Clinical and Pathological Features of the Nested Subtype of Urothelial Carcinoma With Lymph Node Metastasis as the Initial Presentation: A Case Report.

IF 1.9 Q3 PATHOLOGY
Clinical Pathology Pub Date : 2024-08-22 eCollection Date: 2024-01-01 DOI:10.1177/2632010X241276943
Wenhua Li, Ying Zhang, Baocheng Lu, Min Yi
{"title":"Clinical and Pathological Features of the Nested Subtype of Urothelial Carcinoma With Lymph Node Metastasis as the Initial Presentation: A Case Report.","authors":"Wenhua Li, Ying Zhang, Baocheng Lu, Min Yi","doi":"10.1177/2632010X241276943","DOIUrl":null,"url":null,"abstract":"<p><p>The nested subtype of urothelial carcinoma (NS-UC), a rare and aggressive bladder cancer, mimics benign bladder lesions but behaves like high-grade urothelial carcinomas. The author reported a rare case of NS-UC, initially presenting with inguinal lymph node metastasis. The tumor cells of NS-UC exhibit minimal cellular atypia, forming small nests, while the tumor cells of lymph node metastatic carcinoma show greater cellular atypia with diverse structures. Immunohistochemistry is helpful in determining the origin of lymph node metastatic carcinoma. NS-UC often presents morphologically similar to benign lesions, which should be given sufficient attention.</p>","PeriodicalId":53204,"journal":{"name":"Clinical Pathology","volume":"17 ","pages":"2632010X241276943"},"PeriodicalIF":1.9000,"publicationDate":"2024-08-22","publicationTypes":"Journal Article","fieldsOfStudy":null,"isOpenAccess":false,"openAccessPdf":"https://www.ncbi.nlm.nih.gov/pmc/articles/PMC11342308/pdf/","citationCount":"0","resultStr":null,"platform":"Semanticscholar","paperid":null,"PeriodicalName":"Clinical Pathology","FirstCategoryId":"1085","ListUrlMain":"https://doi.org/10.1177/2632010X241276943","RegionNum":0,"RegionCategory":null,"ArticlePicture":[],"TitleCN":null,"AbstractTextCN":null,"PMCID":null,"EPubDate":"2024/1/1 0:00:00","PubModel":"eCollection","JCR":"Q3","JCRName":"PATHOLOGY","Score":null,"Total":0}
引用次数: 0

Abstract

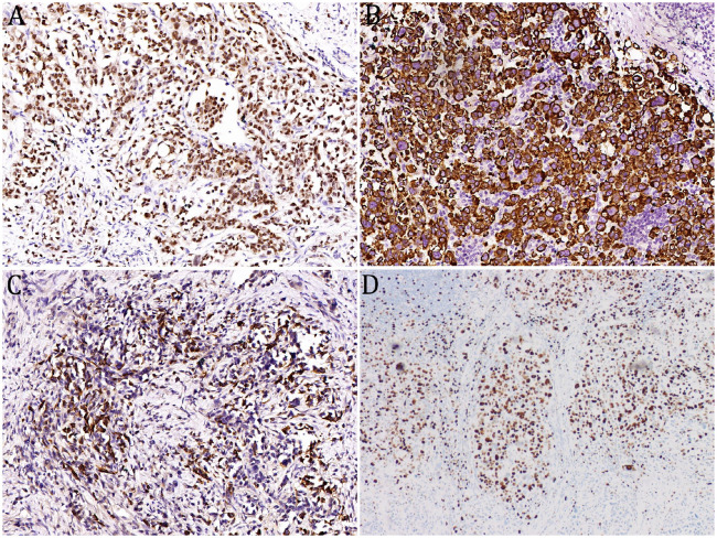
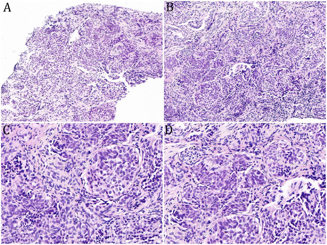
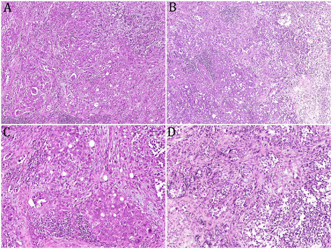
The nested subtype of urothelial carcinoma (NS-UC), a rare and aggressive bladder cancer, mimics benign bladder lesions but behaves like high-grade urothelial carcinomas. The author reported a rare case of NS-UC, initially presenting with inguinal lymph node metastasis. The tumor cells of NS-UC exhibit minimal cellular atypia, forming small nests, while the tumor cells of lymph node metastatic carcinoma show greater cellular atypia with diverse structures. Immunohistochemistry is helpful in determining the origin of lymph node metastatic carcinoma. NS-UC often presents morphologically similar to benign lesions, which should be given sufficient attention.

Abstract Image

Abstract Image

Abstract Image

以淋巴结转移为首发症状的嵌顿亚型尿路上皮癌的临床和病理特征:病例报告。
巢状亚型尿路上皮癌(NS-UC)是一种罕见的侵袭性膀胱癌,它模仿良性膀胱病变,但表现与高级别尿路上皮癌相似。作者报告了一例罕见的NS-UC,最初表现为腹股沟淋巴结转移。NS-UC的肿瘤细胞表现出极少的细胞不典型性,形成小巢状,而淋巴结转移癌的肿瘤细胞则表现出较大的细胞不典型性,结构多样。免疫组化有助于确定淋巴结转移癌的来源。NS-UC往往与良性病变形态相似,应引起足够重视。
本文章由计算机程序翻译,如有差异,请以英文原文为准。
求助全文
约1分钟内获得全文 求助全文
来源期刊
Clinical Pathology
Clinical Pathology PATHOLOGY-
CiteScore
2.20
自引率
7.70%
发文量
66
×
引用
GB/T 7714-2015
复制
MLA
复制
APA
复制
导出至
BibTeX EndNote RefMan NoteFirst NoteExpress
×
提示
您的信息不完整,为了账户安全,请先补充。
现在去补充
×
提示
您因"违规操作"
具体请查看互助需知
我知道了
×
提示
确定
请完成安全验证×
copy
已复制链接
快去分享给好友吧!
我知道了
右上角分享
点击右上角分享
0
联系我们:info@booksci.cn Book学术提供免费学术资源搜索服务,方便国内外学者检索中英文文献。致力于提供最便捷和优质的服务体验。 Copyright © 2023 布克学术 All rights reserved.
京ICP备2023020795号-1
ghs 京公网安备 11010802042870号
Book学术文献互助
Book学术文献互助群
群 号:604180095
Book学术官方微信