Pexidartinib Upfront in a Case of Tenosynovial Giant Cell Tumor: Proof of Concept for a Treatment Paradigm Shift.

IF 3.2 Q2 ONCOLOGY
Oncology and Therapy Pub Date : 2024-12-01 Epub Date: 2024-08-19 DOI:10.1007/s40487-024-00298-z
Emanuela Palmerini, Giuliano Peta, Gianmarco Tuzzato
{"title":"Pexidartinib Upfront in a Case of Tenosynovial Giant Cell Tumor: Proof of Concept for a Treatment Paradigm Shift.","authors":"Emanuela Palmerini, Giuliano Peta, Gianmarco Tuzzato","doi":"10.1007/s40487-024-00298-z","DOIUrl":null,"url":null,"abstract":"<p><strong>Background: </strong>Tenosynovial giant cell tumor (TGCT) is a rare, locally aggressive tumor of the joints, bursa, and tendon sheath that can cause considerable pain and substantial morbidity. Although surgery is the primary treatment for patients with TGCT, surgical resection is associated with high rates of recurrence, particularly for patients with diffuse TGCT. Pexidartinib, a colony-stimulating factor 1 receptor inhibitor, is approved by the US Food and Drug Administration for the treatment of adult patients with symptomatic TGCT associated with severe morbidity or functional limitations and not amenable to improvement with surgery.</p><p><strong>Case description: </strong>A 32-year-old man presented with intra-articular diffuse TGCT with pain and received noncurative treatment for 5 years (2014-2019). In 2019, the patient was found to have extensive disease accompanied by pain and limited range of motion. The patient's case was presented to a sarcoma multidisciplinary tumor board, who determined that surgery would cause significant morbidity and macroscopic residual tumor. As a result of the extent of disease, young age, and otherwise good health, treatment with pexidartinib was started through a compassionate use program at 800 mg/day. After dose reductions to pexidartinib at 400 mg/day and then 200 mg/day as a result of creatine phosphokinase elevations, the patient achieved a complete response after 2 years of treatment; pain was reduced and mobility was restored. The patient reported no side effects related to pexidartinib treatment. Treatment was stopped in 2022 for future family planning. After pexidartinib therapy was interrupted, the patient's wife had a successful pregnancy and delivery; however, the disease showed a slow but constant clinical deterioration, with a reduction in the range of movement of the affected knee and an apparent increase in widespread TGCT nodules.</p><p><strong>Conclusion: </strong>Our case is unique because it provides support for pexidartinib use as upfront therapy for TGCT, instead of surgery, in selected cases.</p>","PeriodicalId":44205,"journal":{"name":"Oncology and Therapy","volume":" ","pages":"833-841"},"PeriodicalIF":3.2000,"publicationDate":"2024-12-01","publicationTypes":"Journal Article","fieldsOfStudy":null,"isOpenAccess":false,"openAccessPdf":"https://www.ncbi.nlm.nih.gov/pmc/articles/PMC11573934/pdf/","citationCount":"0","resultStr":null,"platform":"Semanticscholar","paperid":null,"PeriodicalName":"Oncology and Therapy","FirstCategoryId":"1085","ListUrlMain":"https://doi.org/10.1007/s40487-024-00298-z","RegionNum":0,"RegionCategory":null,"ArticlePicture":[],"TitleCN":null,"AbstractTextCN":null,"PMCID":null,"EPubDate":"2024/8/19 0:00:00","PubModel":"Epub","JCR":"Q2","JCRName":"ONCOLOGY","Score":null,"Total":0}
引用次数: 0

Abstract

Background: Tenosynovial giant cell tumor (TGCT) is a rare, locally aggressive tumor of the joints, bursa, and tendon sheath that can cause considerable pain and substantial morbidity. Although surgery is the primary treatment for patients with TGCT, surgical resection is associated with high rates of recurrence, particularly for patients with diffuse TGCT. Pexidartinib, a colony-stimulating factor 1 receptor inhibitor, is approved by the US Food and Drug Administration for the treatment of adult patients with symptomatic TGCT associated with severe morbidity or functional limitations and not amenable to improvement with surgery.

