Comparing Deep Learning Performance for Chronic Lymphocytic Leukaemia Cell Segmentation in Brightfield Microscopy Images.

IF 2.4 Q3 BIOCHEMICAL RESEARCH METHODS
Bioinformatics and Biology Insights Pub Date : 2024-09-05 eCollection Date: 2024-01-01 DOI:10.1177/11779322241272387
Markéta Vašinková, Vít Doleží, Michal Vašinek, Petr Gajdoš, Eva Kriegová
{"title":"Comparing Deep Learning Performance for Chronic Lymphocytic Leukaemia Cell Segmentation in Brightfield Microscopy Images.","authors":"Markéta Vašinková, Vít Doleží, Michal Vašinek, Petr Gajdoš, Eva Kriegová","doi":"10.1177/11779322241272387","DOIUrl":null,"url":null,"abstract":"<p><strong>Objectives: </strong>This article focuses on the detection of cells in low-contrast brightfield microscopy images; in our case, it is chronic lymphocytic leukaemia cells. The automatic detection of cells from brightfield time-lapse microscopic images brings new opportunities in cell morphology and migration studies; to achieve the desired results, it is advisable to use state-of-the-art image segmentation methods that not only detect the cell but also detect its boundaries with the highest possible accuracy, thus defining its shape and dimensions.</p><p><strong>Methods: </strong>We compared eight state-of-the-art neural network architectures with different backbone encoders for image data segmentation, namely U-net, U-net++, the Pyramid Attention Network, the Multi-Attention Network, LinkNet, the Feature Pyramid Network, DeepLabV3, and DeepLabV3+. The training process involved training each of these networks for 1000 epochs using the PyTorch and PyTorch Lightning libraries. For instance segmentation, the watershed algorithm and three-class image semantic segmentation were used. We also used StarDist, a deep learning-based tool for object detection with star-convex shapes.</p><p><strong>Results: </strong>The optimal combination for semantic segmentation was the U-net++ architecture with a ResNeSt-269 background with a data set intersection over a union score of 0.8902. For the cell characteristics examined (area, circularity, solidity, perimeter, radius, and shape index), the difference in mean value using different chronic lymphocytic leukaemia cell segmentation approaches appeared to be statistically significant (Mann-Whitney <i>U</i> test, <i>P</i> < .0001).</p><p><strong>Conclusion: </strong>We found that overall, the algorithms demonstrate equal agreement with ground truth, but with the comparison, it can be seen that the different approaches prefer different morphological features of the cells. Consequently, choosing the most suitable method for instance-based cell segmentation depends on the particular application, namely, the specific cellular traits being investigated.</p>","PeriodicalId":9065,"journal":{"name":"Bioinformatics and Biology Insights","volume":"18 ","pages":"11779322241272387"},"PeriodicalIF":2.4000,"publicationDate":"2024-09-05","publicationTypes":"Journal Article","fieldsOfStudy":null,"isOpenAccess":false,"openAccessPdf":"https://www.ncbi.nlm.nih.gov/pmc/articles/PMC11378236/pdf/","citationCount":"0","resultStr":null,"platform":"Semanticscholar","paperid":null,"PeriodicalName":"Bioinformatics and Biology Insights","FirstCategoryId":"1085","ListUrlMain":"https://doi.org/10.1177/11779322241272387","RegionNum":0,"RegionCategory":null,"ArticlePicture":[],"TitleCN":null,"AbstractTextCN":null,"PMCID":null,"EPubDate":"2024/1/1 0:00:00","PubModel":"eCollection","JCR":"Q3","JCRName":"BIOCHEMICAL RESEARCH METHODS","Score":null,"Total":0}
引用次数: 0

Abstract

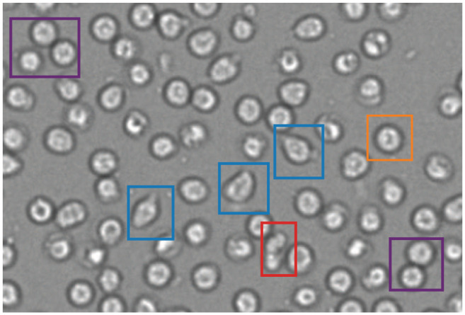
Objectives: This article focuses on the detection of cells in low-contrast brightfield microscopy images; in our case, it is chronic lymphocytic leukaemia cells. The automatic detection of cells from brightfield time-lapse microscopic images brings new opportunities in cell morphology and migration studies; to achieve the desired results, it is advisable to use state-of-the-art image segmentation methods that not only detect the cell but also detect its boundaries with the highest possible accuracy, thus defining its shape and dimensions.

