Gastric distension and atelectasis after using a supraglottic airway - A case report.

IF 3.2
Anesthesia and pain medicine Pub Date : 2024-07-01 Epub Date: 2024-01-16 DOI:10.17085/apm.23108
Yundo Jung, Sungyeon Jung, Seungcheol Yu, Mi Ae Jeong, Cho Long Kim
{"title":"Gastric distension and atelectasis after using a supraglottic airway - A case report.","authors":"Yundo Jung, Sungyeon Jung, Seungcheol Yu, Mi Ae Jeong, Cho Long Kim","doi":"10.17085/apm.23108","DOIUrl":null,"url":null,"abstract":"<p><strong>Background: </strong>Supraglottic airways (SGAs) are used during general anesthesia (GA) due to comfort. Certain complications are possible, such as gastric distension. The incidence of pulmonary aspiration of regurgitated gastric contents was found to be 0.02%. A difference in the incidence of gastric regurgitation was not identified between the use of SGAs and endotracheal intubation. We report a case of gastric distension and atelectasis in a patient in whom an I-gel® was used for GA.</p><p><strong>Case: </strong>A 63-year-old female patient underwent triple arthrodesis on her ankle under GA using an SGA (I-gel® size 3). After surgery, she suffered from nausea and abdominal bloating. A chest radiograph revealed that a large amount of air in her stomach had caused gastric distention, which resulted in left hemidiaphragm elevation and atelectasis.</p><p><strong>Conclusions: </strong>This case illustrates that the use of I-gel® in prolonged surgeries may result in malposition of the SGA and gastric insufflation and atelectasis.</p>","PeriodicalId":101360,"journal":{"name":"Anesthesia and pain medicine","volume":" ","pages":"261-265"},"PeriodicalIF":3.2000,"publicationDate":"2024-07-01","publicationTypes":"Journal Article","fieldsOfStudy":null,"isOpenAccess":false,"openAccessPdf":"https://www.ncbi.nlm.nih.gov/pmc/articles/PMC11317319/pdf/","citationCount":"0","resultStr":null,"platform":"Semanticscholar","paperid":null,"PeriodicalName":"Anesthesia and pain medicine","FirstCategoryId":"1085","ListUrlMain":"https://doi.org/10.17085/apm.23108","RegionNum":0,"RegionCategory":null,"ArticlePicture":[],"TitleCN":null,"AbstractTextCN":null,"PMCID":null,"EPubDate":"2024/1/16 0:00:00","PubModel":"Epub","JCR":"","JCRName":"","Score":null,"Total":0}
引用次数: 0

Abstract

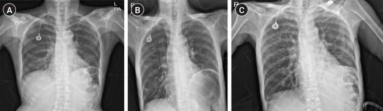
Background: Supraglottic airways (SGAs) are used during general anesthesia (GA) due to comfort. Certain complications are possible, such as gastric distension. The incidence of pulmonary aspiration of regurgitated gastric contents was found to be 0.02%. A difference in the incidence of gastric regurgitation was not identified between the use of SGAs and endotracheal intubation. We report a case of gastric distension and atelectasis in a patient in whom an I-gel® was used for GA.

Case: A 63-year-old female patient underwent triple arthrodesis on her ankle under GA using an SGA (I-gel® size 3). After surgery, she suffered from nausea and abdominal bloating. A chest radiograph revealed that a large amount of air in her stomach had caused gastric distention, which resulted in left hemidiaphragm elevation and atelectasis.

Conclusions: This case illustrates that the use of I-gel® in prolonged surgeries may result in malposition of the SGA and gastric insufflation and atelectasis.

Abstract Image

使用声门上通气道后出现胃胀气和气胸 - 病例报告。
背景:声门上气道(SGA)因其舒适性而在全身麻醉(GA)期间使用。但也可能出现某些并发症,如胃胀气。研究发现,反流胃内容物的肺吸入发生率为 0.02%。在使用 SGA 和气管插管之间并未发现胃内容物反流发生率的差异。我们报告了一例使用 I-gel® 进行 GA 的患者出现胃胀气和气胸的病例:一名 63 岁的女性患者在使用 SGA(I-gel® 3 号)进行 GA 的情况下接受了踝关节三关节切除术。术后,她感到恶心和腹胀。胸片显示,胃内大量空气造成胃胀气,导致左侧半膈抬高和肺不张:本病例说明,在长时间手术中使用 I-gel® 可能会导致 SGA 位置不正、胃胀气和肺不张。
本文章由计算机程序翻译,如有差异,请以英文原文为准。
求助全文
约1分钟内获得全文 求助全文
来源期刊
CiteScore
2.30
自引率
0.00%
发文量
0
×
引用
GB/T 7714-2015
复制
MLA
复制
APA
复制
导出至
BibTeX EndNote RefMan NoteFirst NoteExpress
×
提示
您的信息不完整,为了账户安全,请先补充。
现在去补充
×
提示
您因"违规操作"
具体请查看互助需知
我知道了
×
提示
确定
请完成安全验证×
copy
已复制链接
快去分享给好友吧!
我知道了
右上角分享
点击右上角分享
0
联系我们:info@booksci.cn Book学术提供免费学术资源搜索服务,方便国内外学者检索中英文文献。致力于提供最便捷和优质的服务体验。 Copyright © 2023 布克学术 All rights reserved.
京ICP备2023020795号-1
ghs 京公网安备 11010802042870号
Book学术文献互助
Book学术文献互助群
群 号:604180095
Book学术官方微信