Anatomical and subcortical invasiveness in diffuse low-grade astrocytomas differ between IDH status and provide prognostic information.

IF 1.6 4区 医学 Q2 MEDICINE, GENERAL & INTERNAL
Upsala journal of medical sciences Pub Date : 2024-09-03 eCollection Date: 2024-01-01 DOI:10.48101/ujms.v129.10799
Maria Zetterling, Markus Fahlström, Francesco Latini
{"title":"Anatomical and subcortical invasiveness in diffuse low-grade astrocytomas differ between IDH status and provide prognostic information.","authors":"Maria Zetterling, Markus Fahlström, Francesco Latini","doi":"10.48101/ujms.v129.10799","DOIUrl":null,"url":null,"abstract":"<p><strong>Background: </strong>Diffuse astrocytomas preferentially infiltrate eloquent areas affecting the outcome. A preoperative understanding of isocitrate dehydrogenase (IDH) status may offer opportunities for specific targeted therapies impacting treatment management. The aim of this study was to analyze clinical, topographical, radiological in WHO 2 astrocytomas with different IDH status and the long-term patient's outcome.</p><p><strong>Methods: </strong>A series of confirmed WHO 2 astrocytoma patients (between 2005 and 2015) were retrospectively analyzed. MRI sequences (FLAIR) were used for tumor volume segmentation and to create a frequency map of their locations into the Montreal Neurological Institute (MNI) space. The Brain-Grid (BG) system (standardized radiological tool of intersected lines according to anatomical landmarks) was used as an overlay for infiltration analysis of each tumor. Long-term follow-up was used to perform a survival analysis.</p><p><strong>Results: </strong>Forty patients with confirmed IDH status (26 IDH-mutant, IDHm/14 IDH-wild type, IDHwt) according to WHO 2021 classification were included with a mean follow-up of 7.8 years. IDHm astrocytomas displayed a lower number of BG-voxels (<i>P</i> < 0.05) and were preferentially located in the anterior insular region. IDHwt group displayed a posterior insular and peritrigonal location. IDHwt group displayed a shorter OS compared with IDHm (<i>P</i> < 0.05), with the infiltration of 7 or more BG-voxels as an independent factor predicting a shorter OS.</p><p><strong>Conclusions: </strong>IDHm and IDHwt astrocytomas differed in preferential location, number of BG-voxels and OS at long follow-up time. The number of BG-voxels affected the OS in IDHwt was possibly reflecting higher tumor invasiveness. We encourage the systematic use of alternative observational tools, such as gradient maps and the Brain-Grid analysis, to better detect differences of tumor invasiveness in diffuse low-grade gliomas subtypes.</p>","PeriodicalId":23458,"journal":{"name":"Upsala journal of medical sciences","volume":"129 ","pages":""},"PeriodicalIF":1.6000,"publicationDate":"2024-09-03","publicationTypes":"Journal Article","fieldsOfStudy":null,"isOpenAccess":false,"openAccessPdf":"https://www.ncbi.nlm.nih.gov/pmc/articles/PMC11375500/pdf/","citationCount":"0","resultStr":null,"platform":"Semanticscholar","paperid":null,"PeriodicalName":"Upsala journal of medical sciences","FirstCategoryId":"3","ListUrlMain":"https://doi.org/10.48101/ujms.v129.10799","RegionNum":4,"RegionCategory":"医学","ArticlePicture":[],"TitleCN":null,"AbstractTextCN":null,"PMCID":null,"EPubDate":"2024/1/1 0:00:00","PubModel":"eCollection","JCR":"Q2","JCRName":"MEDICINE, GENERAL & INTERNAL","Score":null,"Total":0}
引用次数: 0

Abstract

Background: Diffuse astrocytomas preferentially infiltrate eloquent areas affecting the outcome. A preoperative understanding of isocitrate dehydrogenase (IDH) status may offer opportunities for specific targeted therapies impacting treatment management. The aim of this study was to analyze clinical, topographical, radiological in WHO 2 astrocytomas with different IDH status and the long-term patient's outcome.

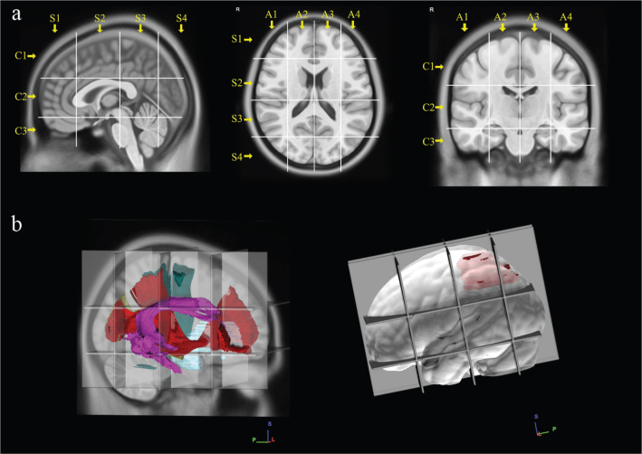
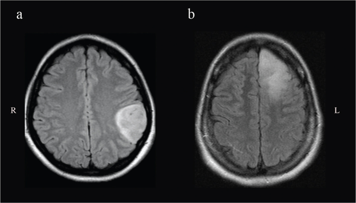
Methods: A series of confirmed WHO 2 astrocytoma patients (between 2005 and 2015) were retrospectively analyzed. MRI sequences (FLAIR) were used for tumor volume segmentation and to create a frequency map of their locations into the Montreal Neurological Institute (MNI) space. The Brain-Grid (BG) system (standardized radiological tool of intersected lines according to anatomical landmarks) was used as an overlay for infiltration analysis of each tumor. Long-term follow-up was used to perform a survival analysis.

