Multiple fractures due to hungry bone syndrome following parathyroidectomy: a clinical case report and review of literature.

Farnaz Tavakoli, Fatemeh Yaghoubi, Davood Dalil, Mahdi Rezaei
{"title":"Multiple fractures due to hungry bone syndrome following parathyroidectomy: a clinical case report and review of literature.","authors":"Farnaz Tavakoli, Fatemeh Yaghoubi, Davood Dalil, Mahdi Rezaei","doi":"10.1186/s40842-024-00183-8","DOIUrl":null,"url":null,"abstract":"<p><strong>Background: </strong>Hungry bone syndrome (HBS) is defined as prolonged hypocalcemia caused by a sudden decrease in parathyroid hormone (PTH) levels after parathyroidectomy (PTX). Multiple fractures after PTX due to HBS in an end-stage renal disease (ESRD) patient on chronic hemodialysis (HD) are challenging and rare medical conditions presented in this study.</p><p><strong>Case presentation: </strong>A 42-year-old ESRD patient on HD 3 times a week presented to Shariati Hospital, Tehran, Iran, complaining of worsening bone pain and loss of appetite. Laboratory data revealed an intact parathyroid hormone (iPTH) concentration of 2500 pg/mL, an alkaline phosphatase (Alp) level of 4340 IU/L, a phosphorus (P) level of 9 mg/dL, and a calcium (Ca) concentration of 7.2 mg/dL. Sestamibi scintigraphy revealed parathyroid adenoma. The findings suggested tertiary hyperparathyroidism (HPT-III), and the patient was scheduled for total PTX. Approximately one month after surgery, the patient was referred due to convulsions, leg mobility problems, and worsening bone pain. There was bilateral femoral ecchymosis. The Ca concentration was 5.8 mg/dL, and radiological evaluations revealed multiple skeletal fractures. HBS after PTX was suggested for this patient. After several days of hospitalization, he suffered subcutaneous emphysema followed by rib fractures and passed away.</p><p><strong>Conclusions: </strong>Multiple fractures after PTX due to HBS following HPT-III in ESRD patients are rare and demanding, highlighting the necessity of timely diagnosis and management of patients with HPT-III. Severe hypocalcemia following PTX can cause skeletal disorders. However, the surgical treatment of parathyroid adenomas may be more important than the risk of complications associated with bone health.</p>","PeriodicalId":56339,"journal":{"name":"Clinical Diabetes and Endocrinology","volume":"10 1","pages":"25"},"PeriodicalIF":0.0000,"publicationDate":"2024-08-17","publicationTypes":"Journal Article","fieldsOfStudy":null,"isOpenAccess":false,"openAccessPdf":"https://www.ncbi.nlm.nih.gov/pmc/articles/PMC11330125/pdf/","citationCount":"0","resultStr":null,"platform":"Semanticscholar","paperid":null,"PeriodicalName":"Clinical Diabetes and Endocrinology","FirstCategoryId":"1085","ListUrlMain":"https://doi.org/10.1186/s40842-024-00183-8","RegionNum":0,"RegionCategory":null,"ArticlePicture":[],"TitleCN":null,"AbstractTextCN":null,"PMCID":null,"EPubDate":"","PubModel":"","JCR":"","JCRName":"","Score":null,"Total":0}
引用次数: 0

Abstract

Background: Hungry bone syndrome (HBS) is defined as prolonged hypocalcemia caused by a sudden decrease in parathyroid hormone (PTH) levels after parathyroidectomy (PTX). Multiple fractures after PTX due to HBS in an end-stage renal disease (ESRD) patient on chronic hemodialysis (HD) are challenging and rare medical conditions presented in this study.

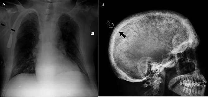
Case presentation: A 42-year-old ESRD patient on HD 3 times a week presented to Shariati Hospital, Tehran, Iran, complaining of worsening bone pain and loss of appetite. Laboratory data revealed an intact parathyroid hormone (iPTH) concentration of 2500 pg/mL, an alkaline phosphatase (Alp) level of 4340 IU/L, a phosphorus (P) level of 9 mg/dL, and a calcium (Ca) concentration of 7.2 mg/dL. Sestamibi scintigraphy revealed parathyroid adenoma. The findings suggested tertiary hyperparathyroidism (HPT-III), and the patient was scheduled for total PTX. Approximately one month after surgery, the patient was referred due to convulsions, leg mobility problems, and worsening bone pain. There was bilateral femoral ecchymosis. The Ca concentration was 5.8 mg/dL, and radiological evaluations revealed multiple skeletal fractures. HBS after PTX was suggested for this patient. After several days of hospitalization, he suffered subcutaneous emphysema followed by rib fractures and passed away.

