Reliability of the Sundsvall Method for Femoral Offset Evaluation.

Patrick Kelly, Caitlin Grant, Niall Cochrane, Jonathan Florance, Michael Bolognesi, Sean Ryan
{"title":"Reliability of the Sundsvall Method for Femoral Offset Evaluation.","authors":"Patrick Kelly, Caitlin Grant, Niall Cochrane, Jonathan Florance, Michael Bolognesi, Sean Ryan","doi":"10.5371/hp.2024.36.3.218","DOIUrl":null,"url":null,"abstract":"<p><strong>Purpose: </strong>Acetabular and femoral offset (FO) play an important role in total hip arthroplasty (THA). The Sundsvall method has been proposed to account for both FO and cup offset in one global hip offset measurement. In this study, we examine the agreement and inter-observer reliability of the Sundsvall method of hip offset measurement.</p><p><strong>Materials and methods: </strong>Four hundred and ninety-nine THA patients at a single tertiary academic institution were retrospectively reviewed. Preoperative hip offset was measured on anteroposterior radiographs of the pelvis on the operative and contralateral side. Hip offset was also measured postoperatively on the operative side. Hip offset was measured using the Sundsvall method as the distance between the femoral axis and midline of the pelvis at the height of the lateral most point of the greater trochanter. All measurements were completed by two raters. Intra-class correlation coefficients (ICC) and Pearson's correlation coefficients were used to evaluate agreement and inter-observer reliability between two raters.</p><p><strong>Results: </strong>There was excellent agreement between raters for preoperative hip offset measurement with an ICC of 0.91 (confidence interval [CI] 0.90-0.93, <i>P</i><0.01) and R=0.92. There was excellent agreement between raters for postoperative hip offset with an ICC of 0.93 (CI 0.92-0.94, <i>P</i><0.01) and R=0.93.</p><p><strong>Conclusion: </strong>This study confirms the inter-observer agreement and reliability of the Sundsvall method of hip offset measurement. With its high agreement and reliability, the Sundsvall method is an easy and reliable way to measure hip offset that can be applied in future clinical and research settings.</p>","PeriodicalId":73239,"journal":{"name":"Hip & pelvis","volume":"36 3","pages":"218-222"},"PeriodicalIF":0.0000,"publicationDate":"2024-09-01","publicationTypes":"Journal Article","fieldsOfStudy":null,"isOpenAccess":false,"openAccessPdf":"https://www.ncbi.nlm.nih.gov/pmc/articles/PMC11380540/pdf/","citationCount":"0","resultStr":null,"platform":"Semanticscholar","paperid":null,"PeriodicalName":"Hip & pelvis","FirstCategoryId":"1085","ListUrlMain":"https://doi.org/10.5371/hp.2024.36.3.218","RegionNum":0,"RegionCategory":null,"ArticlePicture":[],"TitleCN":null,"AbstractTextCN":null,"PMCID":null,"EPubDate":"","PubModel":"","JCR":"","JCRName":"","Score":null,"Total":0}
引用次数: 0

Abstract

Purpose: Acetabular and femoral offset (FO) play an important role in total hip arthroplasty (THA). The Sundsvall method has been proposed to account for both FO and cup offset in one global hip offset measurement. In this study, we examine the agreement and inter-observer reliability of the Sundsvall method of hip offset measurement.

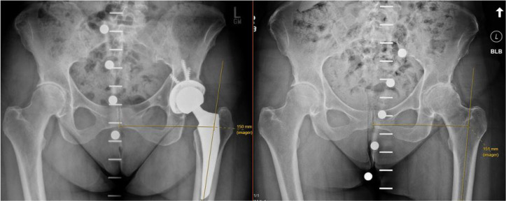
Materials and methods: Four hundred and ninety-nine THA patients at a single tertiary academic institution were retrospectively reviewed. Preoperative hip offset was measured on anteroposterior radiographs of the pelvis on the operative and contralateral side. Hip offset was also measured postoperatively on the operative side. Hip offset was measured using the Sundsvall method as the distance between the femoral axis and midline of the pelvis at the height of the lateral most point of the greater trochanter. All measurements were completed by two raters. Intra-class correlation coefficients (ICC) and Pearson's correlation coefficients were used to evaluate agreement and inter-observer reliability between two raters.

Results: There was excellent agreement between raters for preoperative hip offset measurement with an ICC of 0.91 (confidence interval [CI] 0.90-0.93, P<0.01) and R=0.92. There was excellent agreement between raters for postoperative hip offset with an ICC of 0.93 (CI 0.92-0.94, P<0.01) and R=0.93.

Conclusion: This study confirms the inter-observer agreement and reliability of the Sundsvall method of hip offset measurement. With its high agreement and reliability, the Sundsvall method is an easy and reliable way to measure hip offset that can be applied in future clinical and research settings.

Abstract Image

Abstract Image

Abstract Image

用于股骨偏移评估的松兹瓦尔法的可靠性
目的:髋臼和股骨偏移(FO)在全髋关节置换术(THA)中发挥着重要作用。有人提出了 Sundsvall 方法,在一次全髋关节偏移测量中同时考虑股骨和髋臼杯偏移。在本研究中,我们检验了Sundsvall法测量髋关节偏移量的一致性和观察者间的可靠性:对一家三级学术机构的 49 名 THA 患者进行了回顾性研究。术前通过手术侧和对侧骨盆的前正位X光片测量髋关节偏移量。术后还测量了手术侧的髋关节偏移量。髋关节偏移量采用Sundsvall法测量,即股骨轴线与骨盆中线在大转子外侧最高度处的距离。所有测量均由两名评分员完成。采用类内相关系数(ICC)和皮尔逊相关系数来评估两名测量者之间的一致性和观察者之间的可靠性:结果:术前髋关节偏移测量的评分者之间的一致性非常好,ICC 为 0.91(置信区间 [CI] 0.90-0.93,皮尔逊相关系数):本研究证实了 Sundsvall 髋关节偏移测量方法的观察者间一致性和可靠性。Sundsvall法具有高度的一致性和可靠性,是一种简便可靠的髋关节偏移测量方法,可应用于未来的临床和研究中。
本文章由计算机程序翻译,如有差异,请以英文原文为准。
求助全文
约1分钟内获得全文 求助全文
来源期刊
CiteScore
2.90
自引率
0.00%
发文量
0
×
引用
GB/T 7714-2015
复制
MLA
复制
APA
复制
导出至
BibTeX EndNote RefMan NoteFirst NoteExpress
×
提示
您的信息不完整,为了账户安全,请先补充。
现在去补充
×
提示
您因"违规操作"
具体请查看互助需知
我知道了
×
提示
确定
请完成安全验证×
copy
已复制链接
快去分享给好友吧!
我知道了
右上角分享
点击右上角分享
0
联系我们:info@booksci.cn Book学术提供免费学术资源搜索服务,方便国内外学者检索中英文文献。致力于提供最便捷和优质的服务体验。 Copyright © 2023 布克学术 All rights reserved.
京ICP备2023020795号-1
ghs 京公网安备 11010802042870号
Book学术文献互助
Book学术文献互助群
群 号:604180095
Book学术官方微信