Case report: A mesenchymal chondrosarcoma with alternative HEY1::NCOA2 fusions in the sella turcica.

IF 2.3 4区 医学 Q3 ONCOLOGY
Pathology & Oncology Research Pub Date : 2024-08-06 eCollection Date: 2024-01-01 DOI:10.3389/pore.2024.1611730
Satsuki Kishikawa, Akihide Kondo, Takashi Yao, Tsuyoshi Saito
{"title":"Case report: A mesenchymal chondrosarcoma with alternative <i>HEY1::NCOA2</i> fusions in the sella turcica.","authors":"Satsuki Kishikawa, Akihide Kondo, Takashi Yao, Tsuyoshi Saito","doi":"10.3389/pore.2024.1611730","DOIUrl":null,"url":null,"abstract":"<p><strong>Introduction: </strong>Mesenchymal chondrosarcoma (MCS) is a rare subtype of chondrosarcoma that occurs at widespread anatomical locations, such as bone, soft tissue, and intracranial sites. The central nervous system (CNS) is one of the most common origins of extraosseous MCS. However, alternative <i>HEY1::NCOA2</i> fusions have not been reported in this tumor.</p><p><strong>Case report: </strong>We report a case of intracranial MCS with <i>HEY1::NCOA2</i> rearrangement. A 52-year-old woman presented with a 15-mm calcified mass around the sella turcica. She initially underwent transsphenoidal surgery for tumor resection and then additional resections for five local recurrences over 5 years. Histologically, the tumor was composed of small round to spindle-shaped cells admixed with well-differentiated hyaline cartilaginous islands. A hemangiopericytoma-like vascular pattern and small sinusoid-like vessels were also observed. RNA sequencing using RNA extracted from formalin-fixed paraffin-embedded samples from the last operation revealed two alternative variants of the <i>HEY1::NCOA2</i> fusion: <i>HEY1</i>(ex4)::<i>NCOA2</i> (ex13) and <i>HEY1</i>(ex4)::<i>NCOA2</i>(ex14). Both variants were confirmed as in-frame fusions using reverse transcription-polymerase chain reaction.</p><p><strong>Discussion: </strong>Cartilaginous components were often not apparent during the recurrences. In addition to the non-typical pathological finding, the correct diagnosis was hampered by the poor RNA quality of the surgical specimens and non-specific STAT6 nuclear staining.</p><p><strong>Conclusion: </strong>This is the first reported case of intracranial MCS with an alternative <i>HEY1::NCOA2</i> fusion.</p>","PeriodicalId":19981,"journal":{"name":"Pathology & Oncology Research","volume":"30 ","pages":"1611730"},"PeriodicalIF":2.3000,"publicationDate":"2024-08-06","publicationTypes":"Journal Article","fieldsOfStudy":null,"isOpenAccess":false,"openAccessPdf":"https://www.ncbi.nlm.nih.gov/pmc/articles/PMC11333213/pdf/","citationCount":"0","resultStr":null,"platform":"Semanticscholar","paperid":null,"PeriodicalName":"Pathology & Oncology Research","FirstCategoryId":"3","ListUrlMain":"https://doi.org/10.3389/pore.2024.1611730","RegionNum":4,"RegionCategory":"医学","ArticlePicture":[],"TitleCN":null,"AbstractTextCN":null,"PMCID":null,"EPubDate":"2024/1/1 0:00:00","PubModel":"eCollection","JCR":"Q3","JCRName":"ONCOLOGY","Score":null,"Total":0}
引用次数: 0

Abstract

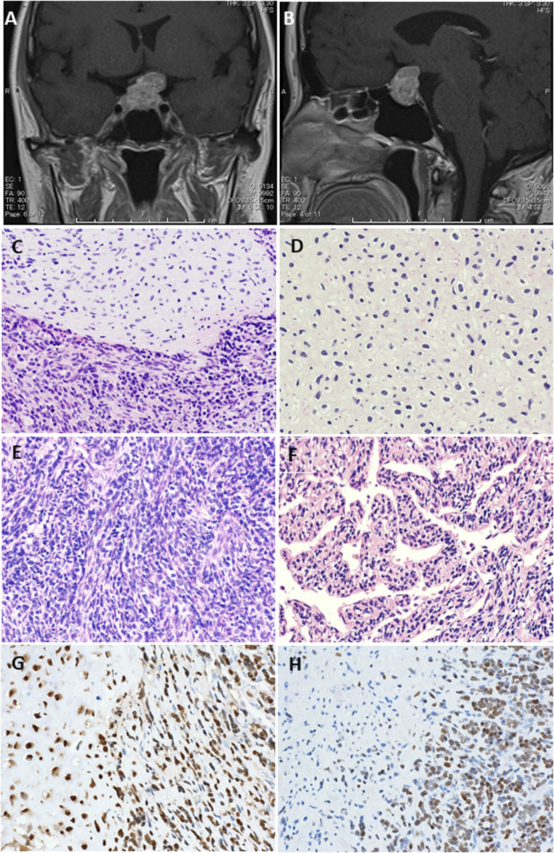
Introduction: Mesenchymal chondrosarcoma (MCS) is a rare subtype of chondrosarcoma that occurs at widespread anatomical locations, such as bone, soft tissue, and intracranial sites. The central nervous system (CNS) is one of the most common origins of extraosseous MCS. However, alternative HEY1::NCOA2 fusions have not been reported in this tumor.

