Posterior Reversible Encephalopathy Syndrome, not so Uncommon in Pediatric Patients with Renal Involvement: A Case Series.

IF 1.7 Q4 CRITICAL CARE MEDICINE
Journal of Critical Care Medicine Pub Date : 2024-01-30 eCollection Date: 2024-01-01 DOI:10.2478/jccm-2024-0004
Ana-Maria Roxana Koller, Alexandra Man, Carmen Muntean
{"title":"Posterior Reversible Encephalopathy Syndrome, not so Uncommon in Pediatric Patients with Renal Involvement: A Case Series.","authors":"Ana-Maria Roxana Koller, Alexandra Man, Carmen Muntean","doi":"10.2478/jccm-2024-0004","DOIUrl":null,"url":null,"abstract":"<p><strong>Introduction: </strong>Posterior reversible encephalopathy syndrome (PRES) primarily shows neurological symptoms and is more frequent in males, often occurring in oncological patients. It can also be associated with renal conditions like post-streptococcal glomerulonephritis, a common cause of pediatric hypertension. Management involves blood pressure and seizure treatment. In some cases, it may lead to irreversible and severe complications. Early treatment is essential for prevention.</p><p><strong>Presentation of case series: </strong>In the past six months, we have documented the cases of two patients, aged 15 and 10, both of whom presented with PRES and renal disease. These patients were admitted because of general malaise, headaches, nausea, vomiting, visual disturbances, and elevated blood pressure. Subsequently, both patients experienced epileptic episodes. Only the first patient required transfer to the Pediatric Intensive Care Unit (PICU). Cerebral magnetic resonance imaging (MRI) scans revealed distinct PRES lesions in both cases. Following comprehensive investigations, both cases were diagnosed with PRES in the context of acute post-streptococcal glomerulonephritis.</p><p><strong>Conclusions: </strong>The patients showed improvement following the administration of antihypertensive and anticonvulsant medications, along with treatment for the underlying renal condition.</p>","PeriodicalId":44227,"journal":{"name":"Journal of Critical Care Medicine","volume":"10 1","pages":"96-102"},"PeriodicalIF":1.7000,"publicationDate":"2024-01-30","publicationTypes":"Journal Article","fieldsOfStudy":null,"isOpenAccess":false,"openAccessPdf":"https://www.ncbi.nlm.nih.gov/pmc/articles/PMC11193964/pdf/","citationCount":"0","resultStr":null,"platform":"Semanticscholar","paperid":null,"PeriodicalName":"Journal of Critical Care Medicine","FirstCategoryId":"1085","ListUrlMain":"https://doi.org/10.2478/jccm-2024-0004","RegionNum":0,"RegionCategory":null,"ArticlePicture":[],"TitleCN":null,"AbstractTextCN":null,"PMCID":null,"EPubDate":"2024/1/1 0:00:00","PubModel":"eCollection","JCR":"Q4","JCRName":"CRITICAL CARE MEDICINE","Score":null,"Total":0}
引用次数: 0

Abstract

Introduction: Posterior reversible encephalopathy syndrome (PRES) primarily shows neurological symptoms and is more frequent in males, often occurring in oncological patients. It can also be associated with renal conditions like post-streptococcal glomerulonephritis, a common cause of pediatric hypertension. Management involves blood pressure and seizure treatment. In some cases, it may lead to irreversible and severe complications. Early treatment is essential for prevention.

