A Case of Autoimmune Myelofibrosis Associated With Autoimmune Hepatitis.

IF 1.3 Q4 HEMATOLOGY
Journal of hematology Pub Date : 2024-08-01 Epub Date: 2024-07-30 DOI:10.14740/jh1297
Hailey Tyndall, Lawrence Worobetz, Matthew Nicholson
{"title":"A Case of Autoimmune Myelofibrosis Associated With Autoimmune Hepatitis.","authors":"Hailey Tyndall, Lawrence Worobetz, Matthew Nicholson","doi":"10.14740/jh1297","DOIUrl":null,"url":null,"abstract":"<p><p>Autoimmune myelofibrosis (AIMF) is a distinct, underrecognized, and rare cause of bone marrow fibrosis. It carries a favorable outcome and responds well to immunosuppression. Systemic lupus erythematosus is the most common association with AIMF, but there are other cases of associated autoimmune disorders defined in the literature. A 44-year-old female presented to hospital with a 1-month history of fatigue, malaise, and jaundice. She was found to be pancytopenic with elevated liver enzymes. Tests for Janus kinase 2, myeloproliferative leukemia, and calreticulin mutations were negative. Extensive investigations for hemolytic anemia including direct antiglobulin test, flow cytometry for paroxysmal nocturnal hemoglobinuria, testing for hereditary hemoglobinopathies, and hereditary red cell membrane disorders were non-contributory. Antinuclear antibody was positive at > 1,280, immunoglobulin G was 17.04 g/L, and anti-smooth muscle antibody (ASMA) was positive at 1:40. Characteristic features of AIMF on bone marrow biopsy led to the diagnosis of AIMF. The patient was started on prednisone 1 mg/kg with prolonged taper. Fibroscan and liver biopsy were consistent with cirrhosis and workups for other causes of liver dysfunction were unremarkable. She met criteria for diagnosis of autoimmune hepatitis (AIH). The pancytopenia and liver enzymes improved with prednisone. After 1 year of clinical stability, the patient had relapse of disease with pancytopenia, elevated liver enzymes, and similar fibrosis on repeat bone marrow biopsy. Prednisone was reinitiated at 1 mg/kg, and she was started on mycophenolate mofetil (MMF). Prednisone was tapered, and she continues to have an excellent response on MMF alone. We report a case of AIMF associated with AIH, complicated by non-immune hemolysis. AIMF is rare, and its association with AIH is described in only four other cases in the English-language literature. Overlapping biochemical features of AIH and non-immune hemolysis, which has not been well described in AIMF, lead to significant diagnostic complexity and delay. Despite this, a rapid response to corticosteroids was observed including reversal of profound transfusion dependence, normalization of hemoglobin, and reversal of biochemical evidence of hepatic inflammation. A shared pathogenesis of autoimmune fibrosis in both the bone marrow and liver is speculative but suggested by the temporal association in this case.</p>","PeriodicalId":15964,"journal":{"name":"Journal of hematology","volume":"13 4","pages":"158-163"},"PeriodicalIF":1.3000,"publicationDate":"2024-08-01","publicationTypes":"Journal Article","fieldsOfStudy":null,"isOpenAccess":false,"openAccessPdf":"https://www.ncbi.nlm.nih.gov/pmc/articles/PMC11379051/pdf/","citationCount":"0","resultStr":null,"platform":"Semanticscholar","paperid":null,"PeriodicalName":"Journal of hematology","FirstCategoryId":"1085","ListUrlMain":"https://doi.org/10.14740/jh1297","RegionNum":0,"RegionCategory":null,"ArticlePicture":[],"TitleCN":null,"AbstractTextCN":null,"PMCID":null,"EPubDate":"2024/7/30 0:00:00","PubModel":"Epub","JCR":"Q4","JCRName":"HEMATOLOGY","Score":null,"Total":0}
引用次数: 0

