Heterozygous MEFV Mutation Leading to Renal Failure: A Case Study.

IF 1.4 Q3 PEDIATRICS
Global Pediatric Health Pub Date : 2024-08-28 eCollection Date: 2024-01-01 DOI:10.1177/2333794X241274752
Souhaila El Gazzane, Amine Ichane, Chaimae Nahi, Khadija Mouaddine, Bouchra Chkirate, Aziza Guennoun, Najat Oulahiane, Hassan Ait Ouamar, Lamiaa Rouas
{"title":"Heterozygous MEFV Mutation Leading to Renal Failure: A Case Study.","authors":"Souhaila El Gazzane, Amine Ichane, Chaimae Nahi, Khadija Mouaddine, Bouchra Chkirate, Aziza Guennoun, Najat Oulahiane, Hassan Ait Ouamar, Lamiaa Rouas","doi":"10.1177/2333794X241274752","DOIUrl":null,"url":null,"abstract":"<p><p>Familial Mediterranean fever (FMF) is an autosomal recessive disorder, particularly common in the Mediterranean area. Mutations in the <i>MEVF</i> gene cause it. AA Amyloidosis is the most severe complication of FMF leading to chronic renal failure. We describe a rare pediatric case of a phenotype I familial Mediterranean fever with <i>V726A</i> heterozygous mutation. The diagnosis was made at chronic kidney disease. We discuss through this case the importance of the early diagnosis of FMF heterozygous children which is not usually evident in some phenotypes. It will surely avoid fatal complications, inappropriate therapeutic approaches and higher healthcare costs.</p>","PeriodicalId":12576,"journal":{"name":"Global Pediatric Health","volume":"11 ","pages":"2333794X241274752"},"PeriodicalIF":1.4000,"publicationDate":"2024-08-28","publicationTypes":"Journal Article","fieldsOfStudy":null,"isOpenAccess":false,"openAccessPdf":"https://www.ncbi.nlm.nih.gov/pmc/articles/PMC11363043/pdf/","citationCount":"0","resultStr":null,"platform":"Semanticscholar","paperid":null,"PeriodicalName":"Global Pediatric Health","FirstCategoryId":"1085","ListUrlMain":"https://doi.org/10.1177/2333794X241274752","RegionNum":0,"RegionCategory":null,"ArticlePicture":[],"TitleCN":null,"AbstractTextCN":null,"PMCID":null,"EPubDate":"2024/1/1 0:00:00","PubModel":"eCollection","JCR":"Q3","JCRName":"PEDIATRICS","Score":null,"Total":0}
引用次数: 0

Abstract

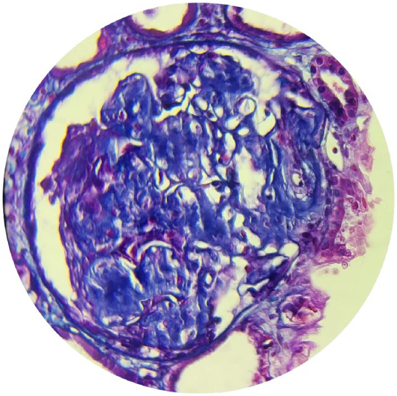
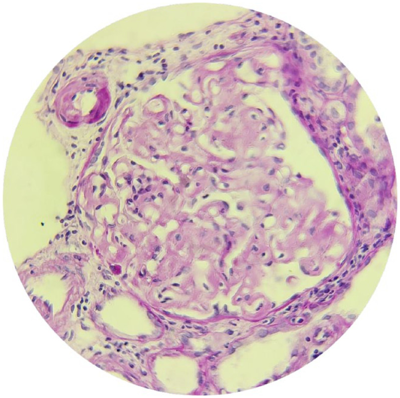
Familial Mediterranean fever (FMF) is an autosomal recessive disorder, particularly common in the Mediterranean area. Mutations in the MEVF gene cause it. AA Amyloidosis is the most severe complication of FMF leading to chronic renal failure. We describe a rare pediatric case of a phenotype I familial Mediterranean fever with V726A heterozygous mutation. The diagnosis was made at chronic kidney disease. We discuss through this case the importance of the early diagnosis of FMF heterozygous children which is not usually evident in some phenotypes. It will surely avoid fatal complications, inappropriate therapeutic approaches and higher healthcare costs.

Abstract Image

Abstract Image

Abstract Image

导致肾衰竭的杂合子 MEFV 基因突变:病例研究。
家族性地中海热(FMF)是一种常染色体隐性遗传疾病,在地中海地区尤为常见。MEVF 基因突变导致该病。AA 淀粉样变性是 FMF 最严重的并发症,可导致慢性肾功能衰竭。我们描述了一例表型为 I 型家族性地中海热并伴有 V726A 杂合突变的罕见儿科病例。诊断结果是慢性肾病。我们通过这个病例讨论了早期诊断 FMF 杂合型儿童的重要性,因为在某些表型中,早期诊断通常并不明显。这必将避免致命的并发症、不恰当的治疗方法和更高的医疗费用。
本文章由计算机程序翻译,如有差异,请以英文原文为准。
求助全文
约1分钟内获得全文 求助全文
来源期刊
Global Pediatric Health
Global Pediatric Health Nursing-Pediatrics
CiteScore
2.20
自引率
0.00%
发文量
105
审稿时长
12 weeks
×
引用
GB/T 7714-2015
复制
MLA
复制
APA
复制
导出至
BibTeX EndNote RefMan NoteFirst NoteExpress
×
提示
您的信息不完整,为了账户安全,请先补充。
现在去补充
×
提示
您因"违规操作"
具体请查看互助需知
我知道了
×
提示
确定
请完成安全验证×
copy
已复制链接
快去分享给好友吧!
我知道了
右上角分享
点击右上角分享
0
联系我们:info@booksci.cn Book学术提供免费学术资源搜索服务,方便国内外学者检索中英文文献。致力于提供最便捷和优质的服务体验。 Copyright © 2023 布克学术 All rights reserved.
京ICP备2023020795号-1
ghs 京公网安备 11010802042870号
Book学术文献互助
Book学术文献互助群
群 号:604180095
Book学术官方微信