Poncet disease in a patient with smear-negative pulmonary tuberculosis: A case report.

Q3 Nursing
Malaysian Family Physician Pub Date : 2024-08-18 eCollection Date: 2024-01-01 DOI:10.51866/cr.581
Poh Siang Ooi, Hartini Ismail, Gayatherri Meganathan, Nurfathehatul Nabila Saidi, Yeogeashweary Dhamotharan, Hui Heng Chua
{"title":"Poncet disease in a patient with smear-negative pulmonary tuberculosis: A case report.","authors":"Poh Siang Ooi, Hartini Ismail, Gayatherri Meganathan, Nurfathehatul Nabila Saidi, Yeogeashweary Dhamotharan, Hui Heng Chua","doi":"10.51866/cr.581","DOIUrl":null,"url":null,"abstract":"<p><p>Pulmonary tuberculosis poses a diagnostic dilemma to clinicians especially in the absence of typical presentation. The hypersensitivity to tuberculosis infection in other parts of the body can lead to nondestructive, para-infectious arthritis. This is known as Poncet disease, one of the clinical syndromes of musculoskeletal tuberculosis. Herein, we report a case of smear-negative pulmonary tuberculosis presenting with atypical features. It started with multiple joint pain, followed by the presence of multiple tender nodular skin lesions over the bilateral shins and wrist. Subsequent investigations led to the diagnosis of smear-negative pulmonary tuberculosis. Joint pain and erythema nodosum disappeared soon after antituberculosis therapy, supporting the diagnosis of Poncet disease.</p>","PeriodicalId":40017,"journal":{"name":"Malaysian Family Physician","volume":"19 ","pages":"49"},"PeriodicalIF":0.0000,"publicationDate":"2024-08-18","publicationTypes":"Journal Article","fieldsOfStudy":null,"isOpenAccess":false,"openAccessPdf":"https://www.ncbi.nlm.nih.gov/pmc/articles/PMC11366276/pdf/","citationCount":"0","resultStr":null,"platform":"Semanticscholar","paperid":null,"PeriodicalName":"Malaysian Family Physician","FirstCategoryId":"1085","ListUrlMain":"https://doi.org/10.51866/cr.581","RegionNum":0,"RegionCategory":null,"ArticlePicture":[],"TitleCN":null,"AbstractTextCN":null,"PMCID":null,"EPubDate":"2024/1/1 0:00:00","PubModel":"eCollection","JCR":"Q3","JCRName":"Nursing","Score":null,"Total":0}
引用次数: 0

Abstract

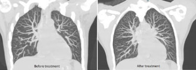
Pulmonary tuberculosis poses a diagnostic dilemma to clinicians especially in the absence of typical presentation. The hypersensitivity to tuberculosis infection in other parts of the body can lead to nondestructive, para-infectious arthritis. This is known as Poncet disease, one of the clinical syndromes of musculoskeletal tuberculosis. Herein, we report a case of smear-negative pulmonary tuberculosis presenting with atypical features. It started with multiple joint pain, followed by the presence of multiple tender nodular skin lesions over the bilateral shins and wrist. Subsequent investigations led to the diagnosis of smear-negative pulmonary tuberculosis. Joint pain and erythema nodosum disappeared soon after antituberculosis therapy, supporting the diagnosis of Poncet disease.

Abstract Image

Abstract Image

涂片阴性肺结核患者的庞塞病:病例报告。
肺结核给临床医生带来了诊断难题,尤其是在没有典型表现的情况下。身体其他部位对结核感染的超敏反应可导致非破坏性、副感染性关节炎。这就是所谓的庞塞特病,也是肌肉骨骼结核的临床综合征之一。在此,我们报告了一例涂片阴性的肺结核患者,其表现具有非典型特征。患者起初出现多处关节疼痛,随后双侧小腿和手腕出现多处触痛性结节性皮损。随后的检查确诊为涂片阴性肺结核。抗结核治疗后,关节疼痛和结节性红斑很快消失,支持了庞塞病的诊断。
本文章由计算机程序翻译,如有差异,请以英文原文为准。
求助全文
约1分钟内获得全文 求助全文
来源期刊
Malaysian Family Physician
Malaysian Family Physician Medicine-Family Practice
CiteScore
1.20
自引率
0.00%
发文量
41
审稿时长
24 weeks
期刊介绍: The Malaysian Family Physician is the official journal of the Academy of Family Physicians of Malaysia. It is published three times a year. Circulation: The journal is distributed free of charge to all members of the Academy of Family Physicians of Malaysia. Complimentary copies are also sent to other organizations that are members of the World Organization of Family Doctors (WONCA).
×
引用
GB/T 7714-2015
复制
MLA
复制
APA
复制
导出至
BibTeX EndNote RefMan NoteFirst NoteExpress
×
提示
您的信息不完整,为了账户安全,请先补充。
现在去补充
×
提示
您因"违规操作"
具体请查看互助需知
我知道了
×
提示
确定
请完成安全验证×
copy
已复制链接
快去分享给好友吧!
我知道了
右上角分享
点击右上角分享
0
联系我们:info@booksci.cn Book学术提供免费学术资源搜索服务,方便国内外学者检索中英文文献。致力于提供最便捷和优质的服务体验。 Copyright © 2023 布克学术 All rights reserved.
京ICP备2023020795号-1
ghs 京公网安备 11010802042870号
Book学术文献互助
Book学术文献互助群
群 号:604180095
Book学术官方微信