Prevalence of RNF213 rs112735431 Genetic Polymorphism in Non-Cardioembolic Ischemic Cerebrovascular Disease: A Cross-Sectional Study in Thai Patients.

IF 2.1 Q3 PERIPHERAL VASCULAR DISEASE
Cerebrovascular Diseases Extra Pub Date : 2024-01-01 Epub Date: 2024-08-19 DOI:10.1159/000540758
Suporn Travanichakul, Aurauma Chutinet, Naruchorn Kijpaisalratana, Thiti Snabboon, Natnicha Houngngam, Nijasri C Suwanwela
{"title":"Prevalence of RNF213 rs112735431 Genetic Polymorphism in Non-Cardioembolic Ischemic Cerebrovascular Disease: A Cross-Sectional Study in Thai Patients.","authors":"Suporn Travanichakul, Aurauma Chutinet, Naruchorn Kijpaisalratana, Thiti Snabboon, Natnicha Houngngam, Nijasri C Suwanwela","doi":"10.1159/000540758","DOIUrl":null,"url":null,"abstract":"<p><strong>Introduction: </strong>Moyamoya disease (MMD) and non-MMD intracranial cerebral artery stenosis (ICAS) have been linked to the RNF213 rs112735431 gene in Korean and Japanese populations. This cross-sectional study investigates the prevalence of the RNF213 rs112735431 gene in non-cardioembolic ischemic stroke (NCIS) among Thai patients.</p><p><strong>Methods: </strong>A cross-sectional investigation was conducted on patients aged 18 years or older admitted to King Chulalongkorn Memorial Hospital between June 2015 and March 2016 with acute NCIS. ICAS and extracranial carotid artery stenosis (ECAS) were assessed through computer tomography angiography or magnetic resonance angiography. Blood samples were collected, and Sanger sequencing was performed.</p><p><strong>Results: </strong>Among 234 acute NCIS cases, 113 exhibited ICAS, 12 had ECAS, 20 had both, and 89 had neither. The RNF213 rs112735431 gene variant was detected in 2 patients, both heterozygous A/G. The frequency of the RNF213 rs112735431 variant was 0.9% (2/234; 95% CI: 0-2.1%) in acute NCIS patients and 1.8% (2/113; 95% CI: 0-4.2%) in ICAS. All individuals with the RNF213 variant were males with hypertension, diabetes mellitus, dyslipidemia, and ICAS, without a family history of ischemic stroke.</p><p><strong>Conclusion: </strong>This study reveals that the RNF213 rs112735431 gene variant is uncommon among Thai NCIS patients, suggesting a discrepancy in the prevalence of this genetic variation between Thai and other Eastern Asian populations.</p>","PeriodicalId":45709,"journal":{"name":"Cerebrovascular Diseases Extra","volume":" ","pages":"118-124"},"PeriodicalIF":2.1000,"publicationDate":"2024-01-01","publicationTypes":"Journal Article","fieldsOfStudy":null,"isOpenAccess":false,"openAccessPdf":"https://www.ncbi.nlm.nih.gov/pmc/articles/PMC11521473/pdf/","citationCount":"0","resultStr":null,"platform":"Semanticscholar","paperid":null,"PeriodicalName":"Cerebrovascular Diseases Extra","FirstCategoryId":"1085","ListUrlMain":"https://doi.org/10.1159/000540758","RegionNum":0,"RegionCategory":null,"ArticlePicture":[],"TitleCN":null,"AbstractTextCN":null,"PMCID":null,"EPubDate":"2024/8/19 0:00:00","PubModel":"Epub","JCR":"Q3","JCRName":"PERIPHERAL VASCULAR DISEASE","Score":null,"Total":0}
引用次数: 0

Abstract

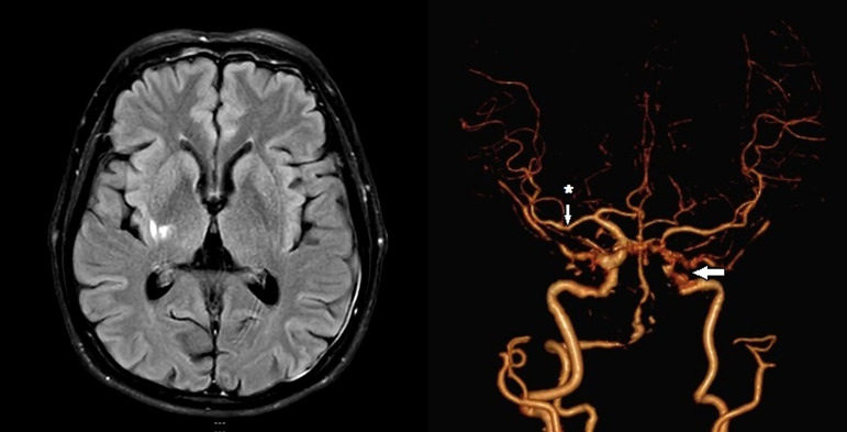
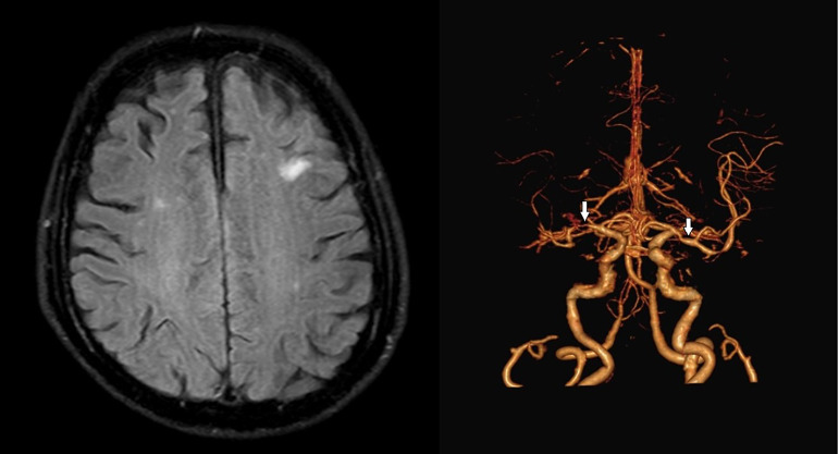
Introduction: Moyamoya disease (MMD) and non-MMD intracranial cerebral artery stenosis (ICAS) have been linked to the RNF213 rs112735431 gene in Korean and Japanese populations. This cross-sectional study investigates the prevalence of the RNF213 rs112735431 gene in non-cardioembolic ischemic stroke (NCIS) among Thai patients.

