LAPAROTOMIC RADIOFREQUENCY ABLATION OF PANCREATIC INSULINOMA.

IF 1.8
Allan Rubens Zucolotto Cansi, Jhonatan de Souza Vitor, João Felipe da Silva Lopes, Rogério Dardengo Glória
{"title":"LAPAROTOMIC RADIOFREQUENCY ABLATION OF PANCREATIC INSULINOMA.","authors":"Allan Rubens Zucolotto Cansi, Jhonatan de Souza Vitor, João Felipe da Silva Lopes, Rogério Dardengo Glória","doi":"10.1590/0102-6720202400026e1819","DOIUrl":null,"url":null,"abstract":"<p><p>Insulinomas are rare neoplasms of the endocrine pancreas. Minimally invasive treatment options for insulinomas have gained prominence, replacing surgical resection due to its associated morbidity and mortality. Radiofrequency ablation (RFA) has emerged as a relevant treatment option. We present a case of a female patient with neuroglycopenic symptoms and severe hypoglycemic crises. The abdominal magnetic resonance imaging (MRI) showed a small nodular lesion in the pancreatic body. Laparotomy was performed, followed by RFA using a 15-mm active-tipped needle. No complications transpired, and no hypoglycemic episodes were observed during 12 months of follow-up.</p>","PeriodicalId":72298,"journal":{"name":"Arquivos brasileiros de cirurgia digestiva : ABCD = Brazilian archives of digestive surgery","volume":"37 ","pages":"e1819"},"PeriodicalIF":1.8000,"publicationDate":"2024-08-30","publicationTypes":"Journal Article","fieldsOfStudy":null,"isOpenAccess":false,"openAccessPdf":"https://www.ncbi.nlm.nih.gov/pmc/articles/PMC11363906/pdf/","citationCount":"0","resultStr":null,"platform":"Semanticscholar","paperid":null,"PeriodicalName":"Arquivos brasileiros de cirurgia digestiva : ABCD = Brazilian archives of digestive surgery","FirstCategoryId":"1085","ListUrlMain":"https://doi.org/10.1590/0102-6720202400026e1819","RegionNum":0,"RegionCategory":null,"ArticlePicture":[],"TitleCN":null,"AbstractTextCN":null,"PMCID":null,"EPubDate":"2024/1/1 0:00:00","PubModel":"eCollection","JCR":"","JCRName":"","Score":null,"Total":0}
引用次数: 0

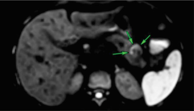
Abstract

Insulinomas are rare neoplasms of the endocrine pancreas. Minimally invasive treatment options for insulinomas have gained prominence, replacing surgical resection due to its associated morbidity and mortality. Radiofrequency ablation (RFA) has emerged as a relevant treatment option. We present a case of a female patient with neuroglycopenic symptoms and severe hypoglycemic crises. The abdominal magnetic resonance imaging (MRI) showed a small nodular lesion in the pancreatic body. Laparotomy was performed, followed by RFA using a 15-mm active-tipped needle. No complications transpired, and no hypoglycemic episodes were observed during 12 months of follow-up.

Abstract Image

Abstract Image

Abstract Image

胰岛素瘤的腹腔射频消融术。
胰岛素瘤是一种罕见的胰腺内分泌肿瘤。胰岛素瘤的微创治疗方法日益突出,因其相关的发病率和死亡率而取代了手术切除。射频消融术(RFA)已成为一种相关的治疗方案。我们报告了一例女性患者,她患有神经性糖耐量减低症状和严重的低血糖危象。腹部磁共振成像(MRI)显示胰腺体有一个小结节病变。患者接受了开腹手术,随后使用 15 毫米活动针头进行了射频消融术。在 12 个月的随访期间,没有出现并发症,也没有观察到低血糖发作。
本文章由计算机程序翻译,如有差异,请以英文原文为准。
求助全文
约1分钟内获得全文 求助全文
来源期刊
自引率
0.00%
发文量
0
×
引用
GB/T 7714-2015
复制
MLA
复制
APA
复制
导出至
BibTeX EndNote RefMan NoteFirst NoteExpress
×
提示
您的信息不完整,为了账户安全,请先补充。
现在去补充
×
提示
您因"违规操作"
具体请查看互助需知
我知道了
×
提示
确定
请完成安全验证×
copy
已复制链接
快去分享给好友吧!
我知道了
右上角分享
点击右上角分享
0
联系我们:info@booksci.cn Book学术提供免费学术资源搜索服务,方便国内外学者检索中英文文献。致力于提供最便捷和优质的服务体验。 Copyright © 2023 布克学术 All rights reserved.
京ICP备2023020795号-1
ghs 京公网安备 11010802042870号
Book学术文献互助
Book学术文献互助群
群 号:604180095
Book学术官方微信