[Practical guidance for the implantation of non-transvenous ICD systems].

Q4 Medicine
David Duncker, Karolin Albert, Andreas Rillig, Philipp Sommer, Christian-Hendrik Heeger, Melanie Gunawardene, Sascha Rolf, Henning Jansen, Heidi Estner, Till Althoff, Tilman Maurer, Roland Tilz, Leon Iden, Victoria Johnson, Daniel Steven
{"title":"[Practical guidance for the implantation of non-transvenous ICD systems].","authors":"David Duncker, Karolin Albert, Andreas Rillig, Philipp Sommer, Christian-Hendrik Heeger, Melanie Gunawardene, Sascha Rolf, Henning Jansen, Heidi Estner, Till Althoff, Tilman Maurer, Roland Tilz, Leon Iden, Victoria Johnson, Daniel Steven","doi":"10.1007/s00399-024-01042-w","DOIUrl":null,"url":null,"abstract":"<p><p>As an alternative to transvenous ICD systems, two non-transvenous ICD systems have been established in recent years: The subcutaneous ICD (S-ICD), which has been established for several years, has a presternal electrode that is implanted subcutaneously and offers a shock function and, to a limited extent, post-shock pacing. In addition, the extravascular ICD (EV-ICD) has been available in Europe since 2023 which does not require transvenous electrodes and offers the option of providing patients with antibradycardic and antitachycardic stimulation in combination with a conventional ICD function. The lead of this device is implanted substernally. Initial implantation results are promising in terms of safety and effectiveness. Both systems avoid possible complications of transvenous electrodes. This article provides practical guidance for the implantation technique and possible complications.</p>","PeriodicalId":52403,"journal":{"name":"Herzschrittmachertherapie und Elektrophysiologie","volume":" ","pages":"226-233"},"PeriodicalIF":0.0000,"publicationDate":"2024-09-01","publicationTypes":"Journal Article","fieldsOfStudy":null,"isOpenAccess":false,"openAccessPdf":"https://www.ncbi.nlm.nih.gov/pmc/articles/PMC11347474/pdf/","citationCount":"0","resultStr":null,"platform":"Semanticscholar","paperid":null,"PeriodicalName":"Herzschrittmachertherapie und Elektrophysiologie","FirstCategoryId":"1085","ListUrlMain":"https://doi.org/10.1007/s00399-024-01042-w","RegionNum":0,"RegionCategory":null,"ArticlePicture":[],"TitleCN":null,"AbstractTextCN":null,"PMCID":null,"EPubDate":"2024/8/21 0:00:00","PubModel":"Epub","JCR":"Q4","JCRName":"Medicine","Score":null,"Total":0}
引用次数: 0

Abstract

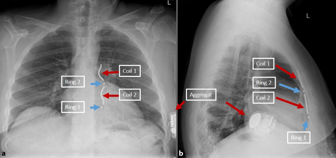
As an alternative to transvenous ICD systems, two non-transvenous ICD systems have been established in recent years: The subcutaneous ICD (S-ICD), which has been established for several years, has a presternal electrode that is implanted subcutaneously and offers a shock function and, to a limited extent, post-shock pacing. In addition, the extravascular ICD (EV-ICD) has been available in Europe since 2023 which does not require transvenous electrodes and offers the option of providing patients with antibradycardic and antitachycardic stimulation in combination with a conventional ICD function. The lead of this device is implanted substernally. Initial implantation results are promising in terms of safety and effectiveness. Both systems avoid possible complications of transvenous electrodes. This article provides practical guidance for the implantation technique and possible complications.

Abstract Image

Abstract Image

Abstract Image

[非经脉 ICD 系统植入实用指南]。
作为经静脉 ICD 系统的替代方案,近年来出现了两种非经静脉 ICD 系统:皮下 ICD(S-ICD)已问世数年,其胸骨前电极植入皮下,具有电击功能,并在一定程度上提供电击后起搏。此外,血管外 ICD(EV-ICD)已于 2023 年在欧洲上市,它不需要经静脉电极,可为患者提供抗心动过缓和抗心动过速刺激以及传统的 ICD 功能。该设备的导联是在体下植入的。就安全性和有效性而言,初步植入结果令人满意。这两种系统都避免了经静脉电极可能出现的并发症。本文就植入技术和可能出现的并发症提供实用指导。
本文章由计算机程序翻译,如有差异,请以英文原文为准。
求助全文
约1分钟内获得全文 求助全文
来源期刊
Herzschrittmachertherapie und Elektrophysiologie
Herzschrittmachertherapie und Elektrophysiologie Medicine-Cardiology and Cardiovascular Medicine
CiteScore
1.10
自引率
0.00%
发文量
76
期刊介绍: Mit wissenschaftlichen Original- und Übersichtsarbeiten, Berichten über moderne Operationstechniken und experimentelle Methoden ist die Zeitschrift Herzschrittmachertherapie + Elektrophysiologie ein Diskussionsforum für Themen wie: - Zelluläre Elektrophysiologie - Theoretische Elektrophysiologie - Klinische Elektrophysiologie - Angewandte Herzschrittmachertherapie - Bradykarde und tachykarde Herzrhythmusstörungen - Plötzlicher Herztod und Risikostratifikation - Elektrokardiographie - Elektromedizinische Technologie - Experimentelle und klinische Pharmakologie - Herzchirurgie bei Herzrhythmusstörungen Mitteilungen der Arbeitsgruppen Herzschrittmacher und Arrhythmie der Deutschen Gesellschaft für Kardiologie - Herz und Kreislaufforschung e.V. (DGK) sowie Stellungnahmen und praktische Hinweise runden das breite Spektrum dieser Zeitschrift ab. Interessensgebiete: Kardiologie, Herzschrittmachertherapie, Herzschrittmachertechnologie, klinische Elektrophysiologie
×
引用
GB/T 7714-2015
复制
MLA
复制
APA
复制
导出至
BibTeX EndNote RefMan NoteFirst NoteExpress
×
提示
您的信息不完整,为了账户安全,请先补充。
现在去补充
×
提示
您因"违规操作"
具体请查看互助需知
我知道了
×
提示
确定
请完成安全验证×
copy
已复制链接
快去分享给好友吧!
我知道了
右上角分享
点击右上角分享
0
联系我们:info@booksci.cn Book学术提供免费学术资源搜索服务,方便国内外学者检索中英文文献。致力于提供最便捷和优质的服务体验。 Copyright © 2023 布克学术 All rights reserved.
京ICP备2023020795号-1
ghs 京公网安备 11010802042870号
Book学术文献互助
Book学术文献互助群
群 号:604180095
Book学术官方微信