review.","authors":"Chinemelum Obijiofor, Michelle Sikora, Ata S Moshiri, Mariam Alam, Kristen I Lo Sicco, Sotonye Imadojemu, Avrom S Caplan","doi":"10.1097/JW9.0000000000000181","DOIUrl":null,"url":null,"abstract":"<p><strong>Background: </strong>Alopecic sarcoidosis is an uncommon cutaneous manifestation of sarcoidosis. Scarring and nonscarring alopecic sarcoidosis have been reported; however, information on the epidemiology, systemic disease associations, and treatment efficacy is limited.</p><p><strong>Objective: </strong>To address these gaps, we conducted a retrospective chart review and systematic literature review of alopecic sarcoidosis cases.</p><p><strong>Methods: </strong>Full-text English publications from PubMed, Scopus, and Google Scholar from inception to August 2023 were analyzed. Treatment evidence quality was assessed using the modified Oxford Centre for Evidence-Based Medicine rating scale. Three patients with biopsy-proven alopecic sarcoidosis were included as a case series, all demonstrating systemic sarcoidosis and 2 requiring multiple therapies. Among 1778 search results, 60 articles representing 77 cases of alopecic and scalp sarcoidosis were included. Patients were categorized into 4 distinct alopecic subgroups. Black patients constituted the majority of all subgroups.</p><p><strong>Results: </strong>Extracutaneous sarcoidosis burden was high across all alopecic subgroups, with ocular disease appearing overrepresented. Topical and oral corticosteroids were the main treatments. Though scarring alopecia patients had poor outcomes despite receiving immunomodulators/cx, limited data suggest potential efficacy of tumor necrosis factor-alpha inhibitors.</p><p><strong>Limitations: </strong>This study has a small sample size.</p><p><strong>Conclusion: </strong>Our findings underscore the importance of evidence-based strategies for improving alopecic sarcoidosis management. Prompt diagnosis and systemic evaluation, especially for scarring alopecia, are essential for timely intervention to optimize patient outcomes.</p>","PeriodicalId":53478,"journal":{"name":"International Journal of Women''s Dermatology","volume":"10 3","pages":"e181"},"PeriodicalIF":3.1000,"publicationDate":"2024-09-13","publicationTypes":"Journal Article","fieldsOfStudy":null,"isOpenAccess":false,"openAccessPdf":"https://www.ncbi.nlm.nih.gov/pmc/articles/PMC11398751/pdf/","citationCount":"0","resultStr":null,"platform":"Semanticscholar","paperid":null,"PeriodicalName":"International Journal of Women''s Dermatology","FirstCategoryId":"1085","ListUrlMain":"https://doi.org/10.1097/JW9.0000000000000181","RegionNum":0,"RegionCategory":null,"ArticlePicture":[],"TitleCN":null,"AbstractTextCN":null,"PMCID":null,"EPubDate":"2024/10/1 0:00:00","PubModel":"eCollection","JCR":"Q2","JCRName":"Medicine","Score":null,"Total":0}
引用次数: 0

Abstract

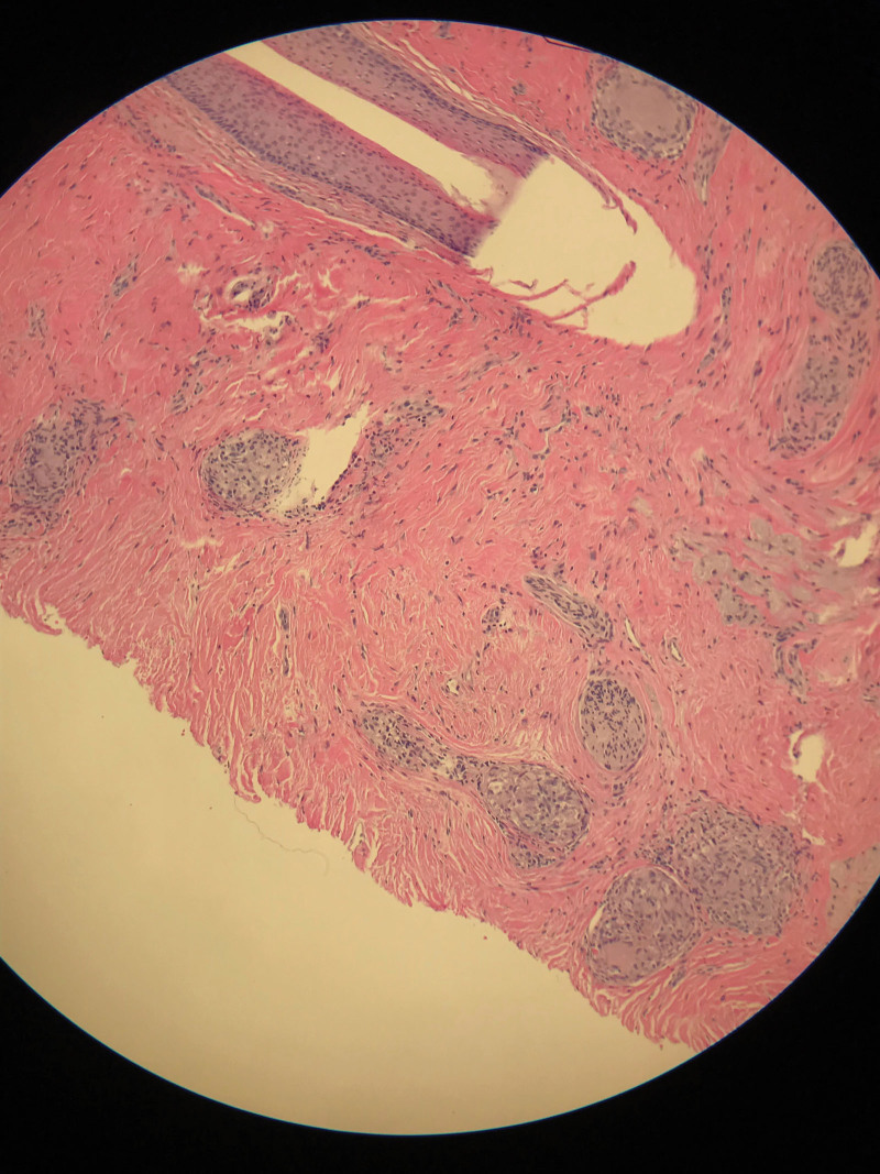
Background: Alopecic sarcoidosis is an uncommon cutaneous manifestation of sarcoidosis. Scarring and nonscarring alopecic sarcoidosis have been reported; however, information on the epidemiology, systemic disease associations, and treatment efficacy is limited.

