A case of adrenal oncocytoma: reviewing the literature of radiological finding.

IF 0.5 Q4 RADIOLOGY, NUCLEAR MEDICINE & MEDICAL IMAGING
BJR Case Reports Pub Date : 2024-08-30 eCollection Date: 2024-09-01 DOI:10.1093/bjrcr/uaae029
Maho Sakano, Yukari Wakabayashi, Natsuhiko Shirota, Yoshio Ohno, Aoi Suketa, Toshitaka Nagao, Kazuhiro Saito
{"title":"A case of adrenal oncocytoma: reviewing the literature of radiological finding.","authors":"Maho Sakano, Yukari Wakabayashi, Natsuhiko Shirota, Yoshio Ohno, Aoi Suketa, Toshitaka Nagao, Kazuhiro Saito","doi":"10.1093/bjrcr/uaae029","DOIUrl":null,"url":null,"abstract":"<p><p>Oncocytoma is a tumour that predominantly occurs in the kidneys and salivary glands. Only approximately 200 cases have been reported to be of adrenal origin to date, and only a few reports about its radiological findings have been published so far. Herein, we present the CT and MRI findings of an adrenal oncocytoma observed in a patient suspected of having mitochondrial abnormalities, along with the pathological findings. The tumour was roughly classified into three areas: a hypercellular region, a region containing fibrous tissue, and an oedematous region. These corresponded to the restricted diffusion area on the apparent diffusion coefficient map, the gradually enhanced area at the secretory phase on contrast-enhanced CT scan, and the obvious hyperintensity on the T2-weighted image, respectively. We also discuss these findings in the context of previously reported radiological findings in the literature. Diagnosing adrenal oncocytoma through imaging is challenging, and it is crucial to consider the possibility of malignancy while making the differential diagnosis. Small-sized homogenous tumours may be hard to differentiate from lipid-poor adenomas, while larger inhomogeneous ones are hard to distinguish from adrenal cancer.</p>","PeriodicalId":45216,"journal":{"name":"BJR Case Reports","volume":"10 5","pages":"uaae029"},"PeriodicalIF":0.5000,"publicationDate":"2024-08-30","publicationTypes":"Journal Article","fieldsOfStudy":null,"isOpenAccess":false,"openAccessPdf":"https://www.ncbi.nlm.nih.gov/pmc/articles/PMC11377097/pdf/","citationCount":"0","resultStr":null,"platform":"Semanticscholar","paperid":null,"PeriodicalName":"BJR Case Reports","FirstCategoryId":"1085","ListUrlMain":"https://doi.org/10.1093/bjrcr/uaae029","RegionNum":0,"RegionCategory":null,"ArticlePicture":[],"TitleCN":null,"AbstractTextCN":null,"PMCID":null,"EPubDate":"2024/9/1 0:00:00","PubModel":"eCollection","JCR":"Q4","JCRName":"RADIOLOGY, NUCLEAR MEDICINE & MEDICAL IMAGING","Score":null,"Total":0}
引用次数: 0