Case report: We report a case of intracranial MCS with HEY1::NCOA2 rearrangement. A 52-year-old woman presented with a 15-mm calcified mass around the sella turcica. She initially underwent transsphenoidal surgery for tumor resection and then additional resections for five local recurrences over 5 years. Histologically, the tumor was composed of small round to spindle-shaped cells admixed with well-differentiated hyaline cartilaginous islands. A hemangiopericytoma-like vascular pattern and small sinusoid-like vessels were also observed. RNA sequencing using RNA extracted from formalin-fixed paraffin-embedded samples from the last operation revealed two alternative variants of the HEY1::NCOA2 fusion: HEY1(ex4)::NCOA2 (ex13) and HEY1(ex4)::NCOA2(ex14). Both variants were confirmed as in-frame fusions using reverse transcription-polymerase chain reaction.

Discussion: Cartilaginous components were often not apparent during the recurrences. In addition to the non-typical pathological finding, the correct diagnosis was hampered by the poor RNA quality of the surgical specimens and non-specific STAT6 nuclear staining.

Conclusion: This is the first reported case of intracranial MCS with an alternative HEY1::NCOA2 fusion.

Abstract Image

Abstract Image

病例报告:一种间充质软骨肉瘤,椎间盘中存在替代性 HEY1::NCOA2 融合。
简介间质软骨肉瘤(MCS)是软骨肉瘤的一种罕见亚型,可发生在骨骼、软组织和颅内等广泛解剖部位。中枢神经系统(CNS)是骨外软骨肉瘤最常见的起源部位之一。然而,在这种肿瘤中,HEY1::NCOA2的替代融合尚未见报道:我们报告了一例伴有 HEY1::NCOA2 重排的颅内 MCS。一名 52 岁的女性患者出现了一个 15 毫米大的钙化肿块,肿块位于蝶鞍周围。她最初接受了经蝶窦手术切除肿瘤,之后又因5年中的5次局部复发接受了切除手术。组织学上,肿瘤由圆形至纺锤形的小细胞组成,其中混杂着分化良好的透明软骨岛。此外,还观察到血管瘤样血管形态和窦状小血管。使用从最后一次手术的福尔马林固定石蜡包埋样本中提取的 RNA 进行 RNA 测序,发现 HEY1::NCOA2 融合体有两种变异:HEY1(ex4)::NCOA2(ex13)和 HEY1(ex4)::NCOA2(ex14)。使用反转录聚合酶链反应证实了这两个变体为框架内融合:讨论:复发时软骨成分往往不明显。除了非典型病理发现外,手术标本的 RNA 质量差和非特异性 STAT6 核染色也阻碍了正确诊断:这是首例报道的颅内MCS伴有HEY1::NCOA2替代融合的病例。
本文章由计算机程序翻译,如有差异,请以英文原文为准。
求助全文
约1分钟内获得全文 求助全文
来源期刊
CiteScore
6.30
自引率
0.00%
发文量
134
审稿时长
4-8 weeks
期刊介绍: Pathology & Oncology Research (POR) is an interdisciplinary Journal at the interface of pathology and oncology including the preclinical and translational research, diagnostics and therapy. Furthermore, POR is an international forum for the rapid communication of reviews, original research, critical and topical reports with excellence and novelty. Published quarterly, POR is dedicated to keeping scientists informed of developments on the selected biomedical fields bridging the gap between basic research and clinical medicine. It is a special aim for POR to promote pathological and oncological publishing activity of colleagues in the Central and East European region. The journal will be of interest to pathologists, and a broad range of experimental and clinical oncologists, and related experts. POR is supported by an acknowledged international advisory board and the Arányi Fundation for modern pathology.
×
引用
GB/T 7714-2015
复制
MLA
复制
APA
复制
导出至
BibTeX EndNote RefMan NoteFirst NoteExpress
×
提示
您的信息不完整,为了账户安全,请先补充。
现在去补充
×
提示
您因"违规操作"
具体请查看互助需知
我知道了
×
提示
确定
请完成安全验证×
copy
已复制链接
快去分享给好友吧!
我知道了
右上角分享
点击右上角分享
0
联系我们:info@booksci.cn Book学术提供免费学术资源搜索服务,方便国内外学者检索中英文文献。致力于提供最便捷和优质的服务体验。 Copyright © 2023 布克学术 All rights reserved.
京ICP备2023020795号-1
ghs 京公网安备 11010802042870号
Book学术文献互助
Book学术文献互助群
群 号:604180095
Book学术官方微信