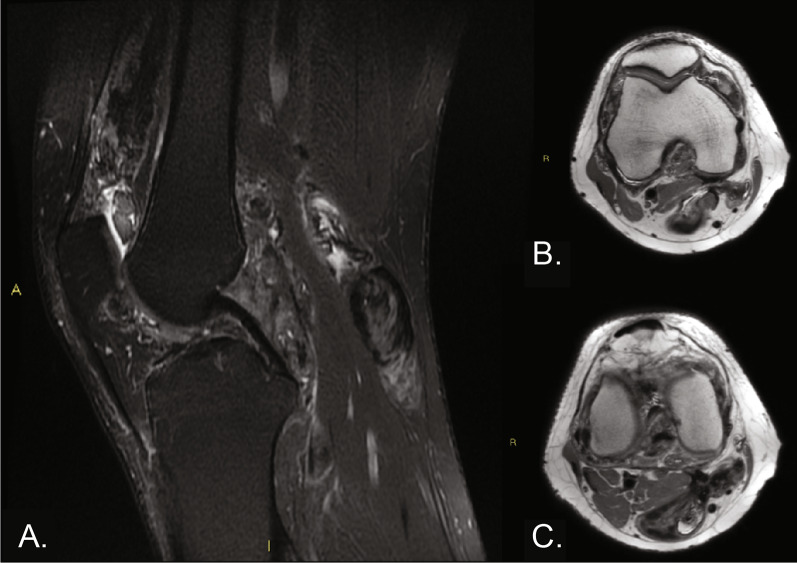
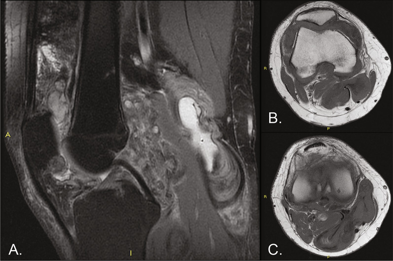
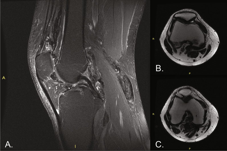
Case description: A 32-year-old man presented with intra-articular diffuse TGCT with pain and received noncurative treatment for 5 years (2014-2019). In 2019, the patient was found to have extensive disease accompanied by pain and limited range of motion. The patient's case was presented to a sarcoma multidisciplinary tumor board, who determined that surgery would cause significant morbidity and macroscopic residual tumor. As a result of the extent of disease, young age, and otherwise good health, treatment with pexidartinib was started through a compassionate use program at 800 mg/day. After dose reductions to pexidartinib at 400 mg/day and then 200 mg/day as a result of creatine phosphokinase elevations, the patient achieved a complete response after 2 years of treatment; pain was reduced and mobility was restored. The patient reported no side effects related to pexidartinib treatment. Treatment was stopped in 2022 for future family planning. After pexidartinib therapy was interrupted, the patient's wife had a successful pregnancy and delivery; however, the disease showed a slow but constant clinical deterioration, with a reduction in the range of movement of the affected knee and an apparent increase in widespread TGCT nodules.

Conclusion: Our case is unique because it provides support for pexidartinib use as upfront therapy for TGCT, instead of surgery, in selected cases.

