Bilateral Lung Injury with Delayed Pneumothorax following Preoperative Cryoanalgesia for Pectus Excavatum Repair in a 13-year-old Boy.

IF 0.7 Q4 SURGERY
European Journal of Pediatric Surgery Reports Pub Date : 2024-07-26 eCollection Date: 2024-01-01 DOI:10.1055/a-2349-9668
Clara Massaguer, Laura Saura-García, Pedro Palazón, Gastón Echaniz, Maria Carme Roqueta Alcaraz, Xavier Tarrado
{"title":"Bilateral Lung Injury with Delayed Pneumothorax following Preoperative Cryoanalgesia for Pectus Excavatum Repair in a 13-year-old Boy.","authors":"Clara Massaguer, Laura Saura-García, Pedro Palazón, Gastón Echaniz, Maria Carme Roqueta Alcaraz, Xavier Tarrado","doi":"10.1055/a-2349-9668","DOIUrl":null,"url":null,"abstract":"<p><p>A 13-year-old male patient with marfanoid features and pectus excavatum with Haller index 4 and correction index of 38% underwent the Nuss procedure with cryoanalgesia 9 days prior, which transpired uneventfully. Preoperative spirometry was normal, and echocardiogram showed light aortic valve dilation. A month later, during a routine outpatient checkup, he referred middle abdominal pain, denying respiratory symptoms nor thoracic pain. He presented bilateral apical and right basal hypophonesis. Chest X-ray revealed bilateral pneumothorax and right pleural effusion. Consequently, the patient was admitted to the emergency room, and a chest computed tomography was ordered, reporting right apical blebs. Bilateral thoracoscopy was performed, and apexes were checked for pulmonary blebs to rule out primary pneumothorax. In the right chest, a wedge resection of a distorted area on the apex and pleuroabrasion were done. Four air leaking eschars were found when performing lung expansion under water as leaking test, corresponding to cryoanalgesia intercostal eschars, and subsequently closed by primary suture. In the left chest, there were no blebs. However, another four pleural lesions with intact pleura in the left lower lobe were also found. Postoperative course was uneventful and chest drains were removed 48 hours after surgery. He remains asymptomatic 21 months after discharge. Cryoanalgesia in pectus excavatum is spreading due to the improvement in postoperative pain control. However, some complications may occur.</p>","PeriodicalId":43204,"journal":{"name":"European Journal of Pediatric Surgery Reports","volume":"12 1","pages":"e50-e53"},"PeriodicalIF":0.7000,"publicationDate":"2024-07-26","publicationTypes":"Journal Article","fieldsOfStudy":null,"isOpenAccess":false,"openAccessPdf":"https://www.ncbi.nlm.nih.gov/pmc/articles/PMC11281861/pdf/","citationCount":"0","resultStr":null,"platform":"Semanticscholar","paperid":null,"PeriodicalName":"European Journal of Pediatric Surgery Reports","FirstCategoryId":"1085","ListUrlMain":"https://doi.org/10.1055/a-2349-9668","RegionNum":0,"RegionCategory":null,"ArticlePicture":[],"TitleCN":null,"AbstractTextCN":null,"PMCID":null,"EPubDate":"2024/1/1 0:00:00","PubModel":"eCollection","JCR":"Q4","JCRName":"SURGERY","Score":null,"Total":0}
引用次数: 0

Abstract

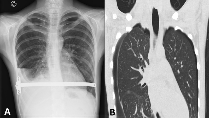
A 13-year-old male patient with marfanoid features and pectus excavatum with Haller index 4 and correction index of 38% underwent the Nuss procedure with cryoanalgesia 9 days prior, which transpired uneventfully. Preoperative spirometry was normal, and echocardiogram showed light aortic valve dilation. A month later, during a routine outpatient checkup, he referred middle abdominal pain, denying respiratory symptoms nor thoracic pain. He presented bilateral apical and right basal hypophonesis. Chest X-ray revealed bilateral pneumothorax and right pleural effusion. Consequently, the patient was admitted to the emergency room, and a chest computed tomography was ordered, reporting right apical blebs. Bilateral thoracoscopy was performed, and apexes were checked for pulmonary blebs to rule out primary pneumothorax. In the right chest, a wedge resection of a distorted area on the apex and pleuroabrasion were done. Four air leaking eschars were found when performing lung expansion under water as leaking test, corresponding to cryoanalgesia intercostal eschars, and subsequently closed by primary suture. In the left chest, there were no blebs. However, another four pleural lesions with intact pleura in the left lower lobe were also found. Postoperative course was uneventful and chest drains were removed 48 hours after surgery. He remains asymptomatic 21 months after discharge. Cryoanalgesia in pectus excavatum is spreading due to the improvement in postoperative pain control. However, some complications may occur.

Abstract Image

Abstract Image

Abstract Image

一名 13 岁男孩在进行胸大肌修复术前低温麻醉后双侧肺损伤并伴有迟发性气胸。
一名 13 岁的男性患者具有马凡氏征和胸肌,哈勒指数为 4,矫正指数为 38%,他在 9 天前接受了努斯手术,并进行了低温镇痛,手术过程非常顺利。术前肺活量正常,超声心动图显示主动脉瓣轻度扩张。一个月后,在一次例行门诊检查中,他提到中腹部疼痛,否认有呼吸道症状或胸痛。他出现了双侧心尖和右侧基底低音。胸部 X 光检查显示双侧气胸和右侧胸腔积液。因此,患者被送入急诊室,并接受了胸部计算机断层扫描,结果显示右侧心尖出血。患者接受了双侧胸腔镜检查,并检查了肺部出血点,以排除原发性气胸。在右胸,对顶端的扭曲区域进行了楔形切除,并进行了胸膜磨削术。在水下进行肺扩张漏气试验时发现了四个漏气的裂口,与低温麻醉肋间裂口相对应,随后进行了初步缝合。左胸没有出血点。但在左下叶还发现了四个胸膜病变,胸膜完整。术后恢复顺利,术后 48 小时拔除了胸腔引流管。出院后 21 个月仍无症状。由于术后疼痛控制有所改善,冷冻镇痛在开胸手术中得到推广。不过,也可能出现一些并发症。
本文章由计算机程序翻译,如有差异,请以英文原文为准。
求助全文
约1分钟内获得全文 求助全文
来源期刊
自引率
33.30%
发文量
39
审稿时长
12 weeks
×
引用
GB/T 7714-2015
复制
MLA
复制
APA
复制
导出至
BibTeX EndNote RefMan NoteFirst NoteExpress
×
提示
您的信息不完整,为了账户安全,请先补充。
现在去补充
×
提示
您因"违规操作"
具体请查看互助需知
我知道了
×
提示
确定
请完成安全验证×
copy
已复制链接
快去分享给好友吧!
我知道了
右上角分享
点击右上角分享
0
联系我们:info@booksci.cn Book学术提供免费学术资源搜索服务,方便国内外学者检索中英文文献。致力于提供最便捷和优质的服务体验。 Copyright © 2023 布克学术 All rights reserved.
京ICP备2023020795号-1
ghs 京公网安备 11010802042870号
Book学术文献互助
Book学术文献互助群
群 号:604180095
Book学术官方微信