Methods: We compared eight state-of-the-art neural network architectures with different backbone encoders for image data segmentation, namely U-net, U-net++, the Pyramid Attention Network, the Multi-Attention Network, LinkNet, the Feature Pyramid Network, DeepLabV3, and DeepLabV3+. The training process involved training each of these networks for 1000 epochs using the PyTorch and PyTorch Lightning libraries. For instance segmentation, the watershed algorithm and three-class image semantic segmentation were used. We also used StarDist, a deep learning-based tool for object detection with star-convex shapes.

Results: The optimal combination for semantic segmentation was the U-net++ architecture with a ResNeSt-269 background with a data set intersection over a union score of 0.8902. For the cell characteristics examined (area, circularity, solidity, perimeter, radius, and shape index), the difference in mean value using different chronic lymphocytic leukaemia cell segmentation approaches appeared to be statistically significant (Mann-Whitney U test, P < .0001).

Conclusion: We found that overall, the algorithms demonstrate equal agreement with ground truth, but with the comparison, it can be seen that the different approaches prefer different morphological features of the cells. Consequently, choosing the most suitable method for instance-based cell segmentation depends on the particular application, namely, the specific cellular traits being investigated.

Abstract Image

Abstract Image

Abstract Image

比较深度学习在明场显微镜图像中的慢性淋巴细胞白血病细胞分段性能
目的:本文的重点是检测低对比度明视野显微图像中的细胞;在我们的案例中,检测的是慢性淋巴细胞白血病细胞。从明视野延时显微图像中自动检测细胞为细胞形态学和迁移研究带来了新的机遇;为了达到预期效果,最好使用最先进的图像分割方法,这种方法不仅能检测细胞,还能以尽可能高的精度检测细胞边界,从而确定细胞的形状和尺寸:我们比较了八种采用不同骨干编码器进行图像数据分割的最先进神经网络架构,即 U-net、U-net++、金字塔注意力网络、多注意力网络、LinkNet、特征金字塔网络、DeepLabV3 和 DeepLabV3+。训练过程包括使用 PyTorch 和 PyTorch Lightning 库对每个网络进行 1000 次历时训练。在实例分割方面,我们使用了分水岭算法和三类图像语义分割。我们还使用了 StarDist,这是一款基于深度学习的工具,用于检测星凸形状的物体:语义分割的最佳组合是带有 ResNeSt-269 背景的 U-net++ 架构,其数据集交集超过联合得分 0.8902。对于所研究的细胞特征(面积、圆度、实心度、周长、半径和形状指数),使用不同的慢性淋巴细胞白血病细胞分割方法得出的平均值差异似乎具有统计学意义(Mann-Whitney U 检验,P 结论:我们发现,总体而言,这些算法与地面实况的一致性相同,但通过比较可以看出,不同的方法偏好不同的细胞形态特征。因此,为基于实例的细胞分割选择最合适的方法取决于特定的应用,即所研究的特定细胞特征。
本文章由计算机程序翻译,如有差异,请以英文原文为准。
求助全文
约1分钟内获得全文 求助全文
来源期刊
Bioinformatics and Biology Insights
Bioinformatics and Biology Insights BIOCHEMICAL RESEARCH METHODS-
CiteScore
6.80
自引率
1.70%
发文量
36
审稿时长
8 weeks
期刊介绍: Bioinformatics and Biology Insights is an open access, peer-reviewed journal that considers articles on bioinformatics methods and their applications which must pertain to biological insights. All papers should be easily amenable to biologists and as such help bridge the gap between theories and applications.
×
引用
GB/T 7714-2015
复制
MLA
复制
APA
复制
导出至
BibTeX EndNote RefMan NoteFirst NoteExpress
×
提示
您的信息不完整,为了账户安全,请先补充。
现在去补充
×
提示
您因"违规操作"
具体请查看互助需知
我知道了
×
提示
确定
请完成安全验证×
copy
已复制链接
快去分享给好友吧!
我知道了
右上角分享
点击右上角分享
0
联系我们:info@booksci.cn Book学术提供免费学术资源搜索服务,方便国内外学者检索中英文文献。致力于提供最便捷和优质的服务体验。 Copyright © 2023 布克学术 All rights reserved.
京ICP备2023020795号-1
ghs 京公网安备 11010802042870号
Book学术文献互助
Book学术文献互助群
群 号:604180095
Book学术官方微信