A Case of Cotyledonoid-Dissecting Leiomyoma - The Utility of Laparoscopic Biopsy and Gonadotropin-Releasing Hormone Analogs.

IF 1.9 Q3 PATHOLOGY
Clinical Pathology Pub Date : 2024-09-06 eCollection Date: 2024-01-01 DOI:10.1177/2632010X241281240
Sayaka Kawashita, Akiko Nonoshita, Keisuke Iwasaki, Daisuke Nakayama
{"title":"A Case of Cotyledonoid-Dissecting Leiomyoma - The Utility of Laparoscopic Biopsy and Gonadotropin-Releasing Hormone Analogs.","authors":"Sayaka Kawashita, Akiko Nonoshita, Keisuke Iwasaki, Daisuke Nakayama","doi":"10.1177/2632010X241281240","DOIUrl":null,"url":null,"abstract":"<p><p>Cotyledonoid-dissecting leiomyoma, a very unusual form of uterine leiomyoma, often leads to misdiagnosis as a malignant tumor. Here, we describe a case of a 45-year-old nulliparous woman who underwent a laparoscopic biopsy of a large pelvic mass consisting of multiple flaps. Histologically, the mass was composed of smooth muscle fascicle nodules separated by hydropic connective tissue, and exhibited extensive stromal hyalinization. The tumor was diagnosed as a cotyledonoid-dissecting leiomyoma based on the laparoscopic, pathological, and image findings. Prior to performing radical laparotomy, two courses of leuprorelin were administered in anticipation of tumor reduction and hypoperfusion, and the tumor size reduced remarkably. We demonstrated the utility of laparoscopic biopsy, considering its minimal invasiveness and diagnostic accuracy. Furthermore, the preoperative use of Gonadotropin-releasing hormone (GnRH) analogs to reduce surgical stress may be useful for treating cotyledonoid-dissecting leiomyomas.</p>","PeriodicalId":53204,"journal":{"name":"Clinical Pathology","volume":"17 ","pages":"2632010X241281240"},"PeriodicalIF":1.9000,"publicationDate":"2024-09-06","publicationTypes":"Journal Article","fieldsOfStudy":null,"isOpenAccess":false,"openAccessPdf":"https://www.ncbi.nlm.nih.gov/pmc/articles/PMC11380131/pdf/","citationCount":"0","resultStr":null,"platform":"Semanticscholar","paperid":null,"PeriodicalName":"Clinical Pathology","FirstCategoryId":"1085","ListUrlMain":"https://doi.org/10.1177/2632010X241281240","RegionNum":0,"RegionCategory":null,"ArticlePicture":[],"TitleCN":null,"AbstractTextCN":null,"PMCID":null,"EPubDate":"2024/1/1 0:00:00","PubModel":"eCollection","JCR":"Q3","JCRName":"PATHOLOGY","Score":null,"Total":0}
引用次数: 0

Abstract

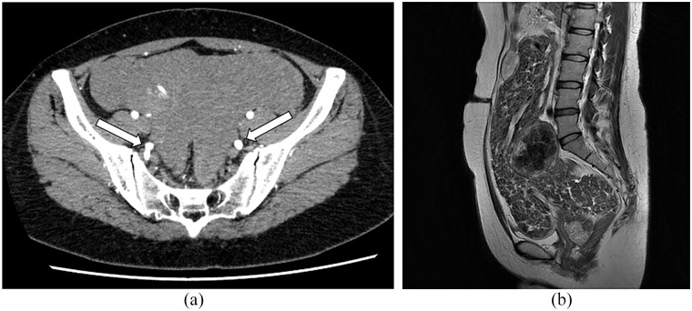
Cotyledonoid-dissecting leiomyoma, a very unusual form of uterine leiomyoma, often leads to misdiagnosis as a malignant tumor. Here, we describe a case of a 45-year-old nulliparous woman who underwent a laparoscopic biopsy of a large pelvic mass consisting of multiple flaps. Histologically, the mass was composed of smooth muscle fascicle nodules separated by hydropic connective tissue, and exhibited extensive stromal hyalinization. The tumor was diagnosed as a cotyledonoid-dissecting leiomyoma based on the laparoscopic, pathological, and image findings. Prior to performing radical laparotomy, two courses of leuprorelin were administered in anticipation of tumor reduction and hypoperfusion, and the tumor size reduced remarkably. We demonstrated the utility of laparoscopic biopsy, considering its minimal invasiveness and diagnostic accuracy. Furthermore, the preoperative use of Gonadotropin-releasing hormone (GnRH) analogs to reduce surgical stress may be useful for treating cotyledonoid-dissecting leiomyomas.

Abstract Image

Abstract Image

Abstract Image

一例子叶样剥脱性子宫肌瘤--腹腔镜活检和促性腺激素释放激素类似物的效用
子叶样剥脱性子宫肌瘤是一种非常罕见的子宫肌瘤,常常被误诊为恶性肿瘤。在此,我们描述了一例 45 岁的无子宫妇女的病例,她在腹腔镜下对一个由多个皮瓣组成的巨大盆腔肿块进行了活组织检查。从组织学角度看,肿块由平滑肌束结节组成,被水合结缔组织分隔,并表现出广泛的基质透明化。根据腹腔镜、病理和影像学检查结果,该肿瘤被诊断为子叶样分离性子宫肌瘤。在进行根治性开腹手术之前,患者接受了两个疗程的利普瑞林治疗,以期待肿瘤缩小和灌注减少,结果肿瘤明显缩小。考虑到腹腔镜活检的微创性和诊断准确性,我们证明了腹腔镜活检的实用性。此外,术前使用促性腺激素释放激素(GnRH)类似物来减轻手术应激可能对治疗子叶样分离性子宫肌瘤有用。
本文章由计算机程序翻译,如有差异,请以英文原文为准。
求助全文
约1分钟内获得全文 求助全文
来源期刊
Clinical Pathology
Clinical Pathology PATHOLOGY-
CiteScore
2.20
自引率
7.70%
发文量
66
×
引用
GB/T 7714-2015
复制
MLA
复制
APA
复制
导出至
BibTeX EndNote RefMan NoteFirst NoteExpress
×
提示
您的信息不完整,为了账户安全,请先补充。
现在去补充
×
提示
您因"违规操作"
具体请查看互助需知
我知道了
×
提示
确定
请完成安全验证×
copy
已复制链接
快去分享给好友吧!
我知道了
右上角分享
点击右上角分享
0
联系我们:info@booksci.cn Book学术提供免费学术资源搜索服务,方便国内外学者检索中英文文献。致力于提供最便捷和优质的服务体验。 Copyright © 2023 布克学术 All rights reserved.
京ICP备2023020795号-1
ghs 京公网安备 11010802042870号
Book学术文献互助
Book学术文献互助群
群 号:604180095
Book学术官方微信