Abstract Image

Abstract Image

Abstract Image

在一例腱鞘巨细胞瘤病例中先期使用培昔达替尼:治疗范式转变的概念证明
背景:腱鞘巨细胞瘤(TGCT腱鞘巨细胞瘤(TGCT)是一种罕见的局部侵袭性关节、滑囊和腱鞘肿瘤,可引起剧烈疼痛和严重的发病率。虽然手术是治疗 TGCT 患者的主要方法,但手术切除与高复发率有关,尤其是对于弥漫性 TGCT 患者。佩西达替尼是一种集落刺激因子 1 受体抑制剂,已被美国食品和药物管理局批准用于治疗伴有严重发病或功能受限且手术无法改善的无症状 TGCT 成年患者:一名 32 岁的男子因关节内弥漫性 TGCT 疼痛就诊,接受了 5 年(2014-2019 年)的非治愈性治疗。2019 年,患者被发现患有广泛的疾病,并伴有疼痛和活动范围受限。患者的病例被提交给肉瘤多学科肿瘤委员会,该委员会认为手术会导致严重的发病率和大面积肿瘤残留。由于患者病情严重、年龄较轻且健康状况良好,因此通过同情使用计划开始使用哌西他替尼治疗,剂量为800毫克/天。由于肌酸磷酸激酶升高,患者先后将培西达替尼的剂量降至400毫克/天和200毫克/天,经过2年的治疗,患者获得了完全应答;疼痛减轻,活动能力恢复。患者没有报告与培西达替尼治疗相关的副作用。为了将来的计划生育,患者于2022年停止了治疗。佩西达替尼治疗中断后,患者的妻子成功怀孕并分娩;然而,病情出现了缓慢但持续的临床恶化,患膝活动范围缩小,广泛的TGCT结节明显增多:我们的病例很独特,因为它支持在选定病例中将培西达替尼作为TGCT的前期治疗,而不是手术。
本文章由计算机程序翻译,如有差异,请以英文原文为准。
求助全文
约1分钟内获得全文 求助全文
来源期刊
CiteScore
3.40
自引率
0.00%
发文量
31
审稿时长
6 weeks
期刊介绍: Now indexed in PubMed Aims and Scope Oncology and Therapy is an international, peer reviewed, rapid-publication (peer review in 2 weeks, published 3–4 weeks from acceptance) journal dedicated to the publication of high-quality pre-clinical, clinical (all phases), observational, real-world, and health outcomes research around the discovery, development, and use of therapeutics and interventions (including devices) across all therapeutic areas. Studies relating to diagnostics and diagnosis, pharmacoeconomics, public health, epidemiology, quality of life, and patient care, management, and education are also encouraged. The journal is of interest to a broad audience of healthcare professionals and publishes original research, reviews, communications and letters. The journal is read by a global audience and receives submissions from all over the world. Oncology and Therapy will consider all scientifically sound research be it positive, confirmatory or negative data. Submissions are welcomed whether they relate to an international and/or a country-specific audience, something that is crucially important when researchers are trying to target more specific patient populations. This inclusive approach allows the journal to assist in the dissemination of all scientifically and ethically sound research. Rapid Publication The journal’s rapid publication timelines aim for a peer review decision within 2 weeks of submission. If an article is accepted it will be published online 3-4 weeks from acceptance. These rapid timelines are achieved through the combination of a dedicated in-house editorial team, who closely manage article workflow, and an extensive Editorial and Advisory Board who assist with rapid peer review. This allows the journal to support the rapid dissemination of research, whilst still providing robust peer review. Combined with the journal’s open access model this allows for the rapid and efficient communication of the latest research and reviews, allowing the advancement of clinical therapies. Personal Service The journal’s dedicated in-house editorial team offer a personal “concierge service” meaning that authors will always have a personal point of contact able to update them on the status of their manuscript. The editorial team check all manuscripts to ensure that articles conform to the most recent COPE, GPP and ICMJE publishing guidelines. This supports the publication of ethically sound and transparent research. We also encourage pre-submission enquiries and are always happy to provide a confidential assessment of manuscripts. Digital features and plain language summaries Oncology and Therapy offers a range of additional features designed to increase the visibility, readership and educational value of the journal’s content. Each article is accompanied by key summary points, giving a time-efficient overview of the content to a wide readership. Articles may be accompanied by plain language summaries to assist readers who have some knowledge of, but not in-depth expertise in, the area to understand the scientific content and overall implications of the article. The journal also provides the option to include various types of digital features including animated abstracts, video abstracts, slide decks, audio slides, instructional videos, infographics, podcasts