ANCA-Negative Pauci-Immune Glomerulonephritis Associated with Bartonella Endocarditis.

Case Reports in Nephrology Pub Date : 2024-09-06 eCollection Date: 2024-01-01 DOI:10.1155/2024/4181660
Camille Ng, Angela Penney, Rojin Sharaflari, Akash Pathak, John H Howard Iii, Kuang-Yu Jen
{"title":"ANCA-Negative Pauci-Immune Glomerulonephritis Associated with Bartonella Endocarditis.","authors":"Camille Ng, Angela Penney, Rojin Sharaflari, Akash Pathak, John H Howard Iii, Kuang-Yu Jen","doi":"10.1155/2024/4181660","DOIUrl":null,"url":null,"abstract":"<p><p>Kidney complications can occur due to infective endocarditis, one of which is glomerulonephritis. Most often, an immune complex or complement-mediated glomerulonephritis is seen on kidney biopsy. In a minor subset of cases, pauci-immune glomerulonephritis may be present. Most often, such patients will demonstrate the presence of antineutrophil cytoplasmic antibodies (ANCA) on serologic testing. A growing number of cases of ANCA-associated glomerulonephritis due to Bartonella endocarditis have been reported. This type of endocarditis can present diagnostic difficulties given that these patients are often culture negative. Herein, we report a challenging case of ANCA-negative pauci-immune glomerulonephritis showing florid crescents on biopsy that was associated with Bartonella endocarditis.</p>","PeriodicalId":9604,"journal":{"name":"Case Reports in Nephrology","volume":"2024 ","pages":"4181660"},"PeriodicalIF":0.0000,"publicationDate":"2024-09-06","publicationTypes":"Journal Article","fieldsOfStudy":null,"isOpenAccess":false,"openAccessPdf":"https://www.ncbi.nlm.nih.gov/pmc/articles/PMC11398960/pdf/","citationCount":"0","resultStr":null,"platform":"Semanticscholar","paperid":null,"PeriodicalName":"Case Reports in Nephrology","FirstCategoryId":"1085","ListUrlMain":"https://doi.org/10.1155/2024/4181660","RegionNum":0,"RegionCategory":null,"ArticlePicture":[],"TitleCN":null,"AbstractTextCN":null,"PMCID":null,"EPubDate":"2024/1/1 0:00:00","PubModel":"eCollection","JCR":"","JCRName":"","Score":null,"Total":0}
引用次数: 0

Abstract

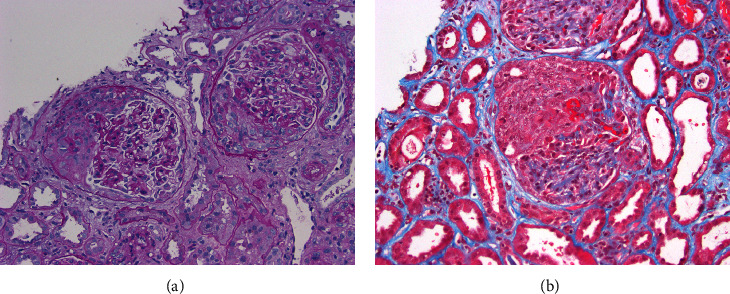
Kidney complications can occur due to infective endocarditis, one of which is glomerulonephritis. Most often, an immune complex or complement-mediated glomerulonephritis is seen on kidney biopsy. In a minor subset of cases, pauci-immune glomerulonephritis may be present. Most often, such patients will demonstrate the presence of antineutrophil cytoplasmic antibodies (ANCA) on serologic testing. A growing number of cases of ANCA-associated glomerulonephritis due to Bartonella endocarditis have been reported. This type of endocarditis can present diagnostic difficulties given that these patients are often culture negative. Herein, we report a challenging case of ANCA-negative pauci-immune glomerulonephritis showing florid crescents on biopsy that was associated with Bartonella endocarditis.

Abstract Image

Abstract Image

与巴顿氏菌心内膜炎相关的 ANCA 阴性贫免疫性肾小球肾炎
感染性心内膜炎可引起肾脏并发症,其中之一就是肾小球肾炎。肾活检通常会发现免疫复合物或补体介导的肾小球肾炎。在一小部分病例中,可能会出现弱免疫性肾小球肾炎。大多数情况下,这类患者会在血清学检测中发现抗中性粒细胞胞浆抗体(ANCA)。越来越多关于巴顿氏菌心内膜炎导致 ANCA 相关性肾小球肾炎病例的报道。这种类型的心内膜炎会给诊断带来困难,因为这些患者通常培养阴性。在此,我们报告了一例ANCA阴性的贫免疫性肾小球肾炎病例,该病例的活检结果显示与巴顿氏菌心内膜炎相关的花斑新月体。
本文章由计算机程序翻译,如有差异,请以英文原文为准。
求助全文
约1分钟内获得全文 求助全文
来源期刊
Case Reports in Nephrology
Case Reports in Nephrology Medicine-Nephrology
CiteScore
1.70
自引率
0.00%
发文量
32
×
引用
GB/T 7714-2015
复制
MLA
复制
APA
复制
导出至
BibTeX EndNote RefMan NoteFirst NoteExpress
×
提示
您的信息不完整,为了账户安全,请先补充。
现在去补充
×
提示
您因"违规操作"
具体请查看互助需知
我知道了
×
提示
确定
请完成安全验证×
copy
已复制链接
快去分享给好友吧!
我知道了
右上角分享
点击右上角分享
0
联系我们:info@booksci.cn Book学术提供免费学术资源搜索服务,方便国内外学者检索中英文文献。致力于提供最便捷和优质的服务体验。 Copyright © 2023 布克学术 All rights reserved.
京ICP备2023020795号-1
ghs 京公网安备 11010802042870号
Book学术文献互助
Book学术文献互助群
群 号:604180095
Book学术官方微信