Primary Breast Lymphoma: A Case Report of a Common Tumor in an Uncommon Location.

IF 1.9 Q3 PATHOLOGY
Clinical Pathology Pub Date : 2024-09-06 eCollection Date: 2024-01-01 DOI:10.1177/2632010X241276947
Alex Mremi, Hilary Chipongo, Ellyagape Urassa, Elifuraha Mkwizu, Jay Lodhia
{"title":"Primary Breast Lymphoma: A Case Report of a Common Tumor in an Uncommon Location.","authors":"Alex Mremi, Hilary Chipongo, Ellyagape Urassa, Elifuraha Mkwizu, Jay Lodhia","doi":"10.1177/2632010X241276947","DOIUrl":null,"url":null,"abstract":"<p><p>Primary breast lymphoma (PBL) is a rare malignant lymphoid neoplasm limited to the breast, accounting for about 0.15% of all malignant breast tumors and 1.7% to 2.2% of extra-nodal lymphomas. PBL must be distinguished from conventional breast carcinomas due to different therapeutic approaches. A 25-year-old female presented with a left breast mass. Histopathology and immunohistochemical tests confirmed the diagnosis of diffuse large B-cell lymphoma (DLBCL). She had no similar lesions elsewhere in the body. She received 1 cycle of R-CHOP chemotherapy but absconded from the treatment and succumbed afterward while at home. Recent developments in DLBCL treatment have greatly improved patient outcomes by incorporating targeted medicines like rituximab, increased chemotherapy regimens, new drugs, and individualized treatment techniques. PBL appears to have a worse prognosis; thus, delay or abscondment from treatment is of serious concern when it comes to improving the prognosis of patients with PBL.</p>","PeriodicalId":53204,"journal":{"name":"Clinical Pathology","volume":"17 ","pages":"2632010X241276947"},"PeriodicalIF":1.9000,"publicationDate":"2024-09-06","publicationTypes":"Journal Article","fieldsOfStudy":null,"isOpenAccess":false,"openAccessPdf":"https://www.ncbi.nlm.nih.gov/pmc/articles/PMC11380124/pdf/","citationCount":"0","resultStr":null,"platform":"Semanticscholar","paperid":null,"PeriodicalName":"Clinical Pathology","FirstCategoryId":"1085","ListUrlMain":"https://doi.org/10.1177/2632010X241276947","RegionNum":0,"RegionCategory":null,"ArticlePicture":[],"TitleCN":null,"AbstractTextCN":null,"PMCID":null,"EPubDate":"2024/1/1 0:00:00","PubModel":"eCollection","JCR":"Q3","JCRName":"PATHOLOGY","Score":null,"Total":0}
引用次数: 0

Abstract

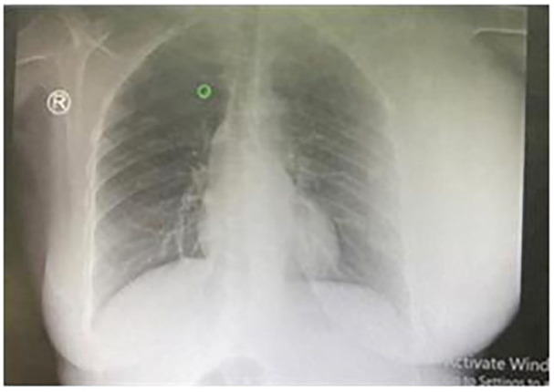
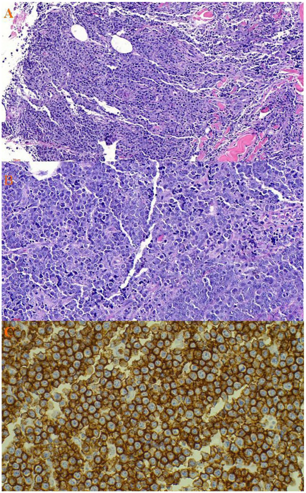
Primary breast lymphoma (PBL) is a rare malignant lymphoid neoplasm limited to the breast, accounting for about 0.15% of all malignant breast tumors and 1.7% to 2.2% of extra-nodal lymphomas. PBL must be distinguished from conventional breast carcinomas due to different therapeutic approaches. A 25-year-old female presented with a left breast mass. Histopathology and immunohistochemical tests confirmed the diagnosis of diffuse large B-cell lymphoma (DLBCL). She had no similar lesions elsewhere in the body. She received 1 cycle of R-CHOP chemotherapy but absconded from the treatment and succumbed afterward while at home. Recent developments in DLBCL treatment have greatly improved patient outcomes by incorporating targeted medicines like rituximab, increased chemotherapy regimens, new drugs, and individualized treatment techniques. PBL appears to have a worse prognosis; thus, delay or abscondment from treatment is of serious concern when it comes to improving the prognosis of patients with PBL.

Abstract Image

Abstract Image

Abstract Image

原发性乳腺淋巴瘤:不常见部位常见肿瘤的病例报告。
原发性乳腺淋巴瘤(PBL)是一种罕见的局限于乳腺的恶性淋巴肿瘤,约占所有乳腺恶性肿瘤的0.15%,占结外淋巴瘤的1.7%至2.2%。由于治疗方法不同,PBL 必须与传统的乳腺癌区分开来。一名 25 岁女性因左侧乳房肿块就诊。组织病理学和免疫组化检查确诊为弥漫大B细胞淋巴瘤(DLBCL)。她身体其他部位没有类似病变。她接受了一个周期的 R-CHOP 化疗,但在治疗过程中潜逃,之后在家中去世。通过采用利妥昔单抗等靶向药物、增加化疗方案、新药和个体化治疗技术,DLBCL 治疗的最新进展大大改善了患者的预后。PBL 的预后似乎更差;因此,在改善 PBL 患者的预后方面,延误治疗或放弃治疗令人严重关切。
本文章由计算机程序翻译,如有差异,请以英文原文为准。
求助全文
约1分钟内获得全文 求助全文
来源期刊
Clinical Pathology
Clinical Pathology PATHOLOGY-
CiteScore
2.20
自引率
7.70%
发文量
66
×
引用
GB/T 7714-2015
复制
MLA
复制
APA
复制
导出至
BibTeX EndNote RefMan NoteFirst NoteExpress
×
提示
您的信息不完整,为了账户安全,请先补充。
现在去补充
×
提示
您因"违规操作"
具体请查看互助需知
我知道了
×
提示
确定
请完成安全验证×
copy
已复制链接
快去分享给好友吧!
我知道了
右上角分享
点击右上角分享
0
联系我们:info@booksci.cn Book学术提供免费学术资源搜索服务,方便国内外学者检索中英文文献。致力于提供最便捷和优质的服务体验。 Copyright © 2023 布克学术 All rights reserved.
京ICP备2023020795号-1
ghs 京公网安备 11010802042870号
Book学术文献互助
Book学术文献互助群
群 号:604180095
Book学术官方微信