Methods: A cross-sectional investigation was conducted on patients aged 18 years or older admitted to King Chulalongkorn Memorial Hospital between June 2015 and March 2016 with acute NCIS. ICAS and extracranial carotid artery stenosis (ECAS) were assessed through computer tomography angiography or magnetic resonance angiography. Blood samples were collected, and Sanger sequencing was performed.

Results: Among 234 acute NCIS cases, 113 exhibited ICAS, 12 had ECAS, 20 had both, and 89 had neither. The RNF213 rs112735431 gene variant was detected in 2 patients, both heterozygous A/G. The frequency of the RNF213 rs112735431 variant was 0.9% (2/234; 95% CI: 0-2.1%) in acute NCIS patients and 1.8% (2/113; 95% CI: 0-4.2%) in ICAS. All individuals with the RNF213 variant were males with hypertension, diabetes mellitus, dyslipidemia, and ICAS, without a family history of ischemic stroke.

Conclusion: This study reveals that the RNF213 rs112735431 gene variant is uncommon among Thai NCIS patients, suggesting a discrepancy in the prevalence of this genetic variation between Thai and other Eastern Asian populations.

Abstract Image

Abstract Image

RNF213 rs112735431 基因多态性在非心栓性缺血性脑血管病中的流行率:泰国患者的横断面研究。
导言:在韩国和日本人群中,莫亚莫亚病(MMD)和非MMD颅内脑动脉狭窄(ICAS)与RNF213 rs112735431基因有关。本横断面研究调查了 RNF213 rs112735431 基因在泰国非心栓性缺血性中风(NCIS)患者中的流行情况:方法:对2015年6月至2016年3月期间在朱拉隆功国王纪念医院住院的18岁以上急性NCIS患者进行横断面调查。通过计算机断层扫描血管造影术或磁共振血管造影术对ICAS和颅外颈动脉狭窄(ECAS)进行评估。采集血样并进行桑格测序:结果:在234例急性NCIS病例中,113例表现为ICAS,12例为ECAS,20例两者均有,89例两者均无。2例患者检测到RNF213 rs112735431基因变异,均为杂合子A/G。在急性 NCIS 患者中,RNF213 rs112735431 变异的频率为 0.9%(2/234;95% CI,0-2.1%),而在 ICAS 患者中,RNF213 rs112735431 变异的频率为 1.8%(2/113;95% CI,0-4.2%)。所有RNF213变异个体均为男性,患有高血压、糖尿病、血脂异常和ICAS,无缺血性卒中家族史:本研究显示,RNF213 rs112735431 基因变异在泰国 NCIS 患者中并不常见,这表明泰国和其他东亚人群在该基因变异的发生率上存在差异。
本文章由计算机程序翻译,如有差异,请以英文原文为准。
求助全文
约1分钟内获得全文 求助全文
来源期刊
Cerebrovascular Diseases Extra
Cerebrovascular Diseases Extra PERIPHERAL VASCULAR DISEASE-
CiteScore
3.50
自引率
0.00%
发文量
16
审稿时长
8 weeks
期刊介绍: This open access and online-only journal publishes original articles covering the entire spectrum of stroke and cerebrovascular research, drawing from a variety of specialties such as neurology, internal medicine, surgery, radiology, epidemiology, cardiology, hematology, psychology and rehabilitation. Offering an international forum, it meets the growing need for sophisticated, up-to-date scientific information on clinical data, diagnostic testing, and therapeutic issues. The journal publishes original contributions, reviews of selected topics as well as clinical investigative studies. All aspects related to clinical advances are considered, while purely experimental work appears only if directly relevant to clinical issues. Cerebrovascular Diseases Extra provides additional contents based on reviewed and accepted submissions to the main journal Cerebrovascular Diseases.
×
引用
GB/T 7714-2015
复制
MLA
复制
APA
复制
导出至
BibTeX EndNote RefMan NoteFirst NoteExpress
×
提示
您的信息不完整,为了账户安全,请先补充。
现在去补充
×
提示
您因"违规操作"
具体请查看互助需知
我知道了
×
提示
确定
请完成安全验证×
copy
已复制链接
快去分享给好友吧!
我知道了
右上角分享
点击右上角分享
0
联系我们:info@booksci.cn Book学术提供免费学术资源搜索服务,方便国内外学者检索中英文文献。致力于提供最便捷和优质的服务体验。 Copyright © 2023 布克学术 All rights reserved.
京ICP备2023020795号-1
ghs 京公网安备 11010802042870号
Book学术文献互助
Book学术文献互助群
群 号:604180095
Book学术官方微信