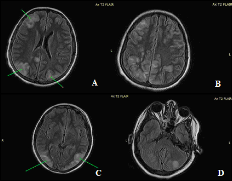
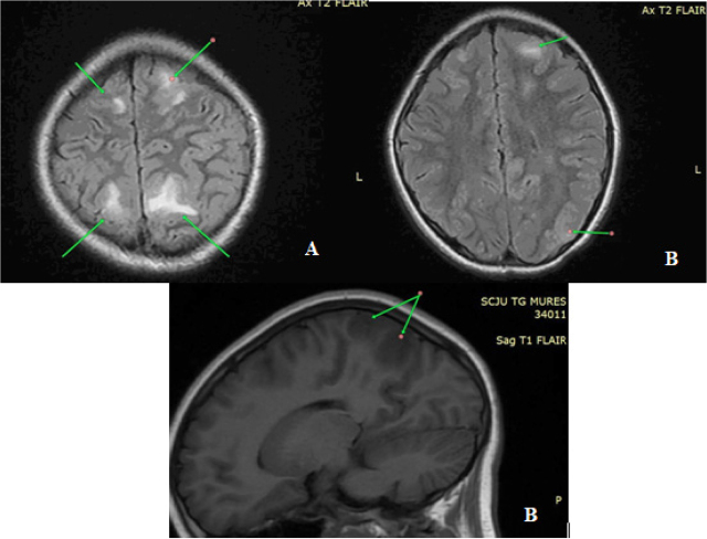
Presentation of case series: In the past six months, we have documented the cases of two patients, aged 15 and 10, both of whom presented with PRES and renal disease. These patients were admitted because of general malaise, headaches, nausea, vomiting, visual disturbances, and elevated blood pressure. Subsequently, both patients experienced epileptic episodes. Only the first patient required transfer to the Pediatric Intensive Care Unit (PICU). Cerebral magnetic resonance imaging (MRI) scans revealed distinct PRES lesions in both cases. Following comprehensive investigations, both cases were diagnosed with PRES in the context of acute post-streptococcal glomerulonephritis.

Conclusions: The patients showed improvement following the administration of antihypertensive and anticonvulsant medications, along with treatment for the underlying renal condition.

Abstract Image

Abstract Image

后可逆性脑病综合征,在肾脏受累的儿科患者中并不罕见:病例系列。
前言后可逆性脑病综合征(PRES)主要表现为神经系统症状,多见于男性,常发生于肿瘤患者。它还可能与链球菌感染后肾小球肾炎等肾脏疾病有关,而肾小球肾炎是小儿高血压的常见病因。治疗包括降压和癫痫治疗。在某些情况下,它可能会导致不可逆转的严重并发症。早期治疗对预防至关重要:在过去的六个月中,我们记录了两名患者的病例,他们的年龄分别为 15 岁和 10 岁,均伴有 PRES 和肾病。这两名患者因全身不适、头痛、恶心、呕吐、视力障碍和血压升高而入院。随后,两名患者都出现了癫痫发作。只有第一名患者需要转入儿科重症监护室(PICU)。脑磁共振成像(MRI)扫描显示,两例患者均有明显的 PRES 病变。经过全面检查,两例患者均被诊断为链球菌感染后急性肾小球肾炎中的PRES:结论:在服用降压药和抗惊厥药以及治疗潜在的肾病后,患者的病情有所好转。
本文章由计算机程序翻译,如有差异,请以英文原文为准。
求助全文
约1分钟内获得全文 求助全文
来源期刊
Journal of Critical Care Medicine
Journal of Critical Care Medicine CRITICAL CARE MEDICINE-
CiteScore
2.00
自引率
9.10%
发文量
21
审稿时长
11 weeks
×
引用
GB/T 7714-2015
复制
MLA
复制
APA
复制
导出至
BibTeX EndNote RefMan NoteFirst NoteExpress
×
提示
您的信息不完整,为了账户安全,请先补充。
现在去补充
×
提示
您因"违规操作"
具体请查看互助需知
我知道了
×
提示
确定
请完成安全验证×
copy
已复制链接
快去分享给好友吧!
我知道了
右上角分享
点击右上角分享
0
联系我们:info@booksci.cn Book学术提供免费学术资源搜索服务,方便国内外学者检索中英文文献。致力于提供最便捷和优质的服务体验。 Copyright © 2023 布克学术 All rights reserved.
京ICP备2023020795号-1
ghs 京公网安备 11010802042870号
Book学术文献互助
Book学术文献互助群
群 号:604180095
Book学术官方微信