Congenital Lipoid Adrenal Hyperplasia, as a Poorly Understood Cause of 46 XY Sexual Differentiation Disorder.

IF 0.9 Q4 ENDOCRINOLOGY & METABOLISM
Case Reports in Endocrinology Pub Date : 2024-08-31 eCollection Date: 2024-01-01 DOI:10.1155/2024/5399577
Raúl Villanueva Rodríguez, Alberto Vielma Valdez, Maricruz Cassou Martinez, Laura Leticia Pérez Corrales, Ramón G de Los Santos Aguilar, Luis David Sol Oliva
{"title":"Congenital Lipoid Adrenal Hyperplasia, as a Poorly Understood Cause of 46 XY Sexual Differentiation Disorder.","authors":"Raúl Villanueva Rodríguez, Alberto Vielma Valdez, Maricruz Cassou Martinez, Laura Leticia Pérez Corrales, Ramón G de Los Santos Aguilar, Luis David Sol Oliva","doi":"10.1155/2024/5399577","DOIUrl":null,"url":null,"abstract":"<p><strong>Case: </strong>We present the case of a woman who, during the neonatal period, presented salt-losing adrenal insufficiency associated with 46 XY gonadal dysgenesis. The genetic study found a steroidogenic acute regulatory protein (StAR) mutation.</p><p><strong>Conclusion: </strong>Mutations in StAR result in a nonfunctional protein, which clinically translates into congenital adrenal hyperplasia and, in the case of patients with 46 XY karyotype, is accompanied by gonadal dysgenesis characterized by androgen deficiency, without alterations in anti-Müllerian hormone.</p>","PeriodicalId":9621,"journal":{"name":"Case Reports in Endocrinology","volume":"2024 ","pages":"5399577"},"PeriodicalIF":0.9000,"publicationDate":"2024-08-31","publicationTypes":"Journal Article","fieldsOfStudy":null,"isOpenAccess":false,"openAccessPdf":"https://www.ncbi.nlm.nih.gov/pmc/articles/PMC11380710/pdf/","citationCount":"0","resultStr":null,"platform":"Semanticscholar","paperid":null,"PeriodicalName":"Case Reports in Endocrinology","FirstCategoryId":"1085","ListUrlMain":"https://doi.org/10.1155/2024/5399577","RegionNum":0,"RegionCategory":null,"ArticlePicture":[],"TitleCN":null,"AbstractTextCN":null,"PMCID":null,"EPubDate":"2024/1/1 0:00:00","PubModel":"eCollection","JCR":"Q4","JCRName":"ENDOCRINOLOGY & METABOLISM","Score":null,"Total":0}
引用次数: 0

Abstract

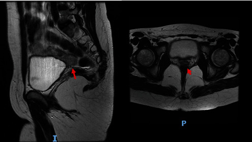
Case: We present the case of a woman who, during the neonatal period, presented salt-losing adrenal insufficiency associated with 46 XY gonadal dysgenesis. The genetic study found a steroidogenic acute regulatory protein (StAR) mutation.

Conclusion: Mutations in StAR result in a nonfunctional protein, which clinically translates into congenital adrenal hyperplasia and, in the case of patients with 46 XY karyotype, is accompanied by gonadal dysgenesis characterized by androgen deficiency, without alterations in anti-Müllerian hormone.

Abstract Image

Abstract Image

Abstract Image

先天性类脂性肾上腺皮质增生症是 46 XY 性分化障碍的一个鲜为人知的病因。
病例本病例中,一名妇女在新生儿期出现失盐性肾上腺功能不全,并伴有 46 XY 性腺发育不良。遗传学研究发现该患者存在类固醇生成急性调节蛋白(StAR)突变:结论:StAR 基因突变导致蛋白功能缺失,临床表现为先天性肾上腺皮质增生症,对于 46 XY 核型患者,伴有以雄激素缺乏为特征的性腺发育不良,但抗穆勒氏管激素没有改变。
本文章由计算机程序翻译,如有差异,请以英文原文为准。
求助全文
约1分钟内获得全文 求助全文
来源期刊
Case Reports in Endocrinology
Case Reports in Endocrinology ENDOCRINOLOGY & METABOLISM-
CiteScore
2.10
自引率
0.00%
发文量
45
审稿时长
13 weeks
×
引用
GB/T 7714-2015
复制
MLA
复制
APA
复制
导出至
BibTeX EndNote RefMan NoteFirst NoteExpress
×
提示
您的信息不完整,为了账户安全,请先补充。
现在去补充
×
提示
您因"违规操作"
具体请查看互助需知
我知道了
×
提示
确定
请完成安全验证×
copy
已复制链接
快去分享给好友吧!
我知道了
右上角分享
点击右上角分享
0
联系我们:info@booksci.cn Book学术提供免费学术资源搜索服务,方便国内外学者检索中英文文献。致力于提供最便捷和优质的服务体验。 Copyright © 2023 布克学术 All rights reserved.
京ICP备2023020795号-1
ghs 京公网安备 11010802042870号
Book学术文献互助
Book学术文献互助群
群 号:604180095
Book学术官方微信