Bing-Neel Syndrome: An Unknown GCA Mimicker.

Case Reports in Rheumatology Pub Date : 2024-08-12 eCollection Date: 2024-01-01 DOI:10.1155/2024/2043012
Arifa Javed, Sadia Arooj Javed, Barbara Ostrov, Jiang Qian, Khoa Ngo
{"title":"Bing-Neel Syndrome: An Unknown GCA Mimicker.","authors":"Arifa Javed, Sadia Arooj Javed, Barbara Ostrov, Jiang Qian, Khoa Ngo","doi":"10.1155/2024/2043012","DOIUrl":null,"url":null,"abstract":"<p><p>Giant cell arteritis (GCA) is a chronic granulomatous vasculitis of medium and large arteries leading to cranial and extracranial manifestations. Temporal artery biopsy is considered the gold standard; however, its sensitivity is low at 47%. We report a unique case of Bing-Neel Syndrome (BNS) presenting as biopsy-proven GCA. BNS is a rare complication (1%) of Waldenstrom Macroglobulinemia (WM), which results from infiltration of lymph plasmacytoid cells and plasma cells into the central nervous system. A 77-year-old female with a past medical history of glaucoma, hypertension, diabetes, and chronic ocular ischemic syndrome in her right eye presented with progressive left eye vision loss for 5 days. Fundoscopic examination was notable for pseudophakic pseudopallor but no optic disc edema. Intraocular pressure was >40 and normalized after acetazolamide. The patient was started on pulse dose steroids by her neuro-ophthalmologist. She was discharged home on 60 mg of prednisone. At follow up with her neuro-ophthalmologist, new dot blot hemorrhages in the left eye were noted and she was readmitted for pulse dose of intravenous methylprednisolone. Temporal artery biopsy was consistent with GCA spectrum. Work up revealed paraproteinemia and subsequent bone marrow biopsy demonstrated WM. The patient was treated for her WM and her ophthalmic complications stabilized.</p>","PeriodicalId":9622,"journal":{"name":"Case Reports in Rheumatology","volume":"2024 ","pages":"2043012"},"PeriodicalIF":0.0000,"publicationDate":"2024-08-12","publicationTypes":"Journal Article","fieldsOfStudy":null,"isOpenAccess":false,"openAccessPdf":"https://www.ncbi.nlm.nih.gov/pmc/articles/PMC11333131/pdf/","citationCount":"0","resultStr":null,"platform":"Semanticscholar","paperid":null,"PeriodicalName":"Case Reports in Rheumatology","FirstCategoryId":"1085","ListUrlMain":"https://doi.org/10.1155/2024/2043012","RegionNum":0,"RegionCategory":null,"ArticlePicture":[],"TitleCN":null,"AbstractTextCN":null,"PMCID":null,"EPubDate":"2024/1/1 0:00:00","PubModel":"eCollection","JCR":"","JCRName":"","Score":null,"Total":0}
引用次数: 0

Abstract

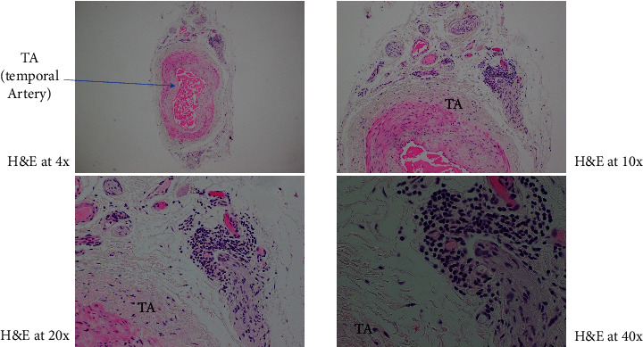
Giant cell arteritis (GCA) is a chronic granulomatous vasculitis of medium and large arteries leading to cranial and extracranial manifestations. Temporal artery biopsy is considered the gold standard; however, its sensitivity is low at 47%. We report a unique case of Bing-Neel Syndrome (BNS) presenting as biopsy-proven GCA. BNS is a rare complication (1%) of Waldenstrom Macroglobulinemia (WM), which results from infiltration of lymph plasmacytoid cells and plasma cells into the central nervous system. A 77-year-old female with a past medical history of glaucoma, hypertension, diabetes, and chronic ocular ischemic syndrome in her right eye presented with progressive left eye vision loss for 5 days. Fundoscopic examination was notable for pseudophakic pseudopallor but no optic disc edema. Intraocular pressure was >40 and normalized after acetazolamide. The patient was started on pulse dose steroids by her neuro-ophthalmologist. She was discharged home on 60 mg of prednisone. At follow up with her neuro-ophthalmologist, new dot blot hemorrhages in the left eye were noted and she was readmitted for pulse dose of intravenous methylprednisolone. Temporal artery biopsy was consistent with GCA spectrum. Work up revealed paraproteinemia and subsequent bone marrow biopsy demonstrated WM. The patient was treated for her WM and her ophthalmic complications stabilized.

Abstract Image

Abstract Image

Abstract Image

宾-内尔综合征:一种未知的 GCA 拟态
巨细胞动脉炎(GCA)是一种慢性肉芽肿性血管炎,好发于中动脉和大动脉,可导致颅内和颅外表现。颞动脉活检被认为是金标准,但其敏感性较低,仅为 47%。我们报告了一例独特的宾-尼尔综合征(BNS)病例,其表现为活检证实的 GCA。BNS是瓦尔登斯特罗姆巨球蛋白血症(WM)的一种罕见并发症(1%),是淋巴浆细胞和浆细胞浸润中枢神经系统所致。一名 77 岁女性患者,既往有青光眼、高血压、糖尿病病史,右眼患有慢性眼缺血综合征,5 天前出现左眼进行性视力下降。眼底镜检查发现假性青光眼,但无视盘水肿。眼压>40,服用乙酰唑胺后恢复正常。神经眼科医生开始给患者使用脉冲剂量的类固醇。她在服用了 60 毫克强的松后出院回家。在神经眼科医生的复诊中,她发现左眼有新的点状出血,于是再次入院接受脉冲剂量的甲基强的松龙静脉注射。颞动脉活检结果与 GCA 病谱一致。检查发现她患有副蛋白血症,随后的骨髓活检显示她患有 WM。患者接受了白血病治疗,眼部并发症趋于稳定。
本文章由计算机程序翻译,如有差异,请以英文原文为准。
求助全文
约1分钟内获得全文 求助全文
来源期刊
自引率
0.00%
发文量
35
审稿时长
12 weeks
×
引用
GB/T 7714-2015
复制
MLA
复制
APA
复制
导出至
BibTeX EndNote RefMan NoteFirst NoteExpress
×
提示
您的信息不完整,为了账户安全,请先补充。
现在去补充
×
提示
您因"违规操作"
具体请查看互助需知
我知道了
×
提示
确定
请完成安全验证×
copy
已复制链接
快去分享给好友吧!
我知道了
右上角分享
点击右上角分享
0
联系我们:info@booksci.cn Book学术提供免费学术资源搜索服务,方便国内外学者检索中英文文献。致力于提供最便捷和优质的服务体验。 Copyright © 2023 布克学术 All rights reserved.
京ICP备2023020795号-1
ghs 京公网安备 11010802042870号
Book学术文献互助
Book学术文献互助群
群 号:604180095
Book学术官方微信