A Rare Case of Infantile Myofibromatosis With Intra Cranial Involvement.

IF 1.4 Q3 PEDIATRICS
Global Pediatric Health Pub Date : 2024-08-15 eCollection Date: 2024-01-01 DOI:10.1177/2333794X241266564
Fatima Zahrae El Mansoury, Zakia El Yousfi, Ayman El Farouki, Siham El Haddad, Nazik Allali, Latifa Chat
{"title":"A Rare Case of Infantile Myofibromatosis With Intra Cranial Involvement.","authors":"Fatima Zahrae El Mansoury, Zakia El Yousfi, Ayman El Farouki, Siham El Haddad, Nazik Allali, Latifa Chat","doi":"10.1177/2333794X241266564","DOIUrl":null,"url":null,"abstract":"<p><p>Infantile myofibromatosis is a proliferative disorder occurring during infancy and early childhood, marked by the development of nodular or diffuse lesions consisting of various mesenchymal elements. Intracranial involvement is infrequently reported. Here, we present the case of a 3-year-old girl exhibiting a rare manifestation of IM with intracranial parenchymal involvement, displaying a histological pattern documented in existing literature on patients with infantile myofibromatosis. Subsequent MRI follow-up revealed no signs of recurrence.</p>","PeriodicalId":12576,"journal":{"name":"Global Pediatric Health","volume":"11 ","pages":"2333794X241266564"},"PeriodicalIF":1.4000,"publicationDate":"2024-08-15","publicationTypes":"Journal Article","fieldsOfStudy":null,"isOpenAccess":false,"openAccessPdf":"https://www.ncbi.nlm.nih.gov/pmc/articles/PMC11329903/pdf/","citationCount":"0","resultStr":null,"platform":"Semanticscholar","paperid":null,"PeriodicalName":"Global Pediatric Health","FirstCategoryId":"1085","ListUrlMain":"https://doi.org/10.1177/2333794X241266564","RegionNum":0,"RegionCategory":null,"ArticlePicture":[],"TitleCN":null,"AbstractTextCN":null,"PMCID":null,"EPubDate":"2024/1/1 0:00:00","PubModel":"eCollection","JCR":"Q3","JCRName":"PEDIATRICS","Score":null,"Total":0}
引用次数: 0

Abstract

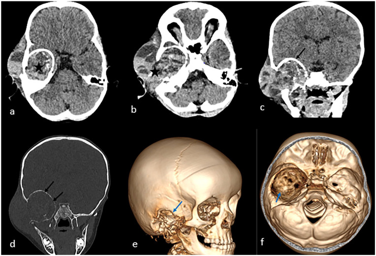
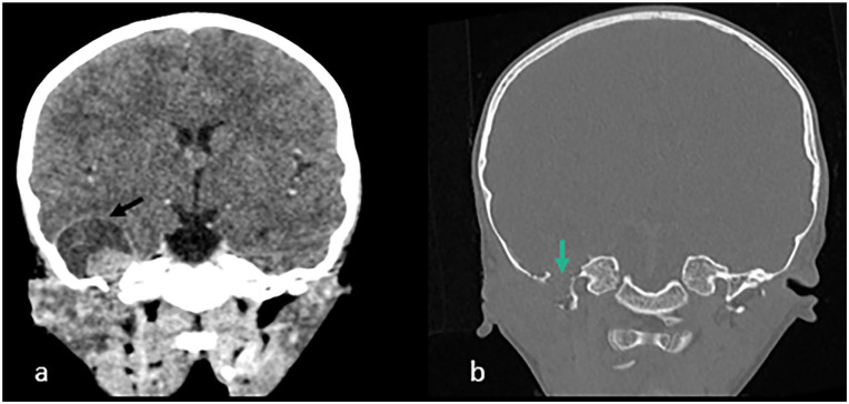
Infantile myofibromatosis is a proliferative disorder occurring during infancy and early childhood, marked by the development of nodular or diffuse lesions consisting of various mesenchymal elements. Intracranial involvement is infrequently reported. Here, we present the case of a 3-year-old girl exhibiting a rare manifestation of IM with intracranial parenchymal involvement, displaying a histological pattern documented in existing literature on patients with infantile myofibromatosis. Subsequent MRI follow-up revealed no signs of recurrence.

Abstract Image

Abstract Image

Abstract Image

颅内受累的婴儿肌纤维瘤病罕见病例
婴幼儿肌纤维瘤病是一种发生在婴幼儿时期的增生性疾病,其特征是由各种间质成分组成的结节性或弥漫性病变。颅内受累的报道并不多见。在此,我们介绍了一例罕见的颅内实质受累的 3 岁女孩的病例,她的组织学模式在现有的婴儿肌纤维瘤病患者文献中已有记载。随后的核磁共振成像随访显示没有复发迹象。
本文章由计算机程序翻译,如有差异,请以英文原文为准。
求助全文
约1分钟内获得全文 求助全文
来源期刊
Global Pediatric Health
Global Pediatric Health Nursing-Pediatrics
CiteScore
2.20
自引率
0.00%
发文量
105
审稿时长
12 weeks
×
引用
GB/T 7714-2015
复制
MLA
复制
APA
复制
导出至
BibTeX EndNote RefMan NoteFirst NoteExpress
×
提示
您的信息不完整,为了账户安全,请先补充。
现在去补充
×
提示
您因"违规操作"
具体请查看互助需知
我知道了
×
提示
确定
请完成安全验证×
copy
已复制链接
快去分享给好友吧!
我知道了
右上角分享
点击右上角分享
0
联系我们:info@booksci.cn Book学术提供免费学术资源搜索服务,方便国内外学者检索中英文文献。致力于提供最便捷和优质的服务体验。 Copyright © 2023 布克学术 All rights reserved.
京ICP备2023020795号-1
ghs 京公网安备 11010802042870号
Book学术文献互助
Book学术文献互助群
群 号:604180095
Book学术官方微信