A case report of dipeptidyl peptidase 4 inhibitor-related kidney disease combined with renal cancer.

Frontiers in nephrology Pub Date : 2024-07-29 eCollection Date: 2024-01-01 DOI:10.3389/fneph.2024.1409098
Shigekazu Kurihara, Naoki Sawa, Keiichi Sumida, Daisuke Ikuma, Yuki Oba, Hiroki Mizuno, Akinari Sekine, Masayuki Yamanouchi, Eiko Hasegawa, Tatsuya Suwabe, Shinji Urakami, Kei Kono, Keiichi Kinowaki, Kenichi Ohashi, Yutaka Yamaguchi, Yoshifumi Ubara
{"title":"A case report of dipeptidyl peptidase 4 inhibitor-related kidney disease combined with renal cancer.","authors":"Shigekazu Kurihara, Naoki Sawa, Keiichi Sumida, Daisuke Ikuma, Yuki Oba, Hiroki Mizuno, Akinari Sekine, Masayuki Yamanouchi, Eiko Hasegawa, Tatsuya Suwabe, Shinji Urakami, Kei Kono, Keiichi Kinowaki, Kenichi Ohashi, Yutaka Yamaguchi, Yoshifumi Ubara","doi":"10.3389/fneph.2024.1409098","DOIUrl":null,"url":null,"abstract":"<p><p>A kidney biopsy was performed in a 64-year-old woman with type 2 diabetes mellitus and less than 1 g of proteinuria who rapidly progressed to end-stage renal failure after approximately 2 years of treatment with two dipeptidyl peptidase 4 (DPP-4) inhibitors for type 2 diabetes mellitus. The biopsy revealed not only a coincidental diagnosis of renal cell carcinoma, which was not evident on pre-biopsy computed tomography, but also severe thrombotic microangiopathy (TMA)-like glomerular endothelial cell damage in the noncancerous areas. These results suggest that DPP4 inhibitors may have been involved in two kidney diseases.</p>","PeriodicalId":73091,"journal":{"name":"Frontiers in nephrology","volume":"4 ","pages":"1409098"},"PeriodicalIF":0.0000,"publicationDate":"2024-07-29","publicationTypes":"Journal Article","fieldsOfStudy":null,"isOpenAccess":false,"openAccessPdf":"https://www.ncbi.nlm.nih.gov/pmc/articles/PMC11317433/pdf/","citationCount":"0","resultStr":null,"platform":"Semanticscholar","paperid":null,"PeriodicalName":"Frontiers in nephrology","FirstCategoryId":"1085","ListUrlMain":"https://doi.org/10.3389/fneph.2024.1409098","RegionNum":0,"RegionCategory":null,"ArticlePicture":[],"TitleCN":null,"AbstractTextCN":null,"PMCID":null,"EPubDate":"2024/1/1 0:00:00","PubModel":"eCollection","JCR":"","JCRName":"","Score":null,"Total":0}
引用次数: 0

Abstract

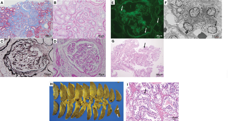
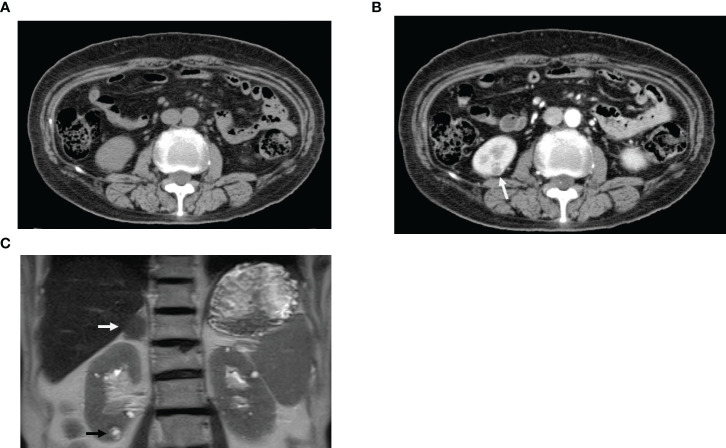
A kidney biopsy was performed in a 64-year-old woman with type 2 diabetes mellitus and less than 1 g of proteinuria who rapidly progressed to end-stage renal failure after approximately 2 years of treatment with two dipeptidyl peptidase 4 (DPP-4) inhibitors for type 2 diabetes mellitus. The biopsy revealed not only a coincidental diagnosis of renal cell carcinoma, which was not evident on pre-biopsy computed tomography, but also severe thrombotic microangiopathy (TMA)-like glomerular endothelial cell damage in the noncancerous areas. These results suggest that DPP4 inhibitors may have been involved in two kidney diseases.

Abstract Image

Abstract Image

Abstract Image

二肽基肽酶 4 抑制剂相关肾病合并肾癌的病例报告。
一位 64 岁的女性患者患有 2 型糖尿病,蛋白尿少于 1 克,在使用两种二肽基肽酶 4(DPP-4)抑制剂治疗 2 型糖尿病约两年后,病情迅速发展至终末期肾衰竭,医生为她进行了肾活检。活检结果显示,该患者不仅巧合地被诊断为肾细胞癌(活检前的计算机断层扫描结果并不明显),而且在非癌区域还发现了严重的血栓性微血管病(TMA)样肾小球内皮细胞损伤。这些结果表明,DPP4 抑制剂可能与两种肾脏疾病有关。
本文章由计算机程序翻译,如有差异,请以英文原文为准。
求助全文
约1分钟内获得全文 求助全文
来源期刊
自引率
0.00%
发文量
0
×
引用
GB/T 7714-2015
复制
MLA
复制
APA
复制
导出至
BibTeX EndNote RefMan NoteFirst NoteExpress
×
提示
您的信息不完整,为了账户安全,请先补充。
现在去补充
×
提示
您因"违规操作"
具体请查看互助需知
我知道了
×
提示
确定
请完成安全验证×
copy
已复制链接
快去分享给好友吧!
我知道了
右上角分享
点击右上角分享
0
联系我们:info@booksci.cn Book学术提供免费学术资源搜索服务,方便国内外学者检索中英文文献。致力于提供最便捷和优质的服务体验。 Copyright © 2023 布克学术 All rights reserved.
京ICP备2023020795号-1
ghs 京公网安备 11010802042870号
Book学术文献互助
Book学术文献互助群
群 号:604180095
Book学术官方微信