Demographic, Clinical, Radiological, and Surgical Outcome of Patients with Intestinal Tuberculosis: A Single-Center Retrospective Study.

IF 4.5 Q2 MEDICINE, RESEARCH & EXPERIMENTAL
Research and Reports in Tropical Medicine Pub Date : 2024-09-05 eCollection Date: 2024-01-01 DOI:10.2147/RRTM.S465571
Saif Ghabisha, Faisal Ahmed, Abdullatif Mothanna Almohtadi, Khairalah Abdulkarem Alghazali, Mohamed Badheeb, Saleh Al-Wageeh
{"title":"Demographic, Clinical, Radiological, and Surgical Outcome of Patients with Intestinal Tuberculosis: A Single-Center Retrospective Study.","authors":"Saif Ghabisha, Faisal Ahmed, Abdullatif Mothanna Almohtadi, Khairalah Abdulkarem Alghazali, Mohamed Badheeb, Saleh Al-Wageeh","doi":"10.2147/RRTM.S465571","DOIUrl":null,"url":null,"abstract":"<p><strong>Background: </strong>Intestinal tuberculosis (iTB) represents a potentially underrecognized clinical entity with limited clinical and radiological differentiating features. This study aims to assess the patterns of iTB clinical and radiological findings, along with the treatment approaches and the overall outcome.</p><p><strong>Methods: </strong>This retrospective cross-sectional study included patients with histopathologically confirmed iTB who presented with acute abdomen and were surgically managed between September 2005 and October 2023. Clinical and sociodemographic variables, imaging features, surgical treatments, and overall outcomes were retrospectively analyzed.</p><p><strong>Results: </strong>96 patients with iTB were included, with a mean age of 36.1 ± 11.5 years and a relatively proportionate gender distribution. Abdominal pain was the most common presenting symptom (45.8%). The radiological features varied by the modality. Plain imaging showed non-specific findings, while ultrasonography showed loculated ascites (25%), and lymphadenopathy (22%). In computed tomography scans, multi-segmental symmetric intestinal thickening (53.1%) was the most prevalent finding. The most commonly performed surgical procedure was adhesiolysis (29.2%), with the ileocecal junction being the most commonly involved structure (39.6%). Histopathological examination of all the tissue biopsies revealed epithelioid granulomas. Postoperative complications occurred in 19 patients (19.8%), with surgical site infection being the most common complication (10.4%).</p><p><strong>Conclusion: </strong>Intestinal obstruction is an underrecognized manifestation of tuberculosis, particularly in endemic regions. The non-specific clinical presentation, coupled with the limited utility of laboratory and radiological tests, often leads to delayed recognition and treatment. Maintaining a high index of suspicion is essential, especially in younger patients, inhabitants of endemic areas, or those with laboratory findings indicative of chronic inflammation. Prompt recognition is crucial to ensure the timely initiation of anti-tuberculosis therapy and to optimize patient outcomes through appropriate follow-up.</p>","PeriodicalId":21138,"journal":{"name":"Research and Reports in Tropical Medicine","volume":"15 ","pages":"79-90"},"PeriodicalIF":4.5000,"publicationDate":"2024-09-05","publicationTypes":"Journal Article","fieldsOfStudy":null,"isOpenAccess":false,"openAccessPdf":"https://www.ncbi.nlm.nih.gov/pmc/articles/PMC11382657/pdf/","citationCount":"0","resultStr":null,"platform":"Semanticscholar","paperid":null,"PeriodicalName":"Research and Reports in Tropical Medicine","FirstCategoryId":"1085","ListUrlMain":"https://doi.org/10.2147/RRTM.S465571","RegionNum":0,"RegionCategory":null,"ArticlePicture":[],"TitleCN":null,"AbstractTextCN":null,"PMCID":null,"EPubDate":"2024/1/1 0:00:00","PubModel":"eCollection","JCR":"Q2","JCRName":"MEDICINE, RESEARCH & EXPERIMENTAL","Score":null,"Total":0}
引用次数: 0

Abstract

Background: Intestinal tuberculosis (iTB) represents a potentially underrecognized clinical entity with limited clinical and radiological differentiating features. This study aims to assess the patterns of iTB clinical and radiological findings, along with the treatment approaches and the overall outcome.

Methods: This retrospective cross-sectional study included patients with histopathologically confirmed iTB who presented with acute abdomen and were surgically managed between September 2005 and October 2023. Clinical and sociodemographic variables, imaging features, surgical treatments, and overall outcomes were retrospectively analyzed.