Objective: To address these gaps, we conducted a retrospective chart review and systematic literature review of alopecic sarcoidosis cases.

Methods: Full-text English publications from PubMed, Scopus, and Google Scholar from inception to August 2023 were analyzed. Treatment evidence quality was assessed using the modified Oxford Centre for Evidence-Based Medicine rating scale. Three patients with biopsy-proven alopecic sarcoidosis were included as a case series, all demonstrating systemic sarcoidosis and 2 requiring multiple therapies. Among 1778 search results, 60 articles representing 77 cases of alopecic and scalp sarcoidosis were included. Patients were categorized into 4 distinct alopecic subgroups. Black patients constituted the majority of all subgroups.

Results: Extracutaneous sarcoidosis burden was high across all alopecic subgroups, with ocular disease appearing overrepresented. Topical and oral corticosteroids were the main treatments. Though scarring alopecia patients had poor outcomes despite receiving immunomodulators/cx, limited data suggest potential efficacy of tumor necrosis factor-alpha inhibitors.

Limitations: This study has a small sample size.

Conclusion: Our findings underscore the importance of evidence-based strategies for improving alopecic sarcoidosis management. Prompt diagnosis and systemic evaluation, especially for scarring alopecia, are essential for timely intervention to optimize patient outcomes.

Abstract Image

Abstract Image

Abstract Image

脱发肉样瘤病的临床病理特征、人口统计学、疾病负担和疗法:病例系列和系统综述。
背景:脱发性肉样瘤病是肉样瘤病的一种不常见的皮肤表现。瘢痕性和非瘢痕性脱发肉样瘤病均有报道,但有关其流行病学、系统性疾病相关性和治疗效果的信息十分有限:为了填补这些空白,我们对脱发型肉样瘤病病例进行了回顾性病历审查和系统性文献审查:方法:分析了从 PubMed、Scopus 和 Google Scholar 收录的从开始到 2023 年 8 月的全文英文出版物。采用改良的牛津循证医学中心评分表对治疗证据质量进行评估。作为一个病例系列,纳入了三名经活检证实的白发肉样瘤病患者,所有患者均表现为全身性肉样瘤病,其中两名患者需要接受多种治疗。在 1778 条搜索结果中,共纳入了 60 篇文章,代表 77 例脱发和头皮肉样瘤病病例。患者被分为 4 个不同的脱发亚组。在所有亚组中,黑人患者占大多数:结果:在所有脱发亚组中,皮肤外肉样瘤病的发病率都很高,其中眼部疾病的发病率较高。局部和口服皮质类固醇激素是主要的治疗方法。尽管瘢痕性脱发患者接受了免疫调节剂/类固醇治疗,但疗效不佳,有限的数据表明肿瘤坏死因子-α抑制剂具有潜在疗效:本研究样本量较小:我们的研究结果强调了循证策略对于改善脱发性肉瘤病管理的重要性。及时诊断和系统评估,尤其是瘢痕性脱发,对于及时干预以优化患者预后至关重要。
本文章由计算机程序翻译,如有差异,请以英文原文为准。
求助全文
约1分钟内获得全文 求助全文
来源期刊
CiteScore
4.70
自引率
0.00%
发文量
52
审稿时长
18 weeks
期刊介绍: The IJWD publishes articles pertaining to dermatologic medical, surgical and cosmetic issues faced by female patients and their families. We are interested in original research articles, review articles, unusual case reports, new treatments, clinical trials, education, mentorship and viewpoint articles. Articles dealing with ethical issues in dermatology and medical legal scenarios are also welcome.Very important articles will have accompanying editorials. Topics which our subsections editors look forward to welcoming include: Women’s Health Oncology, Surgery and Aesthetics Pediatric Dermatology Medical Dermatology Society.
×
引用
GB/T 7714-2015
复制
MLA
复制
APA
复制
导出至
BibTeX EndNote RefMan NoteFirst NoteExpress
×
提示
您的信息不完整,为了账户安全,请先补充。
现在去补充
×
提示
您因"违规操作"
具体请查看互助需知
我知道了
×
提示
确定
请完成安全验证×
copy
已复制链接
快去分享给好友吧!
我知道了
右上角分享
点击右上角分享
0
联系我们:info@booksci.cn Book学术提供免费学术资源搜索服务,方便国内外学者检索中英文文献。致力于提供最便捷和优质的服务体验。 Copyright © 2023 布克学术 All rights reserved.
京ICP备2023020795号-1
ghs 京公网安备 11010802042870号
Book学术文献互助
Book学术文献互助群
群 号:604180095
Book学术官方微信