Kidney Stone Risk in Normocalcemic Hyperparathyroidism before and after Parathyroid Surgery.

IF 0.9 Q4 ENDOCRINOLOGY & METABOLISM
Case Reports in Endocrinology Pub Date : 2024-07-17 eCollection Date: 2024-01-01 DOI:10.1155/2024/1252724
Jie Tang, Kamil Malshy, Gyan Pareek
{"title":"Kidney Stone Risk in Normocalcemic Hyperparathyroidism before and after Parathyroid Surgery.","authors":"Jie Tang, Kamil Malshy, Gyan Pareek","doi":"10.1155/2024/1252724","DOIUrl":null,"url":null,"abstract":"<p><p>The higher risk for kidney stone in patients with primary hyperparathyroidism is well-documented; stone risk in patients with normocalcemic primary hyperparathyroidism (NPHPT) remains unclear. We present a case of recurrent calcium kidney stones in a patient with severe idiopathic hypercalciuria and NPHPT. The surgical resection of the parathyroid adenoma failed to reduce kidney stone risk (based on the 24-hr urine study) and kidney stone burden (based on ultrasound). This unique case examines the impact of surgical resection of an ectopic parathyroid adenoma on stone risk in a patient with NPHPT and recurrent calcium kidney stones.</p>","PeriodicalId":9621,"journal":{"name":"Case Reports in Endocrinology","volume":"2024 ","pages":"1252724"},"PeriodicalIF":0.9000,"publicationDate":"2024-07-17","publicationTypes":"Journal Article","fieldsOfStudy":null,"isOpenAccess":false,"openAccessPdf":"https://www.ncbi.nlm.nih.gov/pmc/articles/PMC11272400/pdf/","citationCount":"0","resultStr":null,"platform":"Semanticscholar","paperid":null,"PeriodicalName":"Case Reports in Endocrinology","FirstCategoryId":"1085","ListUrlMain":"https://doi.org/10.1155/2024/1252724","RegionNum":0,"RegionCategory":null,"ArticlePicture":[],"TitleCN":null,"AbstractTextCN":null,"PMCID":null,"EPubDate":"2024/1/1 0:00:00","PubModel":"eCollection","JCR":"Q4","JCRName":"ENDOCRINOLOGY & METABOLISM","Score":null,"Total":0}
引用次数: 0

Abstract

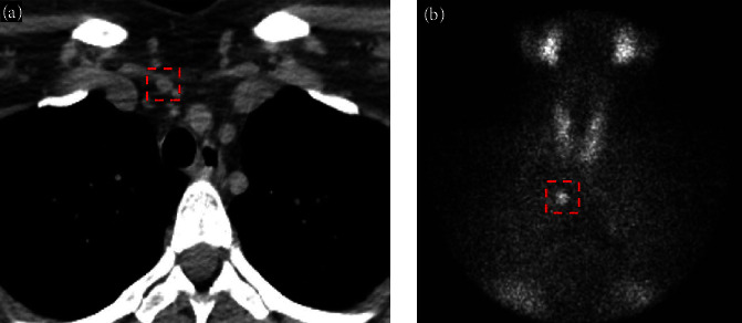
The higher risk for kidney stone in patients with primary hyperparathyroidism is well-documented; stone risk in patients with normocalcemic primary hyperparathyroidism (NPHPT) remains unclear. We present a case of recurrent calcium kidney stones in a patient with severe idiopathic hypercalciuria and NPHPT. The surgical resection of the parathyroid adenoma failed to reduce kidney stone risk (based on the 24-hr urine study) and kidney stone burden (based on ultrasound). This unique case examines the impact of surgical resection of an ectopic parathyroid adenoma on stone risk in a patient with NPHPT and recurrent calcium kidney stones.

Abstract Image

Abstract Image

甲状旁腺手术前后正常钙血症甲状旁腺功能亢进症患者的肾结石风险
原发性甲状旁腺功能亢进症患者患肾结石的风险较高,这一点已得到充分证实;而正常钙血症原发性甲状旁腺功能亢进症(NPHPT)患者患肾结石的风险仍不明确。我们报告了一例重度特发性高钙尿症和NPHPT患者反复出现钙肾结石的病例。手术切除甲状旁腺腺瘤未能降低肾结石风险(基于24小时尿液检查)和肾结石负荷(基于超声检查)。这个独特的病例探讨了手术切除异位甲状旁腺腺瘤对NPHPT和复发性钙肾结石患者结石风险的影响。
本文章由计算机程序翻译,如有差异,请以英文原文为准。
求助全文
约1分钟内获得全文 求助全文
来源期刊
Case Reports in Endocrinology
Case Reports in Endocrinology ENDOCRINOLOGY & METABOLISM-
CiteScore
2.10
自引率
0.00%
发文量
45
审稿时长
13 weeks
×
引用
GB/T 7714-2015
复制
MLA
复制
APA
复制
导出至
BibTeX EndNote RefMan NoteFirst NoteExpress
×
提示
您的信息不完整,为了账户安全,请先补充。
现在去补充
×
提示
您因"违规操作"
具体请查看互助需知
我知道了
×
提示
确定
请完成安全验证×
copy
已复制链接
快去分享给好友吧!
我知道了
右上角分享
点击右上角分享
0
联系我们:info@booksci.cn Book学术提供免费学术资源搜索服务,方便国内外学者检索中英文文献。致力于提供最便捷和优质的服务体验。 Copyright © 2023 布克学术 All rights reserved.
京ICP备2023020795号-1
ghs 京公网安备 11010802042870号
Book学术文献互助
Book学术文献互助群
群 号:604180095
Book学术官方微信