Conclusions: Multiple fractures after PTX due to HBS following HPT-III in ESRD patients are rare and demanding, highlighting the necessity of timely diagnosis and management of patients with HPT-III. Severe hypocalcemia following PTX can cause skeletal disorders. However, the surgical treatment of parathyroid adenomas may be more important than the risk of complications associated with bone health.

Abstract Image

Abstract Image

Abstract Image

甲状旁腺切除术后饿骨综合征导致的多发性骨折:临床病例报告和文献综述。
背景:饥饿骨综合征(HBS)是指甲状旁腺切除术(PTX)后甲状旁腺激素(PTH)水平突然下降引起的长期低钙血症。在本研究中,一名接受慢性血液透析(HD)的终末期肾病(ESRD)患者在PTX术后因HBS导致的多发性骨折是一种具有挑战性的罕见病症:一名每周接受 3 次血液透析的 42 岁 ESRD 患者来到伊朗德黑兰的 Shariati 医院就诊,主诉骨痛加剧、食欲不振。实验室数据显示,完整甲状旁腺激素(iPTH)浓度为 2500 pg/mL,碱性磷酸酶(Alp)浓度为 4340 IU/L,磷(P)浓度为 9 mg/dL,钙(Ca)浓度为 7.2 mg/dL。Sestamibi闪烁扫描显示他患有甲状旁腺腺瘤。检查结果表明患者患有三级甲状旁腺功能亢进症(HPT-III),因此患者被安排接受全PTX手术。术后约一个月,患者因抽搐、腿部活动障碍和骨痛加剧而转诊。双侧股骨有瘀斑。血钙浓度为 5.8 mg/dL,放射评估显示多处骨骼骨折。建议该患者在 PTX 后接受 HBS 治疗。住院数天后,他出现皮下气肿,随后肋骨骨折,最终去世:ESRD患者HPT-III后因HBS导致的PTX后多发性骨折是罕见的,而且要求很高,这凸显了及时诊断和治疗HPT-III患者的必要性。PTX 后的严重低钙血症可导致骨骼病变。然而,与骨骼健康相关并发症的风险相比,甲状旁腺腺瘤的手术治疗可能更为重要。
本文章由计算机程序翻译,如有差异,请以英文原文为准。
求助全文
约1分钟内获得全文 求助全文
来源期刊
自引率
0.00%
发文量
7
审稿时长
8 weeks
期刊介绍: Clinical Diabetes and Endocrinology is an open access journal publishing within the field of diabetes and endocrine disease. The journal aims to provide a widely available resource for people working within the field of diabetes and endocrinology, in order to improve the care of people affected by these conditions. The audience includes, but is not limited to, physicians, researchers, nurses, nutritionists, pharmacists, podiatrists, psychologists, epidemiologists, exercise physiologists and health care researchers. Research articles include patient-based research (clinical trials, clinical studies, and others), translational research (translation of basic science to clinical practice, translation of clinical practice to policy and others), as well as epidemiology and health care research. Clinical articles include case reports, case seminars, consensus statements, clinical practice guidelines and evidence-based medicine. Only articles considered to contribute new knowledge to the field will be considered for publication.
×
引用
GB/T 7714-2015
复制
MLA
复制
APA
复制
导出至
BibTeX EndNote RefMan NoteFirst NoteExpress
×
提示
您的信息不完整,为了账户安全,请先补充。
现在去补充
×
提示
您因"违规操作"
具体请查看互助需知
我知道了
×
提示
确定
请完成安全验证×
copy
已复制链接
快去分享给好友吧!
我知道了
右上角分享
点击右上角分享
0
联系我们:info@booksci.cn Book学术提供免费学术资源搜索服务,方便国内外学者检索中英文文献。致力于提供最便捷和优质的服务体验。 Copyright © 2023 布克学术 All rights reserved.
京ICP备2023020795号-1
ghs 京公网安备 11010802042870号
Book学术文献互助
Book学术文献互助群
群 号:604180095
Book学术官方微信