Advanced medullary thyroid carcinoma uncovered by persistently elevated procalcitonin in a patient with COVID-19.

IF 0.7 Q4 ENDOCRINOLOGY & METABOLISM
Ines Bucci, Giulia Di Dalmazi, Cesidio Giuliani, Paola Russo, Beatrice Ciappini, Cristina Amatetti, Pierre Guarino, Giorgio Napolitano
{"title":"Advanced medullary thyroid carcinoma uncovered by persistently elevated procalcitonin in a patient with COVID-19.","authors":"Ines Bucci, Giulia Di Dalmazi, Cesidio Giuliani, Paola Russo, Beatrice Ciappini, Cristina Amatetti, Pierre Guarino, Giorgio Napolitano","doi":"10.1530/EDM-24-0052","DOIUrl":null,"url":null,"abstract":"<p><strong>Summary: </strong>We report the case of an 88-year-old man hospitalized for COVID-19 with persistently very high procalcitonin (proCt) levels despite infection resolution. Since proCt is an adjunct tumor marker in the diagnosis of medullary thyroid carcinoma (MTC), serum calcitonin (Ct) was also measured showing very high levels. Computed tomography (CT) scan showed the presence of a thyroid mass and neck ultrasound revealed a solid isoechoic, inhomogeneous, 50 mm nodule in the right thyroid lobe, extended into the mediastinum. Fine needle aspiration (FNA) of the thyroid nodule confirmed the diagnosis of MTC. An 18F-fluorodopa positron emission tomography/computed tomography (PET/CT) scan revealed the presence of distant metastases in ribs, vertebrae, in the right iliac wing and the liver. Since surgery was not feasible, the patient was started on cabozantinib 40 mg/dL. After 16 months the patient is still on cabozantinib at the same dose, he reports complete autonomy in daily life activities, and serum Ct is still elevated; however, the imaging evaluation does not show signs of disease progression.</p><p><strong>Learning points: </strong>High procalcitonin serum values despite the absence of infection are suggestive of MTC. Advanced MTC with multiple metastases can have an indolent course and can go unrecognized for years. Cabozantinib is a valuable option for the treatment of advanced MTC.</p>","PeriodicalId":37467,"journal":{"name":"Endocrinology, Diabetes and Metabolism Case Reports","volume":"2024 3","pages":""},"PeriodicalIF":0.7000,"publicationDate":"2024-07-25","publicationTypes":"Journal Article","fieldsOfStudy":null,"isOpenAccess":false,"openAccessPdf":"https://www.ncbi.nlm.nih.gov/pmc/articles/PMC11301565/pdf/","citationCount":"0","resultStr":null,"platform":"Semanticscholar","paperid":null,"PeriodicalName":"Endocrinology, Diabetes and Metabolism Case Reports","FirstCategoryId":"1085","ListUrlMain":"https://doi.org/10.1530/EDM-24-0052","RegionNum":0,"RegionCategory":null,"ArticlePicture":[],"TitleCN":null,"AbstractTextCN":null,"PMCID":null,"EPubDate":"2024/7/1 0:00:00","PubModel":"Print","JCR":"Q4","JCRName":"ENDOCRINOLOGY & METABOLISM","Score":null,"Total":0}
引用次数: 0

Abstract

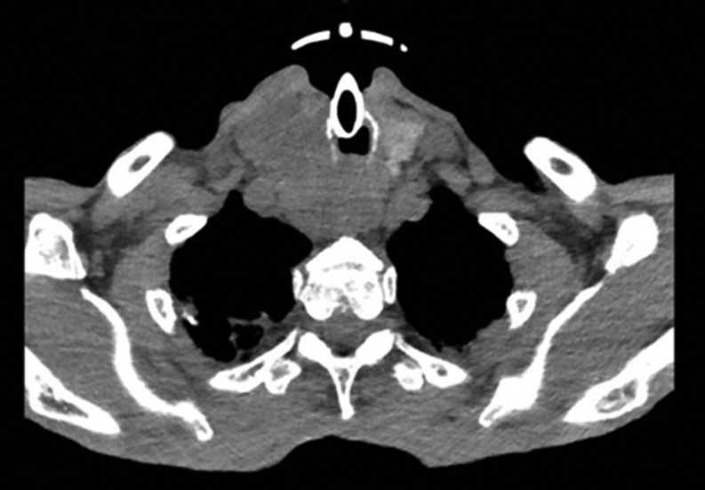
Summary: We report the case of an 88-year-old man hospitalized for COVID-19 with persistently very high procalcitonin (proCt) levels despite infection resolution. Since proCt is an adjunct tumor marker in the diagnosis of medullary thyroid carcinoma (MTC), serum calcitonin (Ct) was also measured showing very high levels. Computed tomography (CT) scan showed the presence of a thyroid mass and neck ultrasound revealed a solid isoechoic, inhomogeneous, 50 mm nodule in the right thyroid lobe, extended into the mediastinum. Fine needle aspiration (FNA) of the thyroid nodule confirmed the diagnosis of MTC. An 18F-fluorodopa positron emission tomography/computed tomography (PET/CT) scan revealed the presence of distant metastases in ribs, vertebrae, in the right iliac wing and the liver. Since surgery was not feasible, the patient was started on cabozantinib 40 mg/dL. After 16 months the patient is still on cabozantinib at the same dose, he reports complete autonomy in daily life activities, and serum Ct is still elevated; however, the imaging evaluation does not show signs of disease progression.

