Construction and Identification of Eukaryotic Expression Vector pEGFP-N1-MIC-1 for Mouse MIC-1 Gene and Its Effect on Gastric Cancer Cells.

IF 2.7 4区 医学 Q3 CELL BIOLOGY
Analytical Cellular Pathology Pub Date : 2024-07-16 eCollection Date: 2024-01-01 DOI:10.1155/2024/2165242
HuiPeng Zhang, Zhongyu Qin, ShuaiShuai Shi, YunFei Li, Yang Song, YiQiang Zhang
{"title":"Construction and Identification of Eukaryotic Expression Vector pEGFP-N1-MIC-1 for Mouse MIC-1 Gene and Its Effect on Gastric Cancer Cells.","authors":"HuiPeng Zhang, Zhongyu Qin, ShuaiShuai Shi, YunFei Li, Yang Song, YiQiang Zhang","doi":"10.1155/2024/2165242","DOIUrl":null,"url":null,"abstract":"<p><p>This study aimed to construct an eukaryotic expression vector, pEGFP-N1-MIC-1, for overexpressing the mouse macrophage inhibitory cytokine-1 (MIC-1) gene. Additionally, we transfected the MFC cell line to observe the upregulation of MIC-1 gene expression and assess its impact on macrophage phenotype conversion. Enzyme digestion and DNA sequencing confirmed the successful construction of the pEGFP-N1-MIC-1 vector. The transfected MFC cells exhibited a significant increase in MIC-1 protein expression levels. Furthermore, transfection with pEGFP-N1-MIC-1 increased the migration and colony formation capabilities of MFC cells. These results may contribute to future research and the development of therapeutic interventions targeting MIC-1 in macrophages, particularly in the context of gastric cancer.</p>","PeriodicalId":49326,"journal":{"name":"Analytical Cellular Pathology","volume":"2024 ","pages":"2165242"},"PeriodicalIF":2.7000,"publicationDate":"2024-07-16","publicationTypes":"Journal Article","fieldsOfStudy":null,"isOpenAccess":false,"openAccessPdf":"https://www.ncbi.nlm.nih.gov/pmc/articles/PMC11265941/pdf/","citationCount":"0","resultStr":null,"platform":"Semanticscholar","paperid":null,"PeriodicalName":"Analytical Cellular Pathology","FirstCategoryId":"3","ListUrlMain":"https://doi.org/10.1155/2024/2165242","RegionNum":4,"RegionCategory":"医学","ArticlePicture":[],"TitleCN":null,"AbstractTextCN":null,"PMCID":null,"EPubDate":"2024/1/1 0:00:00","PubModel":"eCollection","JCR":"Q3","JCRName":"CELL BIOLOGY","Score":null,"Total":0}
引用次数: 0

Abstract

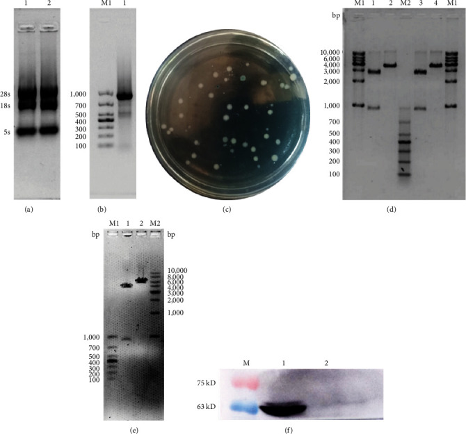
This study aimed to construct an eukaryotic expression vector, pEGFP-N1-MIC-1, for overexpressing the mouse macrophage inhibitory cytokine-1 (MIC-1) gene. Additionally, we transfected the MFC cell line to observe the upregulation of MIC-1 gene expression and assess its impact on macrophage phenotype conversion. Enzyme digestion and DNA sequencing confirmed the successful construction of the pEGFP-N1-MIC-1 vector. The transfected MFC cells exhibited a significant increase in MIC-1 protein expression levels. Furthermore, transfection with pEGFP-N1-MIC-1 increased the migration and colony formation capabilities of MFC cells. These results may contribute to future research and the development of therapeutic interventions targeting MIC-1 in macrophages, particularly in the context of gastric cancer.

Abstract Image

Abstract Image

Abstract Image

小鼠 MIC-1 基因真核表达载体 pEGFP-N1-MIC-1 的构建和鉴定及其对胃癌细胞的影响
本研究旨在构建一种真核表达载体 pEGFP-N1-MIC-1,用于过表达小鼠巨噬细胞抑制性细胞因子-1(MIC-1)基因。此外,我们还转染了 MFC 细胞系,以观察 MIC-1 基因表达的上调情况,并评估其对巨噬细胞表型转换的影响。酶消化和DNA测序证实了pEGFP-N1-MIC-1载体的成功构建。转染的 MFC 细胞显示出 MIC-1 蛋白表达水平的显著增加。此外,转染 pEGFP-N1-MIC-1 还增强了 MFC 细胞的迁移和集落形成能力。这些结果可能有助于未来研究和开发针对巨噬细胞中 MIC-1 的治疗干预措施,特别是在胃癌方面。
本文章由计算机程序翻译,如有差异,请以英文原文为准。
求助全文
约1分钟内获得全文 求助全文
来源期刊
Analytical Cellular Pathology
Analytical Cellular Pathology ONCOLOGY-CELL BIOLOGY
CiteScore
4.90
自引率
3.10%
发文量
70
审稿时长
16 weeks
期刊介绍: Analytical Cellular Pathology is a peer-reviewed, Open Access journal that provides a forum for scientists, medical practitioners and pathologists working in the area of cellular pathology. The journal publishes original research articles, review articles, and clinical studies related to cytology, carcinogenesis, cell receptors, biomarkers, diagnostic pathology, immunopathology, and hematology.
×
引用
GB/T 7714-2015
复制
MLA
复制
APA
复制
导出至
BibTeX EndNote RefMan NoteFirst NoteExpress
×
提示
您的信息不完整,为了账户安全,请先补充。
现在去补充
×
提示
您因"违规操作"
具体请查看互助需知
我知道了
×
提示
确定
请完成安全验证×
copy
已复制链接
快去分享给好友吧!
我知道了
右上角分享
点击右上角分享
0
联系我们:info@booksci.cn Book学术提供免费学术资源搜索服务,方便国内外学者检索中英文文献。致力于提供最便捷和优质的服务体验。 Copyright © 2023 布克学术 All rights reserved.
京ICP备2023020795号-1
ghs 京公网安备 11010802042870号
Book学术文献互助
Book学术文献互助群
群 号:604180095
Book学术官方微信