Is there a place for dorsal hemiepiphysiodesis of the first metatarsal in the treatment of pes cavovarus?

IF 1 4区 医学 Q4 ORTHOPEDICS
Liliana S Domingues, Susana Norte, Mónika Thusing, Manuel C Neves
{"title":"Is there a place for dorsal hemiepiphysiodesis of the first metatarsal in the treatment of pes cavovarus?","authors":"Liliana S Domingues, Susana Norte, Mónika Thusing, Manuel C Neves","doi":"10.1097/BPB.0000000000001209","DOIUrl":null,"url":null,"abstract":"<p><p>The objective of this study is to describe and evaluate dorsal hemiepiphysodesis of the first metatarsal as an osteotomy replacement technique. Retrospective analysis of patients with pes cavovarus (PCV) treated in our center with dorsal hemiepiphysodesis of the first metatarsal. Meary's angle, calcaneal pitch, and Moreau Costa Bartani were compared pre and post-operatively and the ratio between width and foot length was monitored. Between May 2012 and May 2022, eight patients (14 feet) with PCV underwent dorsal hemiepiphysiodesis of the first metatarsal combined with the Steindler procedure. Four patients (50%) were male. The average age for boys at surgery was 10.75 years (10-11) and for girls was 9.75 years (8-11). Most patients (87.5%) had idiopathic PCV and 12.5% had a neurological PCV. Median follow-up was 4.3 years (1.5-10) and a benefit was seen in all patients in Moreau Costa Bartani angle (112.64° vs. 120.59°; P value = 0.003), calcaneal pitch (26.48° vs. 25.36°; P value = 0.091) and Meary's angle (10.60° vs. 5.36°; P value = 0.008) after surgery. Supination improvement was also shown (0.21 vs. 0.24; P value = 0.039). Despite the limited number of patients, the results demonstrated that dorsal hemiepiphysiodesis of the first metatarsal can be a valid alternative to osteotomy of the base of the first metatarsal, with less morbidity and a gradual and dynamic correction throughout growth.</p>","PeriodicalId":50092,"journal":{"name":"Journal of Pediatric Orthopaedics-Part B","volume":" ","pages":"151-156"},"PeriodicalIF":1.0000,"publicationDate":"2025-03-01","publicationTypes":"Journal Article","fieldsOfStudy":null,"isOpenAccess":false,"openAccessPdf":"https://www.ncbi.nlm.nih.gov/pmc/articles/PMC11776887/pdf/","citationCount":"0","resultStr":null,"platform":"Semanticscholar","paperid":null,"PeriodicalName":"Journal of Pediatric Orthopaedics-Part B","FirstCategoryId":"3","ListUrlMain":"https://doi.org/10.1097/BPB.0000000000001209","RegionNum":4,"RegionCategory":"医学","ArticlePicture":[],"TitleCN":null,"AbstractTextCN":null,"PMCID":null,"EPubDate":"2024/9/23 0:00:00","PubModel":"Epub","JCR":"Q4","JCRName":"ORTHOPEDICS","Score":null,"Total":0}
引用次数: 0