and animations. All additional features are peer reviewed to the same high standard as the article itself. If you consider that your paper would benefit from the inclusion of a digital feature, please let us know. Our editorial team are able to create high-quality slide decks and infographics in-house, and video abstracts through our partner Research Square, and would be happy to assist in any way we can. For further information about digital features, please contact the journal editor (see ‘Contact the Journal’ for email address), and see the ‘Guidelines for digital features and plain language summaries’ document under ‘Submission guidelines’. Preprints We encourage posting of preprints of primary research manuscripts on preprint servers, authors'' or institutional websites, and open communications between researchers whether on community preprint servers or preprint commenting platforms. Posting of preprints is not considered prior publication and will not jeopardize consideration in our journals. Please see here for further information on preprint sharing: https://www.springer.com/gp/authors-editors/journal-author/journal-author-helpdesk/submission/1302#c16721550 Peer Review Process Upon submission, manuscripts are assessed by the editorial team to ensure they fit within the aims and scope of the journal and are also checked for plagiarism. All suitable submissions are then subject to a comprehensive single-blind peer review. Reviewers are selected based on their relevant expertise and publication history in the subject area. The journal has an extensive pool of editorial and advisory board members who have been selected to assist with peer review based on the afore-mentioned criteria. At least two extensive reviews are required to make the editorial decision, with the exception of some article types such as Commentaries, Editorials and Letters which are generally reviewed by one member of the Editorial Board. Where reviewer recommendations are conflicted, the editorial board will be contacted for further advice and a presiding decision. Manuscripts are then either accepted, rejected or authors are required to make major or minor revisions (both reviewer comments and editorial comments may need to be addressed). Once a revised manuscript is re-submitted, it is assessed along with the responses to reviewer comments and if it has been adequately revised it will be accepted for publication. Accepted manuscripts are then copyedited and typeset by the production team before online publication. Appeals against decisions following peer review are considered on a case by case basis and should be sent to the journal editor. Copyright Oncology and Therapy''s content is published open access under the Creative Commons Attribution-Noncommercial License, which allows users to read, copy, distribute, and make derivative works for non-commercial purposes from the material, as long as the author of the original work is cited. The author assigns the exclusive right to any commercial use of the article to Springer. For more information about the Creative Commons Attribution-Noncommercial License, click here: http://creativecommons.org/licenses/by-nc/4.0 Publication Fees Upon acceptance of an article, authors will be required to pay the mandatory Rapid Service Fee of £3650/€4500/$5100. The journal will consider fee discounts for developing countries and this is decided on a case by case basis. Open Access All articles published by Oncology and Therapy are published open access Contact For more information about the journal, including pre-submission enquiries, please contact managing editor Lydia Alborn at lydia.alborn@springer.com.
×
引用
GB/T 7714-2015
复制
MLA
复制
APA
复制
导出至
BibTeX EndNote RefMan NoteFirst NoteExpress
×
提示
您的信息不完整,为了账户安全,请先补充。
现在去补充
×
提示
您因"违规操作"
具体请查看互助需知
我知道了
×
提示
确定
请完成安全验证×
copy
已复制链接
快去分享给好友吧!
我知道了
右上角分享
点击右上角分享
0
联系我们:info@booksci.cn Book学术提供免费学术资源搜索服务,方便国内外学者检索中英文文献。致力于提供最便捷和优质的服务体验。 Copyright © 2023 布克学术 All rights reserved.
京ICP备2023020795号-1
ghs 京公网安备 11010802042870号
Book学术文献互助
Book学术文献互助群
群 号:604180095
Book学术官方微信