Abstract

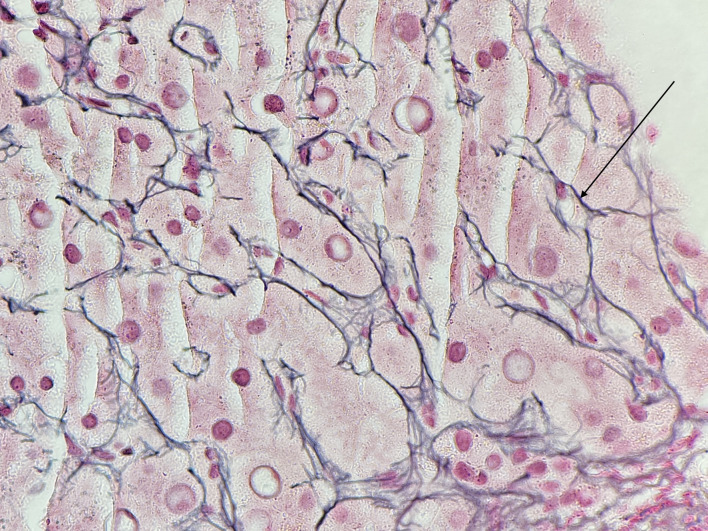
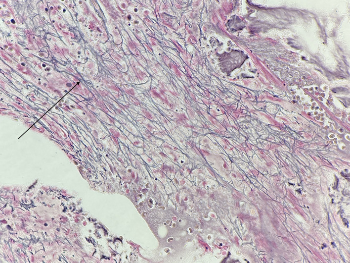
Autoimmune myelofibrosis (AIMF) is a distinct, underrecognized, and rare cause of bone marrow fibrosis. It carries a favorable outcome and responds well to immunosuppression. Systemic lupus erythematosus is the most common association with AIMF, but there are other cases of associated autoimmune disorders defined in the literature. A 44-year-old female presented to hospital with a 1-month history of fatigue, malaise, and jaundice. She was found to be pancytopenic with elevated liver enzymes. Tests for Janus kinase 2, myeloproliferative leukemia, and calreticulin mutations were negative. Extensive investigations for hemolytic anemia including direct antiglobulin test, flow cytometry for paroxysmal nocturnal hemoglobinuria, testing for hereditary hemoglobinopathies, and hereditary red cell membrane disorders were non-contributory. Antinuclear antibody was positive at > 1,280, immunoglobulin G was 17.04 g/L, and anti-smooth muscle antibody (ASMA) was positive at 1:40. Characteristic features of AIMF on bone marrow biopsy led to the diagnosis of AIMF. The patient was started on prednisone 1 mg/kg with prolonged taper. Fibroscan and liver biopsy were consistent with cirrhosis and workups for other causes of liver dysfunction were unremarkable. She met criteria for diagnosis of autoimmune hepatitis (AIH). The pancytopenia and liver enzymes improved with prednisone. After 1 year of clinical stability, the patient had relapse of disease with pancytopenia, elevated liver enzymes, and similar fibrosis on repeat bone marrow biopsy. Prednisone was reinitiated at 1 mg/kg, and she was started on mycophenolate mofetil (MMF). Prednisone was tapered, and she continues to have an excellent response on MMF alone. We report a case of AIMF associated with AIH, complicated by non-immune hemolysis. AIMF is rare, and its association with AIH is described in only four other cases in the English-language literature. Overlapping biochemical features of AIH and non-immune hemolysis, which has not been well described in AIMF, lead to significant diagnostic complexity and delay. Despite this, a rapid response to corticosteroids was observed including reversal of profound transfusion dependence, normalization of hemoglobin, and reversal of biochemical evidence of hepatic inflammation. A shared pathogenesis of autoimmune fibrosis in both the bone marrow and liver is speculative but suggested by the temporal association in this case.

Abstract Image

Abstract Image

Abstract Image

一例伴有自身免疫性肝炎的自身免疫性骨髓纤维化病例
自身免疫性骨髓纤维化(AIMF)是导致骨髓纤维化的一种独特、认识不足且罕见的病因。它的预后良好,对免疫抑制反应良好。系统性红斑狼疮是与骨髓纤维化相关的最常见疾病,但文献中也有其他与自身免疫性疾病相关的病例。一名 44 岁女性因疲劳、乏力和黄疸入院 1 个月。她被发现泛发性肝细胞减少,肝酶升高。Janus 激酶 2、骨髓增生性白血病和钙网织蛋白突变的检测结果均为阴性。对溶血性贫血进行了广泛的检查,包括直接抗球蛋白试验、阵发性夜间血红蛋白尿的流式细胞术、遗传性血红蛋白病和遗传性红细胞膜病的检测,但均无结果。抗核抗体阳性率大于 1,280,免疫球蛋白 G 为 17.04 克/升,抗平滑肌抗体(ASMA)阳性率为 1:40。骨髓活检显示的 AIMF 特征导致了 AIMF 的诊断。患者开始服用泼尼松 1 毫克/千克,并长期减量。纤维扫描和肝活检结果与肝硬化一致,其他肝功能异常原因的检查结果也无异常。她符合自身免疫性肝炎(AIH)的诊断标准。泼尼松治疗后,全血细胞减少和肝酶水平有所改善。临床病情稳定 1 年后,患者病情复发,出现泛发性血小板减少、肝酶升高,再次骨髓活检发现类似的纤维化。泼尼松以 1 毫克/千克的剂量重新启动,并开始使用霉酚酸酯(MMF)。泼尼松的用量逐渐减少,但她对单用 MMF 仍有很好的反应。我们报告了一例与 AIH 相关的 AIMF 病例,该病例并发非免疫性溶血。AIMF 非常罕见,在英文文献中仅有四例描述了它与 AIH 的关联。AIH 和非免疫性溶血的生化特征相互重叠,而 AIMF 的非免疫性溶血特征尚未得到很好的描述,这导致诊断的复杂性和延误。尽管如此,患者对皮质类固醇的反应很快,包括逆转了对输血的严重依赖、血红蛋白恢复正常以及逆转了肝脏炎症的生化证据。骨髓和肝脏自身免疫性纤维化的共同发病机制是一种推测,但该病例的时间关联性表明了这一点。
本文章由计算机程序翻译,如有差异,请以英文原文为准。
求助全文
约1分钟内获得全文 求助全文
来源期刊
Journal of hematology
Journal of hematology HEMATOLOGY-
自引率
0.00%
发文量
29
×
引用
GB/T 7714-2015
复制
MLA
复制
APA
复制
导出至
BibTeX EndNote RefMan NoteFirst NoteExpress
×
提示
您的信息不完整,为了账户安全,请先补充。
现在去补充
×
提示
您因"违规操作"
具体请查看互助需知
我知道了
×
提示
确定
请完成安全验证×
copy
已复制链接
快去分享给好友吧!
我知道了
右上角分享
点击右上角分享
0
联系我们:info@booksci.cn Book学术提供免费学术资源搜索服务,方便国内外学者检索中英文文献。致力于提供最便捷和优质的服务体验。 Copyright © 2023 布克学术 All rights reserved.
京ICP备2023020795号-1
ghs 京公网安备 11010802042870号
Book学术文献互助
Book学术文献互助群
群 号:604180095
Book学术官方微信