Hemophagocytic Lymphohistiocytosis Secondary to Acute Human Immunodeficiency Virus and COVID-19.

IF 0.9
Journal of medical cases Pub Date : 2024-09-01 Epub Date: 2024-08-10 DOI:10.14740/jmc4226
Selia Chowdhury, Harshavardhan Sanekommu, Paula Gonzalez, Evgeniya Angelova, Swapnil Patel
{"title":"Hemophagocytic Lymphohistiocytosis Secondary to Acute Human Immunodeficiency Virus and COVID-19.","authors":"Selia Chowdhury, Harshavardhan Sanekommu, Paula Gonzalez, Evgeniya Angelova, Swapnil Patel","doi":"10.14740/jmc4226","DOIUrl":null,"url":null,"abstract":"<p><p>Hemophagocytic lymphohistiocytosis (HLH), characterized by acute and progressive hyperinflammation, is a rare syndrome documented in a limited number of coronavirus disease 2019 (COVID-19) and human immunodeficiency virus (HIV) cases. While severe acute respiratory syndrome coronavirus 2 (SARS-CoV-2) can provoke extensive immune activation and systemic inflammation, individuals with HIV, susceptible to immune dysregulation, are at heightened risk of severe complications from SARS-CoV-2. We report a case of a 24-year-old male with no significant medical history presenting with fever, weight loss, respiratory symptoms, and acute renal failure. Initial diagnosis revealed HIV with a CD4 count < 20 and concurrent COVID-19 infection leading to development of HLH. Despite aggressive management including antiretroviral therapy (ART), dexamethasone and supportive care, the patient deteriorated rapidly, leading to multiorgan failure. Coinfection with HIV and SARS-CoV-2 presents unique challenges, especially when complicated by secondary conditions such as HLH, which remains a diagnostic and therapeutic dilemma. Prompt recognition and aggressive management are crucial, necessitating a high index of suspicion and comprehensive evaluation including bone marrow biopsy to improve diagnostic accuracy and guide therapeutic interventions in such complex scenarios.</p>","PeriodicalId":101328,"journal":{"name":"Journal of medical cases","volume":"15 9","pages":"222-226"},"PeriodicalIF":0.9000,"publicationDate":"2024-09-01","publicationTypes":"Journal Article","fieldsOfStudy":null,"isOpenAccess":false,"openAccessPdf":"https://www.ncbi.nlm.nih.gov/pmc/articles/PMC11349122/pdf/","citationCount":"0","resultStr":null,"platform":"Semanticscholar","paperid":null,"PeriodicalName":"Journal of medical cases","FirstCategoryId":"1085","ListUrlMain":"https://doi.org/10.14740/jmc4226","RegionNum":0,"RegionCategory":null,"ArticlePicture":[],"TitleCN":null,"AbstractTextCN":null,"PMCID":null,"EPubDate":"2024/8/10 0:00:00","PubModel":"Epub","JCR":"","JCRName":"","Score":null,"Total":0}
引用次数: 0

Abstract

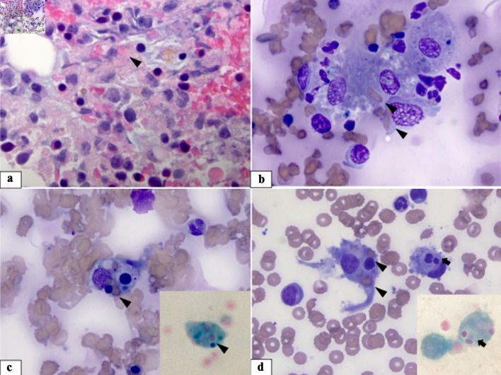
Hemophagocytic lymphohistiocytosis (HLH), characterized by acute and progressive hyperinflammation, is a rare syndrome documented in a limited number of coronavirus disease 2019 (COVID-19) and human immunodeficiency virus (HIV) cases. While severe acute respiratory syndrome coronavirus 2 (SARS-CoV-2) can provoke extensive immune activation and systemic inflammation, individuals with HIV, susceptible to immune dysregulation, are at heightened risk of severe complications from SARS-CoV-2. We report a case of a 24-year-old male with no significant medical history presenting with fever, weight loss, respiratory symptoms, and acute renal failure. Initial diagnosis revealed HIV with a CD4 count < 20 and concurrent COVID-19 infection leading to development of HLH. Despite aggressive management including antiretroviral therapy (ART), dexamethasone and supportive care, the patient deteriorated rapidly, leading to multiorgan failure. Coinfection with HIV and SARS-CoV-2 presents unique challenges, especially when complicated by secondary conditions such as HLH, which remains a diagnostic and therapeutic dilemma. Prompt recognition and aggressive management are crucial, necessitating a high index of suspicion and comprehensive evaluation including bone marrow biopsy to improve diagnostic accuracy and guide therapeutic interventions in such complex scenarios.

Abstract Image

嗜血细胞淋巴组织细胞增多症继发于急性人类免疫缺陷病毒和 COVID-19。
嗜血细胞淋巴组织细胞增多症(HLH)以急性和进行性高炎症为特征,是一种罕见的综合征,在数量有限的 2019 年冠状病毒病(COVID-19)和人类免疫缺陷病毒(HIV)病例中均有记录。严重急性呼吸系统综合征冠状病毒 2(SARS-CoV-2)可引发广泛的免疫激活和全身炎症,而易受免疫失调影响的艾滋病病毒感染者更有可能因 SARS-CoV-2 而出现严重并发症。我们报告了一例 24 岁男性病例,患者无明显病史,出现发热、体重减轻、呼吸道症状和急性肾功能衰竭。初步诊断发现他感染了艾滋病毒,CD4 细胞数小于 20,并同时感染了 COVID-19,导致出现 HLH。尽管采取了积极的治疗措施,包括抗逆转录病毒疗法(ART)、地塞米松和支持性护理,但患者病情迅速恶化,导致多器官功能衰竭。同时感染 HIV 和 SARS-CoV-2 带来了独特的挑战,尤其是在继发 HLH 等并发症的情况下,这仍然是一个诊断和治疗难题。在这种复杂的情况下,及时识别和积极治疗至关重要,需要高度怀疑并进行包括骨髓活检在内的全面评估,以提高诊断准确性并指导治疗干预。
本文章由计算机程序翻译,如有差异,请以英文原文为准。
求助全文
约1分钟内获得全文 求助全文
来源期刊
CiteScore
1.10
自引率
0.00%
发文量
0
×
引用
GB/T 7714-2015
复制
MLA
复制
APA
复制
导出至
BibTeX EndNote RefMan NoteFirst NoteExpress
×
提示
您的信息不完整,为了账户安全,请先补充。
现在去补充
×
提示
您因"违规操作"
具体请查看互助需知
我知道了
×
提示
确定
请完成安全验证×
copy
已复制链接
快去分享给好友吧!
我知道了
右上角分享
点击右上角分享
0
联系我们:info@booksci.cn Book学术提供免费学术资源搜索服务,方便国内外学者检索中英文文献。致力于提供最便捷和优质的服务体验。 Copyright © 2023 布克学术 All rights reserved.
京ICP备2023020795号-1
ghs 京公网安备 11010802042870号
Book学术文献互助
Book学术文献互助群
群 号:604180095
Book学术官方微信