Endovascular solutions for symptomatic free-floating thrombus in thoracic aorta in rheumatoid arthritis patients: Two clinical cases.

IF 0.9 4区 医学 Q4 PERIPHERAL VASCULAR DISEASE
Vascular Pub Date : 2025-10-01 Epub Date: 2024-09-20 DOI:10.1177/17085381241269747
G Mastrangelo, P Di Sebastiano, V Palazzo
{"title":"Endovascular solutions for symptomatic free-floating thrombus in thoracic aorta in rheumatoid arthritis patients: Two clinical cases.","authors":"G Mastrangelo, P Di Sebastiano, V Palazzo","doi":"10.1177/17085381241269747","DOIUrl":null,"url":null,"abstract":"<p><p>ObjectivesWe present two clinical cases of association between symptomatic free-floating thrombus (FFT) in thoracic aorta and rheumatoid arthritis (RA).MethodsIn the first patient, we observed a recent onset of peripheral and visceral signs of embolization: after a first treatment with anticoagulation, our Aortic team scheduled the coverage of FFT (sited in zone 1 of the aortic arch) with an anatomical debranching of anonymous trunk and left carotid artery, a left carotid-subclavian bypass, and a TEVAR of the aortic arch with proximal landing in zone 0 of the arch. The second case was characterized by chest pain, left upper limb ischemia, and CTA evidence of an FFT in zone 3 of the aortic arch; we planned a chimney-TEVAR on the left subclavian artery and descending thoracic aorta (with proximal landing in zone 2 of the aortic arch) to exclude the FFT.ResultsNo complications resulted and no new embolic episodes were registered.ConclusionsEvaluating the aorta is warranted in all patients with peripheral emboli of uncertain pathogenesis. In our opinion, the endovascular treatment of a symptomatic FFT could represent an effective and safe solution in a patient fit for endovascular surgery, but larger studies are required to define a personalized treatment strategy.</p>","PeriodicalId":23549,"journal":{"name":"Vascular","volume":" ","pages":"1085-1088"},"PeriodicalIF":0.9000,"publicationDate":"2025-10-01","publicationTypes":"Journal Article","fieldsOfStudy":null,"isOpenAccess":false,"openAccessPdf":"https://www.ncbi.nlm.nih.gov/pmc/articles/PMC12450240/pdf/","citationCount":"0","resultStr":null,"platform":"Semanticscholar","paperid":null,"PeriodicalName":"Vascular","FirstCategoryId":"3","ListUrlMain":"https://doi.org/10.1177/17085381241269747","RegionNum":4,"RegionCategory":"医学","ArticlePicture":[],"TitleCN":null,"AbstractTextCN":null,"PMCID":null,"EPubDate":"2024/9/20 0:00:00","PubModel":"Epub","JCR":"Q4","JCRName":"PERIPHERAL VASCULAR DISEASE","Score":null,"Total":0}
引用次数: 0

Abstract

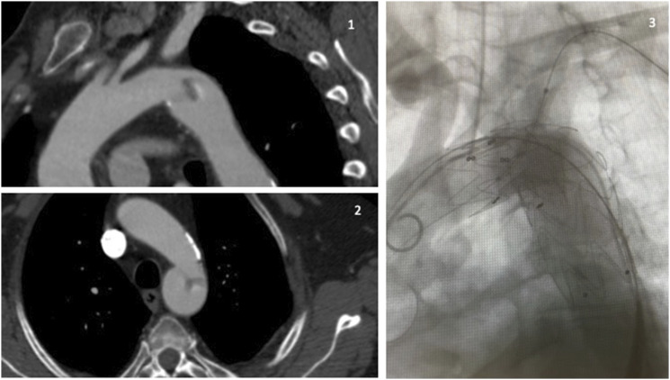
ObjectivesWe present two clinical cases of association between symptomatic free-floating thrombus (FFT) in thoracic aorta and rheumatoid arthritis (RA).MethodsIn the first patient, we observed a recent onset of peripheral and visceral signs of embolization: after a first treatment with anticoagulation, our Aortic team scheduled the coverage of FFT (sited in zone 1 of the aortic arch) with an anatomical debranching of anonymous trunk and left carotid artery, a left carotid-subclavian bypass, and a TEVAR of the aortic arch with proximal landing in zone 0 of the arch. The second case was characterized by chest pain, left upper limb ischemia, and CTA evidence of an FFT in zone 3 of the aortic arch; we planned a chimney-TEVAR on the left subclavian artery and descending thoracic aorta (with proximal landing in zone 2 of the aortic arch) to exclude the FFT.ResultsNo complications resulted and no new embolic episodes were registered.ConclusionsEvaluating the aorta is warranted in all patients with peripheral emboli of uncertain pathogenesis. In our opinion, the endovascular treatment of a symptomatic FFT could represent an effective and safe solution in a patient fit for endovascular surgery, but larger studies are required to define a personalized treatment strategy.

Abstract Image

Abstract Image

类风湿性关节炎患者胸主动脉无症状游离血栓的血管内解决方案:两个临床病例。
目的:介绍两例胸主动脉症状性游离血栓(FFT)与类风湿关节炎(RA)相关的临床病例:我们介绍了两例胸主动脉无症状游离血栓(FFT)与类风湿性关节炎(RA)相关的临床病例:在第一例患者中,我们观察到近期出现的外周和内脏栓塞征象:在首次抗凝治疗后,我们的主动脉团队安排对 FFT(位于主动脉弓 1 区)进行覆盖,同时对无名动脉干和左颈动脉进行解剖学去分支,进行左颈动脉-锁骨下旁路手术,并在主动脉弓 0 区进行近端着床的 TEVAR。第二个病例的特点是胸痛、左上肢缺血,CTA显示主动脉弓3区有FFT;我们计划对左锁骨下动脉和胸主动脉降支(近端着陆于主动脉弓2区)进行烟囱式TEVAR,以排除FFT:无并发症,无新的栓塞发生:结论:对于所有发病机制不明的外周栓塞患者,都有必要对主动脉进行评估。我们认为,对于适合进行血管内手术的患者,对无症状的 FFT 进行血管内治疗是一种有效而安全的解决方案,但需要进行更大规模的研究,以确定个性化的治疗策略。
本文章由计算机程序翻译,如有差异,请以英文原文为准。
求助全文
约1分钟内获得全文 求助全文
来源期刊
Vascular
Vascular 医学-外周血管病
CiteScore
2.30
自引率
9.10%
发文量
196
审稿时长
6-12 weeks
期刊介绍: Vascular provides readers with new and unusual up-to-date articles and case reports focusing on vascular and endovascular topics. It is a highly international forum for the discussion and debate of all aspects of this distinct surgical specialty. It also features opinion pieces, literature reviews and controversial issues presented from various points of view.
×
引用
GB/T 7714-2015
复制
MLA
复制
APA
复制
导出至
BibTeX EndNote RefMan NoteFirst NoteExpress
×
提示
您的信息不完整,为了账户安全,请先补充。
现在去补充
×
提示
您因"违规操作"
具体请查看互助需知
我知道了
×
提示
确定
请完成安全验证×
copy
已复制链接
快去分享给好友吧!
我知道了
右上角分享
点击右上角分享
0
联系我们:info@booksci.cn Book学术提供免费学术资源搜索服务,方便国内外学者检索中英文文献。致力于提供最便捷和优质的服务体验。 Copyright © 2023 布克学术 All rights reserved.
京ICP备2023020795号-1
ghs 京公网安备 11010802042870号
Book学术文献互助
Book学术文献互助群
群 号:604180095
Book学术官方微信