A Case Report of Thoracic Ectopia Cordis in a Hospital in Zanjan, Iran.

IF 0.5 Q4 PEDIATRICS
Case Reports in Pediatrics Pub Date : 2024-09-10 eCollection Date: 2024-01-01 DOI:10.1155/2024/3912085
Mehdi Hosseini, Hassan Zamani, Shadi Moghimi, Aref Nekoufar
{"title":"A Case Report of Thoracic Ectopia Cordis in a Hospital in Zanjan, Iran.","authors":"Mehdi Hosseini, Hassan Zamani, Shadi Moghimi, Aref Nekoufar","doi":"10.1155/2024/3912085","DOIUrl":null,"url":null,"abstract":"<p><strong>Methods: </strong>A 17-week-old female neonate with a history of prenatal diagnosis of congenital heart anomaly was admitted to Ayatollah Mousavi Hospital in Zanjan, Iran. For the diagnosis of thoracic ectopia, cordis fetal echocardiography and ultrasonography were performed. Moreover, the noninvasive prenatal testing (NIPT) genetic test performed in the 10th week of pregnancy was evaluated.</p><p><strong>Results: </strong>The neonate was diagnosed with thoracic ectopia cordis, with the heart located outside the thoracic cavity and covered by a thin membrane. The Z scores of the analyzed maternal venous blood chromosomes were between +6 and -6, and all chromosomes had a low risk in terms of the risk of birth defects. The results of this study revealed that genetic test analysis is not enough to diagnose and predict congenital anomalies and defects. Furthermore, the findings showed that the fetus's mother continued to take folic acid after the first 3 months of pregnancy. This can be one of the risk factors involved in causing this heart defect.</p><p><strong>Conclusion: </strong>One of the important results of this study was that the diagnostic findings of ultrasound were normal, but the findings of echocardiography were reported as abnormal. This shows that fetal echocardiography is better than ultrasound imaging in diagnosing ectopia cordis. In addition, it is recommended that pregnant women should avoid taking folic acid after the first trimester of pregnancy.</p>","PeriodicalId":9623,"journal":{"name":"Case Reports in Pediatrics","volume":"2024 ","pages":"3912085"},"PeriodicalIF":0.5000,"publicationDate":"2024-09-10","publicationTypes":"Journal Article","fieldsOfStudy":null,"isOpenAccess":false,"openAccessPdf":"https://www.ncbi.nlm.nih.gov/pmc/articles/PMC11407891/pdf/","citationCount":"0","resultStr":null,"platform":"Semanticscholar","paperid":null,"PeriodicalName":"Case Reports in Pediatrics","FirstCategoryId":"1085","ListUrlMain":"https://doi.org/10.1155/2024/3912085","RegionNum":0,"RegionCategory":null,"ArticlePicture":[],"TitleCN":null,"AbstractTextCN":null,"PMCID":null,"EPubDate":"2024/1/1 0:00:00","PubModel":"eCollection","JCR":"Q4","JCRName":"PEDIATRICS","Score":null,"Total":0}
引用次数: 0

Abstract

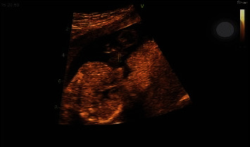
Methods: A 17-week-old female neonate with a history of prenatal diagnosis of congenital heart anomaly was admitted to Ayatollah Mousavi Hospital in Zanjan, Iran. For the diagnosis of thoracic ectopia, cordis fetal echocardiography and ultrasonography were performed. Moreover, the noninvasive prenatal testing (NIPT) genetic test performed in the 10th week of pregnancy was evaluated.

Results: The neonate was diagnosed with thoracic ectopia cordis, with the heart located outside the thoracic cavity and covered by a thin membrane. The Z scores of the analyzed maternal venous blood chromosomes were between +6 and -6, and all chromosomes had a low risk in terms of the risk of birth defects. The results of this study revealed that genetic test analysis is not enough to diagnose and predict congenital anomalies and defects. Furthermore, the findings showed that the fetus's mother continued to take folic acid after the first 3 months of pregnancy. This can be one of the risk factors involved in causing this heart defect.

Conclusion: One of the important results of this study was that the diagnostic findings of ultrasound were normal, but the findings of echocardiography were reported as abnormal. This shows that fetal echocardiography is better than ultrasound imaging in diagnosing ectopia cordis. In addition, it is recommended that pregnant women should avoid taking folic acid after the first trimester of pregnancy.

Abstract Image

Abstract Image

伊朗赞詹市一家医院的胸廓脐带外翻病例报告。
手术方法伊朗赞詹市 Ayatollah Mousavi 医院收治了一名 17 周大的新生女婴,产前诊断为先天性心脏畸形。为诊断胸廓异位,进行了脐带胎儿超声心动图和超声波检查。此外,还对怀孕第 10 周时进行的无创产前检测(NIPT)基因检测进行了评估:结果:新生儿被诊断为胸廓脐带异位,心脏位于胸腔外,被一层薄薄的膜覆盖。所分析的母体静脉血染色体的 Z 评分在 +6 和 -6 之间,所有染色体发生出生缺陷的风险都很低。这项研究结果表明,基因检测分析不足以诊断和预测先天性畸形和缺陷。此外,研究结果表明,胎儿的母亲在怀孕头 3 个月后继续服用叶酸。这可能是导致这种心脏缺陷的风险因素之一:本研究的重要结果之一是超声诊断结果正常,但超声心动图检查结果却异常。这表明胎儿超声心动图在诊断脐带外翻方面优于超声成像。此外,建议孕妇在怀孕头三个月后应避免服用叶酸。
本文章由计算机程序翻译,如有差异,请以英文原文为准。
求助全文
约1分钟内获得全文 求助全文
来源期刊
自引率
11.10%
发文量
48
审稿时长
13 weeks
×
引用
GB/T 7714-2015
复制
MLA
复制
APA
复制
导出至
BibTeX EndNote RefMan NoteFirst NoteExpress
×
提示
您的信息不完整,为了账户安全,请先补充。
现在去补充
×
提示
您因"违规操作"
具体请查看互助需知
我知道了
×
提示
确定
请完成安全验证×
copy
已复制链接
快去分享给好友吧!
我知道了
右上角分享
点击右上角分享
0
联系我们:info@booksci.cn Book学术提供免费学术资源搜索服务,方便国内外学者检索中英文文献。致力于提供最便捷和优质的服务体验。 Copyright © 2023 布克学术 All rights reserved.
京ICP备2023020795号-1
ghs 京公网安备 11010802042870号
Book学术文献互助
Book学术文献互助群
群 号:604180095
Book学术官方微信