Beyond Abdominal Pain: Decoding the Mysteries of Nutcracker Syndrome.

Case Reports in Vascular Medicine Pub Date : 2024-07-25 eCollection Date: 2024-01-01 DOI:10.1155/2024/8702202
Usamah Al-Anbagi, Abdulrahman Saad, Abdulqadir J Nashwan
{"title":"Beyond Abdominal Pain: Decoding the Mysteries of Nutcracker Syndrome.","authors":"Usamah Al-Anbagi, Abdulrahman Saad, Abdulqadir J Nashwan","doi":"10.1155/2024/8702202","DOIUrl":null,"url":null,"abstract":"<p><p>Nutcracker syndrome (NCS), a rare but impactful vascular condition, emerges from the compression of the left renal vein by adjacent major arteries, leading to a diverse array of symptoms such as hematuria, flank pain, and renal challenges. Highlighting the case of a 30-year-old male with an atypical presentation of NCS, this report explores the diagnostic complexities arising from its varied presentations and therapeutic options. It emphasizes the critical role of computed tomography (CT) in unveiling the underlying vascular constriction. Through this lens, the case underscores the necessity of considering NCS in the differential diagnosis of abdominal pain, advocating for a prompt and accurate diagnosis to guide effective management strategies, ranging from conservative approaches to surgical intervention. This stresses the importance of heightened awareness and ongoing research for optimizing patient outcomes in the face of this elusive condition.</p>","PeriodicalId":9632,"journal":{"name":"Case Reports in Vascular Medicine","volume":"2024 ","pages":"8702202"},"PeriodicalIF":0.0000,"publicationDate":"2024-07-25","publicationTypes":"Journal Article","fieldsOfStudy":null,"isOpenAccess":false,"openAccessPdf":"https://www.ncbi.nlm.nih.gov/pmc/articles/PMC11300093/pdf/","citationCount":"0","resultStr":null,"platform":"Semanticscholar","paperid":null,"PeriodicalName":"Case Reports in Vascular Medicine","FirstCategoryId":"1085","ListUrlMain":"https://doi.org/10.1155/2024/8702202","RegionNum":0,"RegionCategory":null,"ArticlePicture":[],"TitleCN":null,"AbstractTextCN":null,"PMCID":null,"EPubDate":"2024/1/1 0:00:00","PubModel":"eCollection","JCR":"","JCRName":"","Score":null,"Total":0}
引用次数: 0

Abstract

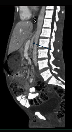
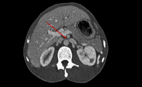
Nutcracker syndrome (NCS), a rare but impactful vascular condition, emerges from the compression of the left renal vein by adjacent major arteries, leading to a diverse array of symptoms such as hematuria, flank pain, and renal challenges. Highlighting the case of a 30-year-old male with an atypical presentation of NCS, this report explores the diagnostic complexities arising from its varied presentations and therapeutic options. It emphasizes the critical role of computed tomography (CT) in unveiling the underlying vascular constriction. Through this lens, the case underscores the necessity of considering NCS in the differential diagnosis of abdominal pain, advocating for a prompt and accurate diagnosis to guide effective management strategies, ranging from conservative approaches to surgical intervention. This stresses the importance of heightened awareness and ongoing research for optimizing patient outcomes in the face of this elusive condition.

Abstract Image

Abstract Image

超越腹痛:破解胡桃夹子综合征之谜》。
胡桃钳综合征(NCS)是一种罕见但影响巨大的血管疾病,是由于左肾静脉受到邻近大动脉的压迫而引起的,会导致血尿、侧腹疼痛和肾脏问题等一系列症状。本报告以一名 30 岁男性的非典型 NCS 病例为重点,探讨了其不同表现和治疗方案所带来的诊断复杂性。报告强调了计算机断层扫描(CT)在揭示潜在血管收缩方面的关键作用。通过这一视角,该病例强调了在腹痛的鉴别诊断中考虑 NCS 的必要性,主张及时准确的诊断以指导有效的治疗策略,包括保守治疗和手术干预。这强调了面对这种难以捉摸的病症,提高意识和持续研究对于优化患者预后的重要性。
本文章由计算机程序翻译,如有差异,请以英文原文为准。
求助全文
约1分钟内获得全文 求助全文
来源期刊
自引率
0.00%
发文量
21
审稿时长
15 weeks
×
引用
GB/T 7714-2015
复制
MLA
复制
APA
复制
导出至
BibTeX EndNote RefMan NoteFirst NoteExpress
×
提示
您的信息不完整,为了账户安全,请先补充。
现在去补充
×
提示
您因"违规操作"
具体请查看互助需知
我知道了
×
提示
确定
请完成安全验证×
copy
已复制链接
快去分享给好友吧!
我知道了
右上角分享
点击右上角分享
0
联系我们:info@booksci.cn Book学术提供免费学术资源搜索服务,方便国内外学者检索中英文文献。致力于提供最便捷和优质的服务体验。 Copyright © 2023 布克学术 All rights reserved.
京ICP备2023020795号-1
ghs 京公网安备 11010802042870号
Book学术文献互助
Book学术文献互助群
群 号:604180095
Book学术官方微信