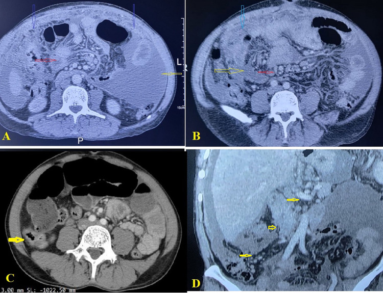
Results: 96 patients with iTB were included, with a mean age of 36.1 ± 11.5 years and a relatively proportionate gender distribution. Abdominal pain was the most common presenting symptom (45.8%). The radiological features varied by the modality. Plain imaging showed non-specific findings, while ultrasonography showed loculated ascites (25%), and lymphadenopathy (22%). In computed tomography scans, multi-segmental symmetric intestinal thickening (53.1%) was the most prevalent finding. The most commonly performed surgical procedure was adhesiolysis (29.2%), with the ileocecal junction being the most commonly involved structure (39.6%). Histopathological examination of all the tissue biopsies revealed epithelioid granulomas. Postoperative complications occurred in 19 patients (19.8%), with surgical site infection being the most common complication (10.4%).

Conclusion: Intestinal obstruction is an underrecognized manifestation of tuberculosis, particularly in endemic regions. The non-specific clinical presentation, coupled with the limited utility of laboratory and radiological tests, often leads to delayed recognition and treatment. Maintaining a high index of suspicion is essential, especially in younger patients, inhabitants of endemic areas, or those with laboratory findings indicative of chronic inflammation. Prompt recognition is crucial to ensure the timely initiation of anti-tuberculosis therapy and to optimize patient outcomes through appropriate follow-up.

Abstract Image

Abstract Image

肠结核患者的人口统计学、临床、放射学和手术结果:单中心回顾性研究
背景:肠结核(iTB)是一种可能未得到充分认识的临床实体,其临床和放射学鉴别特征有限。本研究旨在评估 iTB 临床和放射学发现的模式、治疗方法和总体疗效:这项回顾性横断面研究纳入了 2005 年 9 月至 2023 年 10 月间因急腹症就诊并接受手术治疗的经组织病理学证实的 iTB 患者。对临床和社会人口学变量、影像学特征、手术治疗和总体结果进行了回顾性分析:共纳入 96 名 iTB 患者,平均年龄(36.1 ± 11.5)岁,性别分布相对均衡。腹痛是最常见的症状(45.8%)。放射学特征因检查方式而异。平片显示无特异性结果,而超声波检查显示有定位腹水(25%)和淋巴结病(22%)。在计算机断层扫描中,多节对称性肠道增厚(53.1%)是最常见的发现。最常见的手术方法是粘连溶解(29.2%),回盲部交界处是最常受累的结构(39.6%)。所有组织活检的组织病理学检查结果均显示为上皮样肉芽肿。19名患者(19.8%)出现了术后并发症,其中手术部位感染是最常见的并发症(10.4%):结论:肠梗阻是结核病的一种未得到充分认识的表现,尤其是在结核病流行地区。非特异性的临床表现,再加上实验室和放射学检查的作用有限,往往导致识别和治疗的延误。保持高度怀疑至关重要,尤其是对于年轻患者、结核病流行地区的居民或实验室检查结果显示有慢性炎症的患者。及时识别对于确保及时开始抗结核治疗和通过适当的随访优化患者预后至关重要。
本文章由计算机程序翻译,如有差异,请以英文原文为准。
求助全文
约1分钟内获得全文 求助全文
来源期刊
Research and Reports in Tropical Medicine
Research and Reports in Tropical Medicine MEDICINE, RESEARCH & EXPERIMENTAL-
自引率
0.00%
发文量
7
审稿时长
16 weeks
×
引用
GB/T 7714-2015
复制
MLA
复制
APA
复制
导出至
BibTeX EndNote RefMan NoteFirst NoteExpress
×
提示
您的信息不完整,为了账户安全,请先补充。
现在去补充
×
提示
您因"违规操作"
具体请查看互助需知
我知道了
×
提示
确定
请完成安全验证×
copy
已复制链接
快去分享给好友吧!
我知道了
右上角分享
点击右上角分享
0
联系我们:info@booksci.cn Book学术提供免费学术资源搜索服务,方便国内外学者检索中英文文献。致力于提供最便捷和优质的服务体验。 Copyright © 2023 布克学术 All rights reserved.
京ICP备2023020795号-1
ghs 京公网安备 11010802042870号
Book学术文献互助
Book学术文献互助群
群 号:604180095
Book学术官方微信