T2-fluid attenuated inversion recovery fat-suppressed mismatch in the identification and characterization of lesions related to radiologically isolated syndrome.

IF 0.5 Q4 RADIOLOGY, NUCLEAR MEDICINE & MEDICAL IMAGING
BJR Case Reports Pub Date : 2024-08-13 eCollection Date: 2024-07-01 DOI:10.1093/bjrcr/uaae028
Darin T Okuda, Christine Lebrun-Frenay
{"title":"T2-fluid attenuated inversion recovery fat-suppressed mismatch in the identification and characterization of lesions related to radiologically isolated syndrome.","authors":"Darin T Okuda, Christine Lebrun-Frenay","doi":"10.1093/bjrcr/uaae028","DOIUrl":null,"url":null,"abstract":"<p><p>The radiologically isolated syndrome is defined by the presence of incidentally identified T2-weighted hyperintense lesions, highly suggestive of central nervous system demyelination, following an MRI study that is performed for reasons other than for the investigation of symptoms related to multiple sclerosis (MS). These individuals also have no evidence of prior neurological symptoms associated with inflammatory demyelination and no alternative explanation for the observed MRI findings. Recently, the introduction of novel imaging techniques such as the \"central vein sign\" has improved lesion specificity for MS. In addition, the observation of T2-fluid attenuated inversion recovery (FLAIR) mismatch characteristics associated with gliomas and in those with MS with a higher disease burden appear to provide morphological data that relate to disease severity. The value of T2-FLAIR mismatch characteristics in discrete multi-focal lesions has not yet been well defined. Here, we present the value of a fat-suppressed T2-FLAIR sequence in the identification and characterization of T2-weighted hyperintensities resulting from inflammatory demyelination.</p>","PeriodicalId":45216,"journal":{"name":"BJR Case Reports","volume":"10 4","pages":"uaae028"},"PeriodicalIF":0.5000,"publicationDate":"2024-08-13","publicationTypes":"Journal Article","fieldsOfStudy":null,"isOpenAccess":false,"openAccessPdf":"https://www.ncbi.nlm.nih.gov/pmc/articles/PMC11344588/pdf/","citationCount":"0","resultStr":null,"platform":"Semanticscholar","paperid":null,"PeriodicalName":"BJR Case Reports","FirstCategoryId":"1085","ListUrlMain":"https://doi.org/10.1093/bjrcr/uaae028","RegionNum":0,"RegionCategory":null,"ArticlePicture":[],"TitleCN":null,"AbstractTextCN":null,"PMCID":null,"EPubDate":"2024/7/1 0:00:00","PubModel":"eCollection","JCR":"Q4","JCRName":"RADIOLOGY, NUCLEAR MEDICINE & MEDICAL IMAGING","Score":null,"Total":0}
引用次数: 0

Abstract

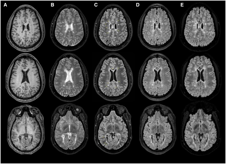
The radiologically isolated syndrome is defined by the presence of incidentally identified T2-weighted hyperintense lesions, highly suggestive of central nervous system demyelination, following an MRI study that is performed for reasons other than for the investigation of symptoms related to multiple sclerosis (MS). These individuals also have no evidence of prior neurological symptoms associated with inflammatory demyelination and no alternative explanation for the observed MRI findings. Recently, the introduction of novel imaging techniques such as the "central vein sign" has improved lesion specificity for MS. In addition, the observation of T2-fluid attenuated inversion recovery (FLAIR) mismatch characteristics associated with gliomas and in those with MS with a higher disease burden appear to provide morphological data that relate to disease severity. The value of T2-FLAIR mismatch characteristics in discrete multi-focal lesions has not yet been well defined. Here, we present the value of a fat-suppressed T2-FLAIR sequence in the identification and characterization of T2-weighted hyperintensities resulting from inflammatory demyelination.

Abstract Image

T2-流体衰减反转恢复脂肪抑制错配在放射学孤立综合征相关病变的识别和定性中的应用。
放射学孤立综合征的定义是,在进行核磁共振成像检查后偶然发现 T2 加权高强度病变,高度提示中枢神经系统脱髓鞘,而检查的原因并非与多发性硬化(MS)相关的症状。这些患者之前也没有与炎症性脱髓鞘相关的神经系统症状的证据,也无法对所观察到的核磁共振成像结果做出其他解释。最近,"中央静脉征 "等新型成像技术的引入提高了多发性硬化病变的特异性。此外,与胶质瘤相关的T2-流体衰减反转恢复(FLAIR)错配特征以及在疾病负担较重的多发性硬化症患者中的观察结果似乎提供了与疾病严重程度相关的形态学数据。T2-FLAIR错配特征在离散多灶病变中的价值尚未得到很好的定义。在此,我们介绍了脂肪抑制 T2-FLAIR 序列在识别和描述炎性脱髓鞘引起的 T2 加权高密度中的价值。
本文章由计算机程序翻译,如有差异,请以英文原文为准。
求助全文
约1分钟内获得全文 求助全文
来源期刊
BJR Case Reports
BJR Case Reports RADIOLOGY, NUCLEAR MEDICINE & MEDICAL IMAGING-
自引率
0.00%
发文量
77
审稿时长
11 weeks
×
引用
GB/T 7714-2015
复制
MLA
复制
APA
复制
导出至
BibTeX EndNote RefMan NoteFirst NoteExpress
×
提示
您的信息不完整,为了账户安全,请先补充。
现在去补充
×
提示
您因"违规操作"
具体请查看互助需知
我知道了
×
提示
确定
请完成安全验证×
copy
已复制链接
快去分享给好友吧!
我知道了
右上角分享
点击右上角分享
0
联系我们:info@booksci.cn Book学术提供免费学术资源搜索服务,方便国内外学者检索中英文文献。致力于提供最便捷和优质的服务体验。 Copyright © 2023 布克学术 All rights reserved.
京ICP备2023020795号-1
ghs 京公网安备 11010802042870号
Book学术文献互助
Book学术文献互助群
群 号:604180095
Book学术官方微信