Superior Vena Cava Syndrome after Epicardial Pacing Wires Removal.

IF 1.3 Q3 ANESTHESIOLOGY
Annals of Cardiac Anaesthesia Pub Date : 2024-10-01 Epub Date: 2024-08-28 DOI:10.4103/aca.aca_36_24
Susana González-Suárez, Carlos Sureda Barbosa, Jusset Teresa García-Navia
{"title":"Superior Vena Cava Syndrome after Epicardial Pacing Wires Removal.","authors":"Susana González-Suárez, Carlos Sureda Barbosa, Jusset Teresa García-Navia","doi":"10.4103/aca.aca_36_24","DOIUrl":null,"url":null,"abstract":"<p><strong>Abstract: </strong>Although most superior vena cava (SVC) syndromes are due to intrathoracic malignancies, some are iatrogenic, such as those following the intravenous implantation of pacemaker wires. To date, the occurrence of this syndrome after epicardial pacemaker removal has not been described. The initial auricular laceration after removal can be complicated by the administration of anticoagulant and antiplatelet drugs, forming a hematoma that compresses the SVC cranially. Therefore, standardized practice may be necessary in these patients to address anticoagulant and antiplatelet therapy, perform serial echocardiography, and pay attention to underlying symptoms, which may be insidious and delayed.</p>","PeriodicalId":7997,"journal":{"name":"Annals of Cardiac Anaesthesia","volume":" ","pages":"372-374"},"PeriodicalIF":1.3000,"publicationDate":"2024-10-01","publicationTypes":"Journal Article","fieldsOfStudy":null,"isOpenAccess":false,"openAccessPdf":"https://www.ncbi.nlm.nih.gov/pmc/articles/PMC11610787/pdf/","citationCount":"0","resultStr":null,"platform":"Semanticscholar","paperid":null,"PeriodicalName":"Annals of Cardiac Anaesthesia","FirstCategoryId":"1085","ListUrlMain":"https://doi.org/10.4103/aca.aca_36_24","RegionNum":0,"RegionCategory":null,"ArticlePicture":[],"TitleCN":null,"AbstractTextCN":null,"PMCID":null,"EPubDate":"2024/8/28 0:00:00","PubModel":"Epub","JCR":"Q3","JCRName":"ANESTHESIOLOGY","Score":null,"Total":0}
引用次数: 0

Abstract

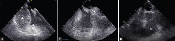
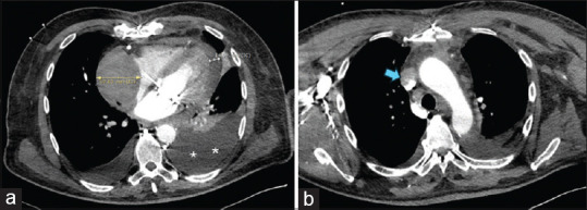
Abstract: Although most superior vena cava (SVC) syndromes are due to intrathoracic malignancies, some are iatrogenic, such as those following the intravenous implantation of pacemaker wires. To date, the occurrence of this syndrome after epicardial pacemaker removal has not been described. The initial auricular laceration after removal can be complicated by the administration of anticoagulant and antiplatelet drugs, forming a hematoma that compresses the SVC cranially. Therefore, standardized practice may be necessary in these patients to address anticoagulant and antiplatelet therapy, perform serial echocardiography, and pay attention to underlying symptoms, which may be insidious and delayed.

Abstract Image

Abstract Image

心外膜起搏导线移除后的上腔静脉综合征
摘要:虽然大多数上腔静脉(SVC)综合征是由胸腔内恶性肿瘤引起的,但也有一些是先天性的,如静脉内植入起搏器导线后出现的上腔静脉综合征。迄今为止,心外膜起搏器移除后出现这种综合征的情况尚未见报道。摘除起搏器后最初的耳廓裂伤可能会因服用抗凝药物和抗血小板药物而复杂化,形成血肿,压迫颅内的 SVC。因此,可能有必要对这些患者进行标准化操作,以解决抗凝和抗血小板治疗问题,进行连续超声心动图检查,并关注可能隐匿和延迟出现的潜在症状。
本文章由计算机程序翻译,如有差异,请以英文原文为准。
求助全文
约1分钟内获得全文 求助全文
来源期刊
CiteScore
1.60
自引率
0.00%
发文量
147
审稿时长
26 weeks
期刊介绍: Annals of Cardiac Anaesthesia (ACA) is the official journal of the Indian Association of Cardiovascular Thoracic Anaesthesiologists. The journal is indexed with PubMed/MEDLINE, Excerpta Medica/EMBASE, IndMed and MedInd. The journal’s full text is online at www.annals.in. With the aim of faster and better dissemination of knowledge, we will be publishing articles ‘Ahead of Print’ immediately on acceptance. In addition, the journal would allow free access (Open Access) to its contents, which is likely to attract more readers and citations to articles published in ACA. Authors do not have to pay for submission, processing or publication of articles in ACA.
×
引用
GB/T 7714-2015
复制
MLA
复制
APA
复制
导出至
BibTeX EndNote RefMan NoteFirst NoteExpress
×
提示
您的信息不完整,为了账户安全,请先补充。
现在去补充
×
提示
您因"违规操作"
具体请查看互助需知
我知道了
×
提示
确定
请完成安全验证×
copy
已复制链接
快去分享给好友吧!
我知道了
右上角分享
点击右上角分享
0
联系我们:info@booksci.cn Book学术提供免费学术资源搜索服务,方便国内外学者检索中英文文献。致力于提供最便捷和优质的服务体验。 Copyright © 2023 布克学术 All rights reserved.
京ICP备2023020795号-1
ghs 京公网安备 11010802042870号
Book学术文献互助
Book学术文献互助群
群 号:604180095
Book学术官方微信