Learning points: High procalcitonin serum values despite the absence of infection are suggestive of MTC. Advanced MTC with multiple metastases can have an indolent course and can go unrecognized for years. Cabozantinib is a valuable option for the treatment of advanced MTC.

Abstract Image

Abstract Image

Abstract Image

一名 COVID-19 患者因降钙素原持续升高而发现晚期甲状腺髓样癌。
摘要:我们报告了一例因感染 COVID-19 而住院的 88 岁老人的病例,尽管感染已经解除,但降钙素原(proCt)水平仍持续很高。由于 proCt 是诊断甲状腺髓样癌 (MTC) 的辅助肿瘤标志物,因此还测量了血清降钙素原 (Ct),结果显示其水平非常高。计算机断层扫描(CT)显示存在甲状腺肿块,颈部超声显示右甲状腺叶有一个 50 毫米的实性等回声不均匀结节,并向纵隔延伸。甲状腺结节的细针穿刺术(FNA)确诊为 MTC。18F-氟多巴正电子发射断层扫描/计算机断层扫描(PET/CT)显示,肋骨、脊椎、右髂翼和肝脏存在远处转移。由于无法进行手术,患者开始服用卡博替尼(cabozantinib)40 毫克/分升。16个月后,患者仍以相同剂量服用卡博替尼,他表示日常生活完全自理,血清Ct仍在升高;然而,影像学评估并未显示疾病进展的迹象:学习要点:尽管没有感染,但高降钙素原血清值提示存在 MTC。伴有多发转移的晚期 MTC 病程缓慢,可能多年未被发现。卡博替尼是治疗晚期MTC的重要选择。
本文章由计算机程序翻译,如有差异,请以英文原文为准。
求助全文
约1分钟内获得全文 求助全文
来源期刊
CiteScore
1.50
自引率
0.00%
发文量
142
审稿时长
9 weeks
期刊介绍: Endocrinology, Diabetes & Metabolism Case Reports publishes case reports on common and rare conditions in all areas of clinical endocrinology, diabetes and metabolism. Articles should include clear learning points which readers can use to inform medical education or clinical practice. The types of cases of interest to Endocrinology, Diabetes & Metabolism Case Reports include: -Insight into disease pathogenesis or mechanism of therapy - Novel diagnostic procedure - Novel treatment - Unique/unexpected symptoms or presentations of a disease - New disease or syndrome: presentations/diagnosis/management - Unusual effects of medical treatment - Error in diagnosis/pitfalls and caveats
×
引用
GB/T 7714-2015
复制
MLA
复制
APA
复制
导出至
BibTeX EndNote RefMan NoteFirst NoteExpress
×
提示
您的信息不完整,为了账户安全,请先补充。
现在去补充
×
提示
您因"违规操作"
具体请查看互助需知
我知道了
×
提示
确定
请完成安全验证×
copy
已复制链接
快去分享给好友吧!
我知道了
右上角分享
点击右上角分享
0
联系我们:info@booksci.cn Book学术提供免费学术资源搜索服务,方便国内外学者检索中英文文献。致力于提供最便捷和优质的服务体验。 Copyright © 2023 布克学术 All rights reserved.
京ICP备2023020795号-1
ghs 京公网安备 11010802042870号
Book学术文献互助
Book学术文献互助群
群 号:604180095
Book学术官方微信