Results: Forty patients with confirmed IDH status (26 IDH-mutant, IDHm/14 IDH-wild type, IDHwt) according to WHO 2021 classification were included with a mean follow-up of 7.8 years. IDHm astrocytomas displayed a lower number of BG-voxels (P < 0.05) and were preferentially located in the anterior insular region. IDHwt group displayed a posterior insular and peritrigonal location. IDHwt group displayed a shorter OS compared with IDHm (P < 0.05), with the infiltration of 7 or more BG-voxels as an independent factor predicting a shorter OS.

Conclusions: IDHm and IDHwt astrocytomas differed in preferential location, number of BG-voxels and OS at long follow-up time. The number of BG-voxels affected the OS in IDHwt was possibly reflecting higher tumor invasiveness. We encourage the systematic use of alternative observational tools, such as gradient maps and the Brain-Grid analysis, to better detect differences of tumor invasiveness in diffuse low-grade gliomas subtypes.

Abstract Image

Abstract Image

Abstract Image

弥漫性低级别星形细胞瘤的解剖学和皮层下侵袭性因 IDH 状态而异,并提供了预后信息。
背景:弥漫性星形细胞瘤倾向于浸润有表达能力的区域,从而影响治疗效果。术前了解异柠檬酸脱氢酶(IDH)的状态可为特定的靶向治疗提供机会,从而影响治疗管理。本研究旨在分析不同IDH状态的WHO 2星形细胞瘤的临床、地形和放射学情况以及患者的长期预后:方法:对一系列确诊的WHO 2星形细胞瘤患者(2005年至2015年)进行回顾性分析。核磁共振成像序列(FLAIR)用于肿瘤体积分割,并在蒙特利尔神经研究所(MNI)空间创建肿瘤位置频率图。脑网格(Brain-Grid,BG)系统(根据解剖地标的交叉线组成的标准化放射学工具)被用作每个肿瘤浸润分析的叠加。长期随访用于进行生存分析:根据WHO 2021年的分类,40例患者被确认为IDH状态(26例IDH突变型,IDHm/14例IDH野生型,IDHwt),平均随访时间为7.8年。IDHm星形细胞瘤的BG-体素数量较少(P < 0.05),且优先位于前部岛状区。IDHwt组的星形细胞瘤位于岛叶后部和冠状沟周围。与IDHm相比,IDHwt组的OS更短(P < 0.05),7个或更多BG-体素的浸润是预测OS更短的独立因素:结论:IDHm和IDHwt星形细胞瘤在偏好位置、BG-voxel数量和长期随访的OS方面存在差异。BG象素的数量对IDHwt的OS有影响,这可能反映了肿瘤的侵袭性更强。我们鼓励有计划地使用梯度图和脑网格分析等其他观察工具,以更好地检测弥漫性低级别胶质瘤亚型的肿瘤侵袭性差异。
本文章由计算机程序翻译,如有差异,请以英文原文为准。
求助全文
约1分钟内获得全文 求助全文
来源期刊
Upsala journal of medical sciences
Upsala journal of medical sciences 医学-医学:内科
CiteScore
5.60
自引率
0.00%
发文量
31
审稿时长
6-12 weeks
期刊介绍: Upsala Journal of Medical Sciences is published for the Upsala Medical Society. It has been published since 1865 and is one of the oldest medical journals in Sweden. The journal publishes clinical and experimental original works in the medical field. Although focusing on regional issues, the journal always welcomes contributions from outside Sweden. Specially extended issues are published occasionally, dealing with special topics, congress proceedings and academic dissertations.
×
引用
GB/T 7714-2015
复制
MLA
复制
APA
复制
导出至
BibTeX EndNote RefMan NoteFirst NoteExpress
×
提示
您的信息不完整,为了账户安全,请先补充。
现在去补充
×
提示
您因"违规操作"
具体请查看互助需知
我知道了
×
提示
确定
请完成安全验证×
copy
已复制链接
快去分享给好友吧!
我知道了
右上角分享
点击右上角分享
0
联系我们:info@booksci.cn Book学术提供免费学术资源搜索服务,方便国内外学者检索中英文文献。致力于提供最便捷和优质的服务体验。 Copyright © 2023 布克学术 All rights reserved.
京ICP备2023020795号-1
ghs 京公网安备 11010802042870号
Book学术文献互助
Book学术文献互助群
群 号:604180095
Book学术官方微信