Abstract

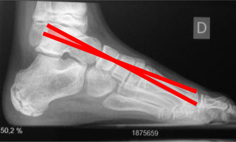
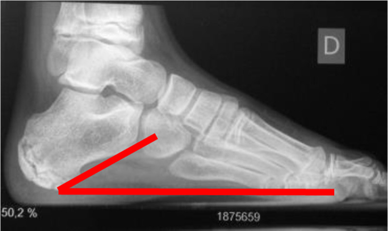
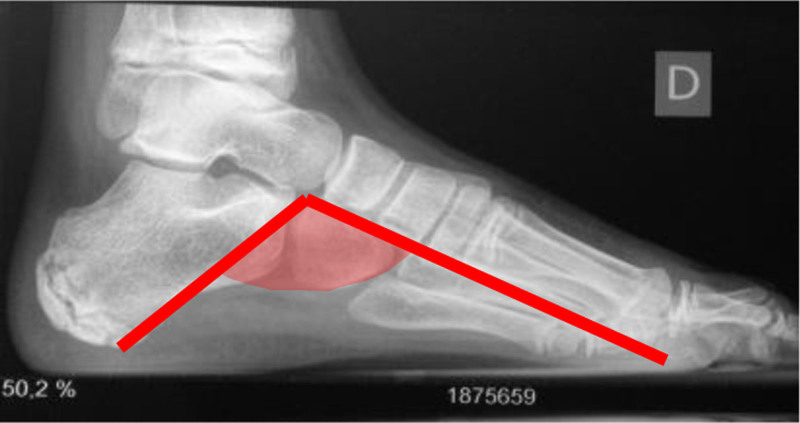
The objective of this study is to describe and evaluate dorsal hemiepiphysodesis of the first metatarsal as an osteotomy replacement technique. Retrospective analysis of patients with pes cavovarus (PCV) treated in our center with dorsal hemiepiphysodesis of the first metatarsal. Meary's angle, calcaneal pitch, and Moreau Costa Bartani were compared pre and post-operatively and the ratio between width and foot length was monitored. Between May 2012 and May 2022, eight patients (14 feet) with PCV underwent dorsal hemiepiphysiodesis of the first metatarsal combined with the Steindler procedure. Four patients (50%) were male. The average age for boys at surgery was 10.75 years (10-11) and for girls was 9.75 years (8-11). Most patients (87.5%) had idiopathic PCV and 12.5% had a neurological PCV. Median follow-up was 4.3 years (1.5-10) and a benefit was seen in all patients in Moreau Costa Bartani angle (112.64° vs. 120.59°; P value = 0.003), calcaneal pitch (26.48° vs. 25.36°; P value = 0.091) and Meary's angle (10.60° vs. 5.36°; P value = 0.008) after surgery. Supination improvement was also shown (0.21 vs. 0.24; P value = 0.039). Despite the limited number of patients, the results demonstrated that dorsal hemiepiphysiodesis of the first metatarsal can be a valid alternative to osteotomy of the base of the first metatarsal, with less morbidity and a gradual and dynamic correction throughout growth.

Abstract Image

Abstract Image

Abstract Image

第一跖骨背侧半腓骨切除术在治疗穴状腓骨脱位症中有用武之地吗?
本研究旨在描述和评估作为截骨替代技术的第一跖骨背侧半骺切除术。对在本中心接受第一跖骨背侧半骺切除术治疗的趾腔隙性跛行(PCV)患者进行回顾性分析。术前和术后比较了Meary角、小趾间距和Moreau Costa Bartani,并监测了宽度和足长之间的比例。2012年5月至2022年5月期间,8名PCV患者(14只脚)接受了第一跖骨背侧半骺成形术和Steindler手术。其中四名患者(50%)为男性。男孩的平均手术年龄为 10.75 岁(10-11 岁),女孩的平均手术年龄为 9.75 岁(8-11 岁)。大多数患者(87.5%)为特发性 PCV,12.5% 为神经性 PCV。中位随访时间为 4.3 年(1.5-10 年),所有患者术后在莫罗-科斯塔-巴塔尼角(112.64° vs. 120.59°;P 值 = 0.003)、小关节间距(26.48° vs. 25.36°;P 值 = 0.091)和梅里角(10.60° vs. 5.36°;P 值 = 0.008)方面均有改善。上翻(0.21 对 0.24;P 值 = 0.039)也有所改善。尽管患者人数有限,但研究结果表明,第一跖骨背侧半截骨术可以有效替代第一跖骨基底截骨术,而且发病率较低,并能在整个生长过程中逐步进行动态矫正。
本文章由计算机程序翻译,如有差异,请以英文原文为准。
求助全文
约1分钟内获得全文 求助全文
来源期刊
CiteScore
2.20
自引率
9.10%
发文量
170
审稿时长
4-8 weeks
期刊介绍: The journal highlights important recent developments from the world''s leading clinical and research institutions. The journal publishes peer-reviewed papers on the diagnosis and treatment of pediatric orthopedic disorders. It is the official journal of IFPOS (International Federation of Paediatric Orthopaedic Societies). Submitted articles undergo a preliminary review by the editor. Some articles may be returned to authors without further consideration. Those being considered for publication will undergo further assessment and peer-review by the editors and those invited to do so from a reviewer pool. ​
×
引用
GB/T 7714-2015
复制
MLA
复制
APA
复制
导出至
BibTeX EndNote RefMan NoteFirst NoteExpress
×
提示
您的信息不完整,为了账户安全,请先补充。
现在去补充
×
提示
您因"违规操作"
具体请查看互助需知
我知道了
×
提示
确定
请完成安全验证×
copy
已复制链接
快去分享给好友吧!
我知道了
右上角分享
点击右上角分享
0
联系我们:info@booksci.cn Book学术提供免费学术资源搜索服务,方便国内外学者检索中英文文献。致力于提供最便捷和优质的服务体验。 Copyright © 2023 布克学术 All rights reserved.
京ICP备2023020795号-1
ghs 京公网安备 11010802042870号
Book学术文献互助
Book学术文献互助群
群 号:604180095
Book学术官方微信