Abstract

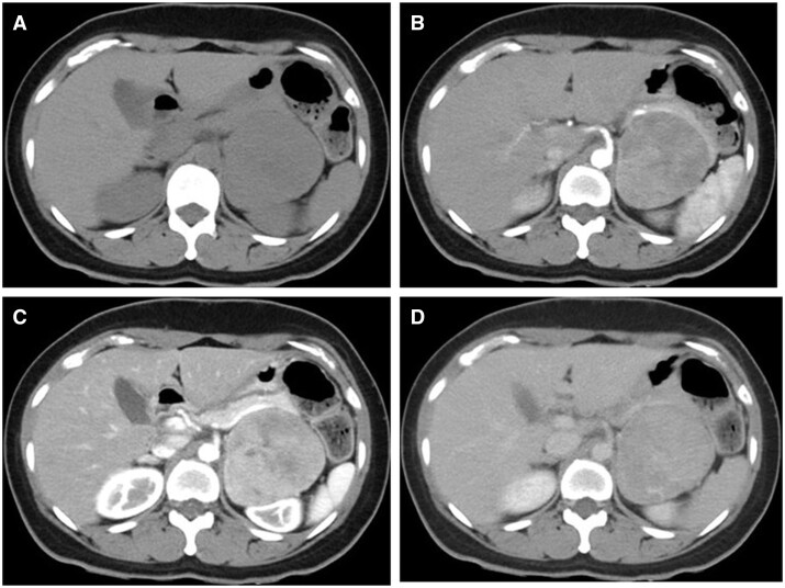
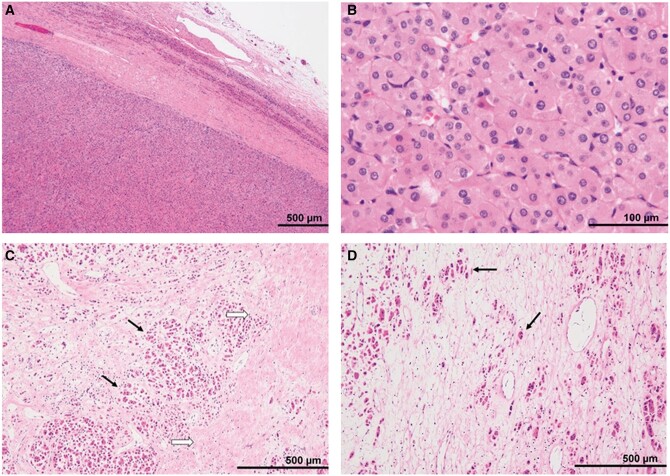
Oncocytoma is a tumour that predominantly occurs in the kidneys and salivary glands. Only approximately 200 cases have been reported to be of adrenal origin to date, and only a few reports about its radiological findings have been published so far. Herein, we present the CT and MRI findings of an adrenal oncocytoma observed in a patient suspected of having mitochondrial abnormalities, along with the pathological findings. The tumour was roughly classified into three areas: a hypercellular region, a region containing fibrous tissue, and an oedematous region. These corresponded to the restricted diffusion area on the apparent diffusion coefficient map, the gradually enhanced area at the secretory phase on contrast-enhanced CT scan, and the obvious hyperintensity on the T2-weighted image, respectively. We also discuss these findings in the context of previously reported radiological findings in the literature. Diagnosing adrenal oncocytoma through imaging is challenging, and it is crucial to consider the possibility of malignancy while making the differential diagnosis. Small-sized homogenous tumours may be hard to differentiate from lipid-poor adenomas, while larger inhomogeneous ones are hard to distinguish from adrenal cancer.

Abstract Image

Abstract Image

Abstract Image

一例肾上腺肿瘤:回顾放射学发现的文献。
肿瘤细胞瘤是一种主要发生在肾脏和唾液腺的肿瘤。迄今为止,仅有约 200 例肾上腺来源的肿瘤被报道,而有关其放射学结果的报道也寥寥无几。在此,我们介绍了一名疑似线粒体异常患者肾上腺肿瘤的 CT 和 MRI 结果以及病理结果。肿瘤大致分为三个区域:高细胞区、含纤维组织区和水肿区。这些区域分别与表观扩散系数图上的扩散受限区、对比增强 CT 扫描中分泌期的逐渐增强区和 T2 加权图像上的明显高密度区相对应。我们还结合以前文献中报道的放射学结果对这些发现进行了讨论。通过影像学诊断肾上腺肿瘤细胞瘤具有挑战性,在进行鉴别诊断时考虑恶性肿瘤的可能性至关重要。体积较小的均质肿瘤可能很难与贫脂腺瘤相鉴别,而体积较大的不均质肿瘤则很难与肾上腺癌相鉴别。
本文章由计算机程序翻译,如有差异,请以英文原文为准。
求助全文
约1分钟内获得全文 求助全文
来源期刊
BJR Case Reports
BJR Case Reports RADIOLOGY, NUCLEAR MEDICINE & MEDICAL IMAGING-
自引率
0.00%
发文量
77
审稿时长
11 weeks
×
引用
GB/T 7714-2015
复制
MLA
复制
APA
复制
导出至
BibTeX EndNote RefMan NoteFirst NoteExpress
×
提示
您的信息不完整,为了账户安全,请先补充。
现在去补充
×
提示
您因"违规操作"
具体请查看互助需知
我知道了
×
提示
确定
请完成安全验证×
copy
已复制链接
快去分享给好友吧!
我知道了
右上角分享
点击右上角分享
0
联系我们:info@booksci.cn Book学术提供免费学术资源搜索服务,方便国内外学者检索中英文文献。致力于提供最便捷和优质的服务体验。 Copyright © 2023 布克学术 All rights reserved.
京ICP备2023020795号-1
ghs 京公网安备 11010802042870号
Book学术文献互助
Book学术文献互助群
群 号:604180095
Book学术官方微信